Anatomical and functional results of surgical treatment of familial exudative vitreoretinopathy in children
- Authors: Denisova E.V.1, Geraskina E.А.1, Katargina L.А.1, Osipova N.A.1
-
Affiliations:
- Helmholtz National Medical Research Center of Eye Diseases
- Issue: Vol 17, No 4 (2022)
- Pages: 17-26
- Section: Original study article
- Published: 24.01.2023
- URL: https://ruspoj.com/1993-1859/article/view/112024
- DOI: https://doi.org/10.17816/rpoj112024
- ID: 112024
Cite item
Full Text
Abstract
Familial exudative vitreoretinopathy (FEVR) is a rare hereditary disease characterized by abnormal angiogenesis, presence of avascular zones on the periphery of the retina, and clinical manifestations ranging from an asymptomatic course to total retinal detachment. Surgical interventions are performed to eliminate vitreoretinal traction, epiretinal membranes, and retinal detachment. Studies of the surgical treatment outcomes of patients with FEVR are limited and findings are ambiguous
AIM: To analyze surgical treatment outcomes of different stages of FEVR in childhood.
MATERIAL AND METHODS: From January 2012 to October 2021 at the Helmholtz National Medical Research Center of Eye Diseases, surgical treatment was performed in 35 eyes of 33 patients aged 11 months–15 years (average, 7 years). The effectiveness of treatment was evaluated 1–2 months after the treatment, and patients were examined every 3–6 months for 1–5 years (average 2 years).
RESULTS: Аfter the primary surgery, a decrease in retinal traction in the posterior pole and periphery was achieved in all cases. Complete and incomplete reattachment was achieved in 30% and 70% of the eyes at stage 3 and in 12.5% and 87.5% of the eyes at stage 4, respectively. The long-term effectiveness rates of the intervention in stages 2, 3 (including complete and incomplete reattachment), and 4 were 100%, 87.5%, and 73.3%, respectively.
Increases in the best-corrected visual acuity (BCVA) were observed in 83%, 50%, and 28.6% of the eyes in stages 2, 3, and 4, respectively. In other cases, successful surgical treatment allowed the preservation of visual functions. During the follow-up, visual acuity of 0.1 or more was maintained in 100%, 85.7%, and 36% of the eyes at stages 2, 3, and 4 of FEVR, respectively.
CONCLUSION: Аnatomical and functional results of surgical treatment of FEVR correlate with the disease stage: the efficiency is greater in stage 2, and it was organ-preserving surgery in stage 5. To increase the effectiveness of treatment, early diagnosis of FEVR, laser coagulation of avascular zones, and active vessels are necessary, which makes it possible to stop the progression of the early stages of FEVR in 70%–100% of cases and enables regular monitoring of patients for the timely detection of indications for additional laser coagulation or surgical intervention.
Full Text
ВВЕДЕНИЕ
Семейная экссудативная витреоретинопатия (СЭВР) — редкое наследственное заболевание, характеризующееся аномальным ангиогенезом, наличием аваскулярных зон (АЗ) на периферии сетчатки и вариабельными клиническими проявлениями от бессимптомного течения до развития тотальной тракционной и (или) экссудативной отслойки сетчатки [1, 2].
В настоящее время патогенез СЭВР изучен недостаточно, а лечение является симптоматическим и направлено на стабилизацию заболевания. Основными видами лечения СЭВР в зависимости от клинических проявлений являются лазеркоагуляция сетчатки (ЛК) и хирургическое [2].
Оперативные вмешательства проводят для устранения витреоретинальных тракций, эпиретинальных мембран и отслойки сетчатки (ОС). Исследования результатов хирургического лечения СЭВР немногочисленны и неоднозначны. Так, эффективность операций при ОС, по данным разных авторов, колеблется от 62 до 86% [2–7]. В России не проводилось изучение ближайших и отдалённых результатов хирургического лечения СЭВР в большой группе пациентов.
Цель. Анализ результатов хирургического лечения разных стадий семейной экссудативной витреоретинопатии у детей.
МАТЕРИАЛ И МЕТОДЫ
С января 2012 по октябрь 2021 г. в НМИЦ глазных болезней им. Гельмгольца обследованы 88 пациентов (163 глаза) в возрасте 1 месяц–17 лет с диагнозом СЭВР. Диагноз СЭВР ставился на основании типичных клинических проявлений и в ряде случаев был подтверждён данными семейного анамнеза, результатами обследования родственников пациентов и молекулярно-генетического исследования. Стадии заболевания определялись согласно классификации, предложенной S.D. Pendergast, M.T. Trese с дополнением A.H. Kashani и соавт. [6, 8].
Всем пациентам проводилось стандартное офтальмологическое обследование (визометрия, авторефрактометрия, тонометрия, биомикроскопия, офтальмоскопия), фоторегистрация глазного дна, ультразвуковое исследование, оптическая когерентная томография (ОКТ). Детальное обследование части пациентов (младше 7 лет) проводили под наркозом.
Показаниями к хирургическому лечению являлись выраженные эпиретинальные мембраны (ЭРМ) с тракцией заднего полюса глаза в сочетании с распространённой отслойкой сетчатки (ОС) или без неё, рефрактерный к терапии гемофтальм. При выявлении АЗ и «активных» сосудистых мальформаций (телеангиэктазии, микроаневризмы, новообразованные сосуды сетчатки) до операции, как правило, проводилась их ЛК для сокращения времени наркоза, а также избежания интра- и послеоперационных кровоизлияний. Оперативное лечение не выполняли при наличии «сухой» складки сетчатки без значительного мембранообразования в стекловидном теле и эпиретинально, локальной периферической тракционной и (или) экссудативной ОС, длительно существующей воронкообразной ОС, не осложнённой иридоленскорнеальным контактом и вторичной глаукомой.
Хирургическое вмешательство во всех случаях проводилось под наркозом. Витрэктомия выполнялась по стандартной трёхпортовой методике с использованием инструментов калибра 23 G (гейдж).
Оценка эффективности лечения проводилась через 1–2 месяца после вмешательства, затем пациенты осматривались в динамике каждые 3–6 месяцев в течение 1–5 лет (в среднем 2 года). Эффективной считали операцию при ликвидации витреоретинальной тракции в центральном отделе, её устранении или уменьшении на периферии, частичном или полном прилегании сетчатки.
РЕЗУЛЬТАТЫ
Показания к хирургическому лечению выявлены у 33 (37,5%) пациентов в возрасте 11 месяцев–15 лет (в среднем 7 лет) в 35 глазах (21,5%), начиная со 2-й стадии СЭВР, при которой помимо изменений на периферии сетчатки в 48% случаев (28 из 59) наблюдались ЭРМ различной выраженности в области заднего полюса. Учитывая необходимость удаления протяжённых витреальных и эпиретинальных мембран, операцией выбора в большинстве случаев была микроинвазивная витректомия при показаниях с эндотампонадой силиконовым маслом или газо-воздушной смесью (табл. 1). Интраоперационно проводилось механическое разделение и максимальное удаление пре- и эпиретинального фиброза, задней гиалоидной мембраны, при необходимости осуществлялась эндолазеркоагуяция сетчатки и (или) «активных» сосудов.
Таблица 1. Виды первичных операций у детей с семейной экссудативной витреоретинопатией
Table 1. Types of primary operations in children with familial exudative vitreoretinopathy
Вид вмешательства Тype of surgery | Количество глаз Number of eyes | Стадия СЭВР FEVR stage | |
Микроинвазивная витрэктомия Microinvasive vitrectomy | Без эндотампонады Without endotamponade | 15 | 2А - 4 3Б - 5 4А - 2 4Б – 4 |
Эндотампонада силиконовым маслом Silicone oil tamponade | 12 | 2Б - 1 3А - 2 3Б - 2 4А - 3 4Б - 3 5А – 1 | |
Эндотампонада газо-воздушной смесью Gas-air endotamponade | 3 | 2А - 1 3Б - 1 4Б – 1 | |
Витрэктомия с ленсэктомией Vitrectomy with lensectomy | 4 | 4А - 1 4Б - 1 5Б – 2 | |
Эписклеральное пломбирование Scleral buckling | 1 | 4А – 1 | |
В стадии 2А витрэктомия проведена в 5 глазах из 39 (12,8%). Во всех случаях выявлена ЭРМ в центральном отделе, из них в одном случае обнаружен частичный фиброз стекловидного тела в исходе гемофтальма.
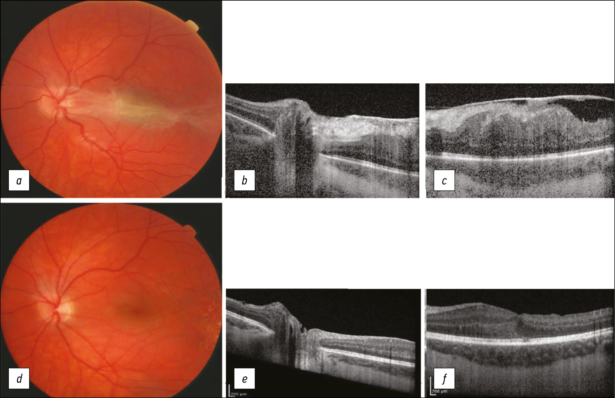
У всех пациентов достигнуто уменьшение тракции сетчатки в макуле, у четырёх детей наблюдалось повышение максимальной корригированной остроты зрения (МКОЗ), у одного ребенка — острота зрения не изменилась. У четырёх детей, наблюдавшихся в динамике, через 6–7 месяцев состояние глаз оставалось стабильным (рис. 1).
Рис. 1. Пациент Г., семейная экссудативная витреоретинопатия стадии 2А, эпиретинальная мембрана в области заднего полюса: a–c — до операции, центральная толщина сетчатки (ЦТС) 733 мкм, максимальная корригированная острота зрения (МКОЗ) 0,1; d–f — после операции: ЦТС 354 мкм, МКОЗ 0,8; a, d — фотография глазного дна; b, e — оптическая когерентная томография (ОКТ) диска зрительноно нерва; c, f — ОКТ макулярной зоны.
В стадии 2Б витрэктомия с эндотампонадой силиконовым маслом выполнена в одном глазу из 20 (5%) в связи с организацией рецидивирующего гемофтальма. В результате достигнуто повышение МКОЗ и стабилизация состояния глаза при наблюдении в течение 4 лет.
Отслойка сетчатки, характерная для 3-й и более тяжёлых стадий СЭВР, в большинстве случаев была тракционной или тракционно-экссудативной и только в двух глазах — регматогенной вследствие формирования вторичного разрыва сетчатки.
В стадии 3А витрэктомия с эндотампонадой силиконовым маслом проведена в 2 глазах из 13 (15,4%). В одном глазу операцию провели в связи с прогрессирующей тракционной ОС, в другом — в связи с выраженной тракционной деформацией заднего полюса, осложнившейся макулярным разрывом.
В результате вмешательства достигнуто снижение тракции и полное прилегание сетчатки в одном глазу, закрытие макулярного разрыва — в другом, в обоих случаях отмечено увеличение МКОЗ.
При осмотре через 2 месяца диагностирован рецидив макулярного разрыва, в связи с чем выполнена микроинвазивная ревизия витреальной полости с удалением силиконового масла, дополнительным мембранопилингом и введением газо-воздушной смеси. Достигнуто закрытие разрыва со стабильным состоянием при наблюдении в течение 2,5 лет (рис. 2).
Рис. 2. Пациентка М., семейная экссудативная витреоретинопатия стадии 3А: а, b — до операции, показана эпиретинальная мембрана в области заднего полюса, макулярный разрыв диаметром 2274 мкм, длительность существования 3 года, максимальная корригированная острота зрения (МКОЗ) 0,3; c, d — после операции, показано закрытие разрыва, МКОЗ 0,15; а, c — фотография глазного дна; b, d — оптическая когерентная томография макулярной зоны.
В другом случае через 11 месяцев в связи с развитием осложнённой катаракты выполнена экстракция катаракты с имплантацией интраокулярной линзы (ИОЛ), состояние глазного дна оставалось стабильным при наблюдении в течение 3,5 лет.
В стадии 3Б витрэктомия проведена в 8 глазах из 16 (50%), из них в одном — с эндотампонадой газо-воздушной смесью, в двух — силиконовым маслом. Показаниями к операции явились: нарастание преретинального фиброза и экссудата в центральном отделе и на периферии с увеличением высоты ОС в 5 глазах, ЭРМ с тракционной деформацией центрального отдела глазного дна в 3 глазах, из них в одном глазу — с формированием макулярного разрыва.
В результате первичного вмешательства во всех случаях достигнуто снижение тракции сетчатки в центральном отделе (рис. 3), закрытие макулярного разрыва, неполное прилегание сетчатки в 6 глазах, полное — в 2 глазах. Повышение МКОЗ после операции наблюдалось в 3 случаях, в 5 случаях острота зрения не изменилась.
Рис. 3. Пациентка А., семейная экссудативная витреоретинопатия стадии 3Б, фотография глазного дна: а — до операции, эпиретинальные мембраны в области заднего полюса с тракцией; b, c — после операции, уменьшение тракции в области заднего полюса, максимальная корригированная острота зрения 0,3–0,4 (не изменилась).
Под наблюдением в динамике в течение 3,5–4 лет находились 6 глаз. В одном глазу через 4 года выявлена репролиферация с развитием тракции в макулярной зоне, после ревизии витреальной полости с мембранопилингом тракционный синдром в области заднего полюса ликвидирован со стабильным состоянием в течение года наблюдения. В одном глазу через один год произошло формирование вторичного разрыва c тотальной неоперабельной отслойкой сетчатки. В двух глазах с эндотампонадой силиконовым маслом через 9–10 месяцев после операции выполнена экстракция катаракты с имплантацией интраокулярной линзы (ИОЛ). Таким образом, отдалённый анатомический эффект наблюдался в 5 из 6 глаз (83,3%) (рис. 4).
Рис. 4. Пациентка Л., семейная экссудативная витреоретинопатия стадии 3Б, фотографии глазного дна: а — сразу после операции: уменьшение тракции в заднем полюсе, высоты и площади отслойки сетчатки, увеличение максимальная корригированная острота зрения (МКОЗ) с 0,01 до 0,05; b — через год, рассасывание субретинального экссудата, МКОЗ 0,03.
В стадии 4А хирургическое лечение проведено в 7 глазах из 15 (46,7%): витрэктомия — в 6 (из них в 3 — с эндотампонадой силиконовым маслом, в одном глазу — с ленсэктомией), эписклеральное пломбирование — в одном глазу. Показаниями к операции явились: складка сетчатки с выраженной преретинальной пролиферацией в 5 случаях, тракционная ОС — в 2 случаях.
В результате вмешательства в одном случае достигнуто полное прилегание сетчатки, в 6 глазах отмечено снижение тракции с уменьшением высоты складки/отслойки (рис. 5). МКОЗ повысилась в одном глазу и не изменилась в 6 глазах.
Рис. 5. Пациентка К., семейная экссудативная витреоретинопатия стадии 4А. фотография глазного дна: а, b — до операции, эпиретинальный фиброз, складка сетчатки от диска зрительного нерва к височной периферии, максимальная корригированная острота зрения (МКОЗ) 0,02; c — после операции, уменьшение тракции в области заднего полюса, высоты складки, МКОЗ 0,01.
При наблюдении в сроки от 3 до 5 лет (в среднем 3,5 года) рецидив ОС выявлен в 4 глазах. В одном глазу рецидив произошёл через 3 месяца после эписклерального пломбирования в результате нарастания тракции, проведена витрэктомия, достигнуто неполное прилегание сетчатки. В трёх случаях через 8 месяцев–1,5 года в связи с репролиферацией (из них в двух случаях с формированием вторичного разрыва) развилась тотальная неоперабельная ОС. Осложнённая катаракта диагностирована в двух глазах с эндотампонадой силиконовым маслом через 3 месяца и 1 год после первичного вмешательства, выполнена экстракция катаракты с имплантацией ИОЛ. Таким образом, отдалённый анатомический эффект наблюдался в 4 глазах из 7 (57,1%).
В стадии 4Б витрэктомия проведена в 9 глазах из 19 (47,4%), из них с эндотампонадой силиконовым маслом — в трёх глазах, газо-воздушной смесью — в одном глазу. В одном случае выполнена витрэктомия с ленсэктомией. Показаниями к операции явились: отслойка или складка сетчатки в 8 глазах, рефрактерный терапии гемофтальм — в одном глазу.
В результате вмешательства во всех случаях достигнуто снижение тракции сетчатки с полным прилеганием в одном глазу, неполным — в 8 глазах. МКОЗ повысилась в 3 глазах и не изменилась в 6 глазах.
Под наблюдением в сроки от 6 месяцев до 5 лет (медиана 2,5 года) находились 8 пациентов. В двух глазах через 3–4 месяца выявлен рецидив ОС, обусловленный нарастанием субретинальной экссудации в одном глазу и формированием вторичного разрыва — в другом. В первом случае проведено дренирование субретинальной жидкости без значительного эффекта. Во втором случае после локального эписклерального пломбирования и двухкратной ревизии витреальной полости достигнуто неполное прилегание сетчатки. В одном глазу через 3 года выявлена репролиферация с нарастанием тракции сетчатки, была выполнена повторная витректомия с устранением тракции и стабилизацией в течение одного года наблюдения (рис. 6). В трёх глазах с эндотампонадой силиконовым маслом через 2 месяца–2 года 9 месяцев после вмешательства проведена микроинвазивная экстракция катаракты с имплантацией ИОЛ.
Рис. 6. Пациент Р., семейная экссудативная витреоретинопатия стадии 4Б, фотография глазного дна: a — до операции. эпиретинальный фиброз и субретинальный экссудат; b — через 3 года после операции, эпиретинальная репролиферация; максимальная корригированная острота зрения (МКОЗ) 0,05; c — после повторного вмешательства, снижение тракции, МКОЗ 0,05.
Таким образом, в отдалённые сроки анатомический эффект наблюдался в 7 из 8 глаз (87,5%).
В 5-й стадии хирургическое лечение проведено в 3 глазах из 8 (37,5%). В двух случаях в связи с развитием синдрома мелкой передней камеры выполнена ленсвитрэктомия с устранением иридокорнеального контакта и органосохранным эффектом. В одном глазу с открытой воронкообразной ОС выполнена микроинвазивная витрэктомия с эндотампонадой силиконовым маслом. Отмечалось повышение остроты зрения со светопроекции до 0,05, однако, через 1,5 года диагностирован рецидив ОС со вторичным разрывом. Повторное хирургическое вмешательство было неэффективно.
Интраоперационный и ранний послеоперационный период во всех случаях протекали без серьёзных осложнений.
Анализ отдалённых функциональных результатов успешного хирургического лечение показал, что повышение МКОЗ во 2-й стадии наблюдалось в 83% глаз, в 3-й стадии — в 50%, в 4-й стадии — в 28,6%. В остальных случаях вмешательство позволило сохранить имеющиеся зрительные функции. При этом острота зрения 0,1 и более достигнута во 2-й стадии в 100% случаев, в 3-й и 4-й стадиях — в 85,7 и 36% случаев, соответственно (рис. 7). Низкая острота зрения была обусловлена тракционной деформацией макулы и ДЗН, отложением интраретинального экссудата в макуле, в пяти глазах — наличием интраретинального фиброзного очага в центральном отделе.
Рис. 7. Максимальная корригированная острота зрения при различных стадиях семейной экссудативной витреоретинопатии до и после успешного хирургического лечения (на столбцах указано число глаз).
ОБСУЖДЕНИЕ
Предоперационная клиническая картина, подходы и результаты хирургического лечения СЭВР, по данным литературы, значительно варьируют. Хирургические вмешательства, как правило, проводят для устранения витреоретинальных тракций, эпиретинальных мембран и ОС. Однако ведущие механизмы формирования ОС, по данным разных исследователей, отличаются. Большинство авторов, как и в нашем исследовании, отмечают преобладание тракционной и тракционно-экссудативной ОС [3, 6, 7]. Однако T. Ikeda с соавт, наблюдали регматогенную ОС в 89,3% (25 из 28) случаев, D. Shukla с соавт. — в 57,1% (20 из 35) [2, 4].
Варьирует также спектр проводимых операций. В большинстве случаев операцией выбора является витрэктомия или комбинированное вмешательство (ленсвитрэктомия, витрэктомия в сочетании с эписклеральным пломбированием). Реже (0–38,7%) проводят изолированное эписклеральное пломбирование. В нашей группе во всех случаях наблюдался выраженный пре- и эпиретинальный фиброз на периферии и в центральном отделе, что явилось показанием для витректомии.
По данным литературы, у пациентов с СЭВР полное или частичное прилегание сетчатки после хирургического лечения наблюдается в 62–86% случаев, что, вероятно, обусловлено различием клинических проявлений (стадий) заболевания и возраста пациентов, критериев эффективности вмешательства, длительности наблюдения. При этом у детей, особенно младшего возраста, как правило, наблюдаются более тяжёлые стадии СЭВР, а результаты операции хуже, чем у детей старшего возраста и у взрослых пациентов [3–5]. В нашем исследовании в результате первичной операции во всех случаях достигнуто снижение тракции в центральном отделе и на периферии, с полным (30 и 12,5%) или неполным (70 и 87,5%) прилеганием сетчатки в 3-й и 4-й стадиях, соответственно. Отдалённая эффективность вмешательства, включая случаи полного и неполного прилегания сетчатки, коррелировала со стадией заболевания и составила во 2-й стадии заболевания 100%, в 3-й и 4-й стадиях — 87,5 и 73,3%, соответственно, что согласуется c полученными ранее результатами.
Сложности хирургии СЭВР связаны с наличием плотных сращений эпиретинальных и задней гиалоидной мембраны с сетчаткой, особенно на периферии, в связи с чем их полное удаление зачастую невозможно и сопряжено с риском ятрогенных разрывов. Наличие новообразованных и расширенных собственных сосудов сетчатки ассоциировано с риском интра- и постоперационных кровоизлияний, экссудации и репролиферации. В связи с длительным существованием ОС отмечается её ригидность, интраретинальный фиброз, ретино-ретинальные сращения, что в целом негативно сказывается на результатах операции.
Даже при успешном хирургическом лечении СЭВР острота зрения, как правило, остаётся низкой. Повышение МКОЗ после операции наблюдается в 49–71,4% глаз [3–7], однако, средняя острота зрения составляет от 0,06–0,08 [3, 4] до 0,2 [6, 7]. В нашем исследовании при успешном вмешательстве повышение МКОЗ наблюдалось в 60% случаев (во 2-й стадии — 83% глаз, в 3-й — в 50%, в 4-й — в 28,6%). При этом острота зрения 0,1 и более достигнута во 2-й стадии в 100% случаев, в 3-й и 4-й стадиях — в 85,7 и 36% случаев, соответственно.
Полученные результаты обосновывают целесообразность проведения оперативного вмешательства при наличии тракции сетчатки во 2-й и 3-й стадиях СЭВР.
ЗАКЛЮЧЕНИЕ
Показания к хирургическому лечению выявлены у 37,5% детей с СЭВР, обратившихся в НМИЦ глазных болезней им. Гельмгольца.
Анатомические и функциональные результаты вмешательства коррелируют со стадией заболевания: наибольшая эффективность наблюдается во 2-й стадии, в 5-й стадии операции носят преимущественно органосохранный характер.
Для повышения эффективности лечения необходима ранняя диагностика СЭВР, проведение лазеркоагуляции аваскулярных зон и активных сосудов, что позволяет остановить прогрессирование ранних стадий СЭВР в 70–100% случаев, а также регулярное наблюдение пациентов для своевременного выявления показаний к дополнительной лазеркоагуляции или хирургическому вмешательству.
ДОПОЛНИТЕЛЬНАЯ ИНФОРМАЦИЯ
Источник финансирования. Авторы заявляют об отсутствии внешнего финансирования при проведении исследования.
Конфликт интересов. Авторы декларируют отсутствие явных и потенциальных конфликтов интересов, связанных с публикацией настоящей статьи.
ADDITIONAL INFO
Funding source. This study was not supported by any external sources of funding.
Competing interests. The authors declare that they have no competing interests.
About the authors
Ekaterina V. Denisova
Helmholtz National Medical Research Center of Eye Diseases
Author for correspondence.
Email: deale_2006@inbox.ru
ORCID iD: 0000-0003-3735-6249
SPIN-code: 4111-4330
MD, Cand. Sci. (Med.)
Russian Federation, MoscowElizaveta А. Geraskina
Helmholtz National Medical Research Center of Eye Diseases
Email: slinko.amalgam@yandex.ru
ORCID iD: 0000-0002-5306-2534
graduate student
Russian Federation, MoscowLudmila А. Katargina
Helmholtz National Medical Research Center of Eye Diseases
Email: katargina@igb.ru
ORCID iD: 0000-0002-4857-0374
MD, Dr. Sci. (Med.), Professor
Russian Federation, MoscowNatalya A. Osipova
Helmholtz National Medical Research Center of Eye Diseases
Email: natashamma@mail.ru
ORCID iD: 0000-0002-3151-6910
SPIN-code: 5872-6819
MD, Cand. Sci. (Med)
Russian Federation, MoscowReferences
- Benson WE. Familial exudative vitreoretinopathy. Trans Am Ophthalmol Soc. 1995;93:473–521.
- Shukla D, Singh J, Sudheer G, et al. Familial exudative vitreoretinopathy (FEVR). Clinical profile and management. Indian J Ophthalmol. 2003;51(4):323–328.
- Hocaoglu M, Karacorlu M, Muslubas IS, et al. Anatomical and functional outcomes following vitrectomy for advanced familial exudative vitreoretinopathy: a single surgeon’s experience. Br J Ophthalmol. 2017;101(7):946–950. doi: 10.1136/bjophthalmol-2016-309526
- Ikeda T, Fujikado T, Tano Y, et al. Vitrectomy for rhegmatogenous or tractional retinal detachment with familial exudative vitreoretinopathy. Ophthalmology. 1999;106(6):1081–1085. doi: 10.1016/S0161-6420(99)90268-3
- El-Khoury S, Clement A, Chehaibou I, et al. Outcome and risk factors of vitreoretinal surgery in pediatric patients with familial exudative vitreoretinopathy. Graefes Arch Clin Exp Ophthalmol. 2020;258(8):1617–1623. doi: 10.1007/s00417-020-04712-w
- Pendergast SD, Trese MT. Familial exudative vitreoretinopathy, results of surgical management. Ophthalmology. 1998;105(6):1015–1023. doi: 10.1016/S0161-6420(98)96002-X
- Yamane T, Yokoi T, Nakayama Y, et al. Surgical outcomes of progressive tractional retinal detachment associated with familial exudative vitreoretinopathy. Am J Ophthalmol. 2014;158(5):1049–1055. doi: 10.1016/j.ajo.2014.08.009
- Kashani AH, Brown KT, Chang E, et al. Diversity of retinal vascular anomalies in patients with familial exudative vitreoretinopathy. Ophthalmology. 2014;121(11):2220–2227. doi: 10.1016/j.ophtha.2014.05.029
Supplementary files









