Morphological structure of the levator muscle in congenital and acquired ptosis of the upper eyelid
- Authors: Filatova I.A.1, Izmailova N.S.1, Kondratieva J.P.1, Shemetov S.A.1, Trefilova M.S.1
-
Affiliations:
- Helmholtz National Medical Research Center of Eye Diseases
- Issue: Vol 18, No 1 (2023)
- Pages: 29-39
- Section: Original study article
- Published: 05.05.2023
- URL: https://ruspoj.com/1993-1859/article/view/229974
- DOI: https://doi.org/10.17816/rpoj229974
- ID: 229974
Cite item
Full Text
Abstract
AIM: To examine the relationship between the morphological structure of the levator in congenital and acquired ptosis based on dynamometric data and histological research.
MATERIAL AND METHODS: Dynamometric and histological examination of the morphological structure of the levator in congenital and acquired ptosis of the upper eyelid was conducted. Twenty-seven fragments obtained during the operation to eliminate blepharoptosis were studied.
RESULTS: With congenital ptosis of the upper eyelid, the average values of SS and fatigue were 1.06±0.39 g and 1.88±0.89 g, respectively; with acquired ptosis, the average values of SS and fatigue were 1.47±0.66 g and 2.31±0.91 g, respectively (p <0.05). All the biopsies were divided into two groups. Group 1 included biopsies of 16 patients with congenital ptosis (n=16), and group 2 included 11 levator fragments with acquired ptosis. Macroscopic examination revealed greater levator fragment lengths in the acquired ptosis group than in the congenital ptosis group: 2.33±1.32 mm and 1.22±0.34 mm, respectively (p ≤0.05). The levator fragments differed in color and had denser elastic consistency in the acquired ptosis group than in the congenital ptosis group. The histological picture in congenital ptosis (n=11) was an overgrowth of the fibrous–adipose tissue, and five biopsies showed an overgrowth of fibrous tissue with signs of protein dystrophy. In levator biopsies with acquired ptosis, seven biopsies with aponeurotic ptosis of the upper eyelid were characterized by the overgrowth of fibrous–adipose tissue. The first biopsy (myasthenic ptosis of the upper eyelid) demonstrated the predominance of adipose tissue, with scattered bundles of striated muscle fibers and areas of connective tissue with bundles of smooth muscle fibers. In the remaining three biopsies, fragments of adipose tissue with signs of edema and hyperplasia were identified.
CONCLUSION: Congenital ptosis is characterized by relatively low strength and rapid fatigue of the upper eyelid levator, higher occurrence of fibrous–adipose tissue, and fibrous tissue proliferation. Acquired ptosis is characterized by average strength and fatigue. In the acquired ptosis group, histological data indicate an equal ratio of fibrous–adipose and adipose tissue growth. These results can be used in the diagnosis of various forms of ptosis and selection of an effective method for surgical correction for this pathology.
Full Text
ВВЕДЕНИЕ
Блефароптоз — одна из распространённых патологий вспомогательного аппарата глаза, занимающая ведущее место в структуре заболеваний век. Известными в настоящее время этиологическими факторами птоза верхнего века могут выступать изменения мышц различного генеза, нарушения нервно-мышечной передачи, поражение глазодвигательного нерва и его ядра, нарушение симпатичес-кой иннервации, травмы и воспаления глазного яблока [1].
Статистические данные о частоте встречаемости птоза верхнего века немногочисленны и противоречивы. Показано, что блефароптоз составляет 9% от всей патологии глаз [2]. Отмечается, что в 40% случаев выявляется простой односторонний птоз, в 7% случаев — двусторонний, в 21% случаев — односторонний птоз с поражением верхней прямой мышцы [3]. По другим данным, простая форма птоза встречается у 75% пациентов, а осложнённая форма зафиксирована в 25% случаев [4].
Врождённый птоз часто в первую очередь воспринимается как косметический дефект. Однако данная патология отрицательно воздействует и на функциональное развитие глаза, приводя к обскурационной амблиопии, косоглазию, нарушениям рефракции роговицы, ограничению поля зрения. Также возможно развитие контрактуры мышц шеи и нарушение осанки, что обусловлено вынужденным положением головы [5].
Клинические особенности приобретённого птоза верхнего века разнообразны, определяются видом и причинами возникновения. Данная патология обусловливает такие осложнения, как хронические головные боли в результате вынужденного напряжения лобной мышцы, психосоматические нарушения, влияющие на социальную активность пациентов. При удачной коррекции блефароптоза психический дискомфорт снижается, помогая в социальной адаптации [6–9]. Блефароптоз кроме косметического дефекта и психологических расстройств приводит к развитию такой серьёзной патологии, как некорригируемый астигматизм [8].
При частично или полностью ограниченной активной экскурсии верхнего века возникают функциональные нарушения, ограничивающие поле зрения сверху, сопровождающиеся постоянной усталостью, развитием амблиопии и расстройством бинокулярного зрения, вынужденным положением головы и шейным остеохондрозом [10, 11]. При выраженном птозе верхнего века вероятно появление изменений кривизны роговицы. Кератометрические и видеокартографические исследования показали, что при удачной хирургической коррекции блефароптоза за счёт изменения кривизны роговицы изменяется и рефракция. У трети пациентов с блефароптозом выявляли признаки транзиторного астигматизма величиной более чем 1 дптр [12].
Какой-либо значимой эффективности консервативных методов (УВЧ-терапии, электрофореза, миостимуляции) в лечении блефароптоза не доказано, поэтому необходимо хирургическое вмешательство, являющееся одной из наиболее сложных проблем, с которой сталкиваются врачи-офтальмологи. Частота повторных операций устранения птоза верхнего века по данным разных авторов составляет от 5 до 35% случаев [9, 13, 14].
На сегодня существует большое количество методов хирургического лечения блефароптоза, основными из которых являются операции на самом леваторе верхнего века и её апоневрозе, операции подвешивающего типа и операции на верхней тарзальной мышце [15–17].
Для достижения положительного результата лечения необходимо точное определение этиологического фактора, тщательная предоперационная диагностика и выбор патогенетически ориентированного метода операции. Эффективность оперативного вмешательства во многом зависит от наличия дистрофических изменений в мышце, что можно выявить методом гистологического анализа уже после выполненной резекции леватора верхнего века. Патологические процессы, протекающие в леваторе верхнего века, требуют глубокого анализа для правильного определения дальнейшей патогенетически обоснованной тактики хирургического лечения.
Таким образом, исходное морфологическое состояние комплекса леватора верхнего века является важнейшим фактором, который определяет положительные результаты лечения, что и определило цель настоящего исследования.
Цель. На основании динамометрических данных и результатов гистологического исследования изучить особенности морфологического строения леватора при врождённом и приобретённом птозе.
МАТЕРИАЛ И МЕТОДЫ
В 2021–2022 гг. на базе отдела пластической хирургии и глазного протезирования НМИЦ глазных болезней им. Гельмгольца совместно с отделом патогистологии проведено исследование динамометрических показателей, таких как сила и утомляемость леватора верхнего века. Проведено также гистологическое исследование морфологического строения леватора при врождённом и приобретённом птозе верхнего века. Врождённый птоз верхнего века отмечен в 16 случаях (59,3%). Приобретённый птоз диагностирован в 11 случаях (40,7%), из них у 6 пациентов был апоневротический птоз верхнего века, у 3 пациентов — травматический, один пациент был с нейрогенным птозом, один пациент — с миастеническим. Возраст пациентов составил от 5 до 75 лет. В группе обследованных было 14 мужчин (51,9%) и 13 женщин (48,1%). В предоперационном периоде производили динамометрию с целью определения функциональной способности леватора, т.е. определение силы и утомляемости леватора верхнего века. Всем пациентам выполнили операцию по устранению птоза верхнего века резекцией леватора по стандартной методике.
Всего было изучено 27 фрагментов, полученных в ходе операции по устранению блефароптоза средней и тяжёлой степени тяжести. Сразу после резекции полученный материал растягивали и фиксировали на 24 часа в 10% растворе нейтрального формалина. Далее биоптаты промывали проточной водой и обезвоживали в спиртах, проводили заливку в парафин и выполняли серию гистологических срезов. Окрашивали срезы гематоксилином-эозином и изучали под микроскопом при 400-кратном увеличении.
Статистическая обработка полученного материала проведена с помощью программы «Statistica 10». Количественное сравнение между группами проводили с помощью критерия Манна-Уитни, статистическую значимость принимали при p ≤0,05.
РЕЗУЛЬТАТЫ
Силу леватора, т.е. его сократительную способность (СС), определяли как максимальный вес динамометрического грузика, при котором ширина глазной щели не изменялась. Утомляемость леватора — это минимальный вес динамометрического грузика, при котором не поднимается верхнее веко. При врождённом птозе верхнего века СС составила в среднем 1,06±0,39 г, при этом утомляемость в среднем была равна 1,88±0,89 г. При приобретённом птозе средние значения СС составили 1,47±0,66 г, утомляемости — 2,31±0,91 г (р <0,05). Данные результаты соответствовали выявленным динамометрическим изменениям (табл. 1).
Таблица 1. Характеристика динамометрических изменений
Table 1. Characteristics of dynamometric changes
Возраст Age | Пол Gender | Сила леватора верхнего века, г The strength of the upper eyelid levator, gr | Утомляемость леватора верхнего века, г Fatigue of the upper eyelid levator, gr | ||
OD | OS | ||||
Врождённый птоз верхнего века Congenital ptosis of the upper eyelid | |||||
8 | ж/f | 0,8 | 1,1 | 0,8 | 1,8 |
5 | ж/f | 1,2 | 0,8 | 2,4 | 0,8 |
7 | ж/f | 0,8 | 0,8 | 0,8 | 0,8 |
6 | м/m | 1,3 | 1,1 | 2,6 | 1,6 |
6 | м/m | 0,8 | 1,2 | 0,8 | 1,9 |
6 | м/m | 1,2 | 1,0 | 2,3 | 1,5 |
6 | ж/f | 1,2 | 1,6 | 3,2 | 4,6 |
9 | м/m | 1,2 | 0,8 | 2,3 | 1,0 |
6 | м/m | 3 | 1,2 | 6 | 2,9 |
5 | м/m | 1,5 | 1,1 | 2,9 | 2,3 |
6 | м/m | 1,7 | 1,1 | 5,0 | 1,6 |
8 | м/m | 0,8 | 0,9 | 0,8 | 1,4 |
7 | ж/f | 1,6 | 1,2 | 2,4 | 1,7 |
6 | ж/m | 1,2 | 1,8 | 3,0 | 5,1 |
6 | м/m | 1,2 | 1,7 | 2,2 | 3,6 |
17 | ж/f | 1,3 | 1,2 | 2,5 | 2,3 |
Приобретённый птоз верхнего века Acquired ptosis of the upper eyelid | |||||
55 | м/m | 1,0 | 1,7 | 1,6 | 4,2 |
69 | м/m | 1,1 | 0,9 | 2,9 | 0,9 |
73 | ж/f | 1,1 | 1,6 | 2,0 | 6,8 |
52 | ж/f | 3,2 | 1,5 | 5,6 | 3,6 |
71 | ж/f | 1,5 | 1,4 | 4,2 | 4,0 |
31 | м/m | 1,0 | 1,4 | 2,1 | 4,9 |
61 | м/m | 1,4 | 1,5 | 2,9 | 2,9 |
61 | ж/f | 0,8 | 0,9 | 0,9 | 1,1 |
68 | ж/f | 1,1 | 1,2 | 1,5 | 1,6 |
75 | м/m | 1,4 | 1,2 | 1,9 | 1,5 |
26 | ж/f | 1,4 | 1,5 | 4,2 | 4,6 |
Все биоптаты были разделены на две группы. Первую группу оставили биоптаты 16 пациентов с врождённым птозом (n=16). Во 2-ю группу вошли 11 фрагментов леватора, резецированные во время операции по устранению приобретённого птоза, из них 2 фрагмента были травматического происхождения, 7 фрагментов имели апоневротическую природу и по одному фрагменту с миастеническим и нейрогенным характером. (табл. 2).
Таблица 2. Характеристика базы исследования
Table 2. Characteristics of the research base
Возраст Age | Пол Gender | Степень выраженности птоза (относительно зрачка) The severity of ptosis (relative to the pupil) | Операция Operation | |
OD | OS | |||
Возраст Age | Пол Gender | Степень выраженности птоза (относительно зрачка) The severity of ptosis (relative to the pupil) | Операция Operation | |
OD | OS | |||
Врождённый птоз верхнего века Congenital ptosis of the upper eyelid | ||||
8 | ж/f | Средняя Average | – | Резекция Resection |
5 | ж/f | – | Средняя average | Дубликатура duplication |
7 | ж/f | Средняя average | Средняя average | OS-дубликатура OS- duplication OD-резекция OD- resection |
6 | м/m | – | Средняя average | Дубликатура duplication |
6 | м/m | Тяжёлая heavy | – | Резекция resection |
6 | м/m | – | Тяжелая heavy | Дубликатура duplication |
6 | ж/f | Средняя average | – | Резекция resection |
9 | м/m | – | Средняя average | Резекция resection |
6 | м/m | Средняя average | – | Резекция resection |
5 | м/m | – | Средняя average | Резекция resection |
6 | м/m | Средняя average | – | Резекция resection |
8 | м/m | Средняя average | – | Резекция resection |
7 | ж/f | – | Средняя average | Резекция resection |
6 | ж/f | Средняя average | - | Резекция resection |
6 | м/m | Средняя average | - | Резекция resection |
17 | ж/f | Средняя average | Средняя average | Резекция resection |
Приобретённый птоз верхнего века Acquired ptosis of the upper eyelid | ||||
55 | м/m | Средняя Average | – | Резекция resection |
69 | м/m | Тяжёлая Heavy | Тяжёлая Heavy | OS- резекция OS- resection OD-резекция OD- resection |
73 | ж/f | Средняя Average | – | Резекция resection |
52 | ж/f | – | Средняя average | Резекция resection |
71 | ж/f | Средняя Average | Средняя average | OS- резекция OS- resection OD-резекция OD- resection |
31 | м/m | Средняя Average | – | Резекция resection |
61 | м/m | Средняя Average | Средняя average | Резекция resection |
61 | ж/f | Средней тяжести Аverage severity | Средней тяжести Аverage severity | Резекция resection |
68 | ж/f | Средняя Average | Средняя average | Резекция resection |
75 | м/m | - | Средняя average | Резекция resection |
26 | ж/f | Средняя Average | Средняя Average | Резекция Resection |
Исследование макроскопической характеристики удалённых фрагментов показало, что в группе врождённого птоза верхнего века средняя длина резецированного фрагмента составляла 1,22±0,34 мм, тогда как в группе приобретённого птоза верхнего века это значение было достоверно большим и составляло 2,33±1,32 мм (р ≤0,05). Статистически значимых различий в высоте и ширине удалённых фрагментов не выявлено, они составили в группе врождённого птоза 0,59±0,33 мм и 0,52±0,38 мм, соответственно. Высота удалённых фрагментов в группе приобретённого птоза была равна 0,61±0,57 мм, а ширина — 0,45±0,23 мм (рис. 1).
Рис. 1. Макроскопическая картина удаленного фрагмента леватора: а — врождённый птоз; b — приобретённый птоз верхнего века.
Большинство фрагментов леватора в группе врождённого птоза верхнего века были бледно-розового цвета, отличались неправильной формой, мягкой эластичной консистенцией (рис. 2).
Рис. 2. Фрагмент леватора, удалённые у пациентов с врождённым птозом верхнего века.
При приобретённом птозе верхнего века фрагменты были неправильной формы и значительно различались по цвету (бледно-розовый, тёмно-бурый, жёлто-бурый). Характерными макроскопическими признаками явились ригидность и более плотная эластичная консистенция, чем в группе врождённого птоза (рис. 3).
Рис. 3. Фрагмент леватора, удалённые у пациентов с приобретённым птозом верхнего века.
Гистологическое исследование 16 биоптатов леватора при врождённом птозе показало, что большая их часть (n=10) характеризовалась разрастаниями фиброзно-жировой ткани, в которой дифференцировались полнокровные новообразованные сосуды, кровоизлияния, мелкие фокусы воспалительной инфильтрации, выявлялись дистрофические изменения в мышечных тканях (рис. 4).
Рис. 4. Гистологический препарат леватора при врождённом птозе с разрастанием фиброзно-жировой ткани. Окраска — гематоксилин/эозин, увеличение 100х, во врезке – 400х. 1 — фиброзная ткань, 2 — жировая ткань, 3 — волокна скелетной мышцы.
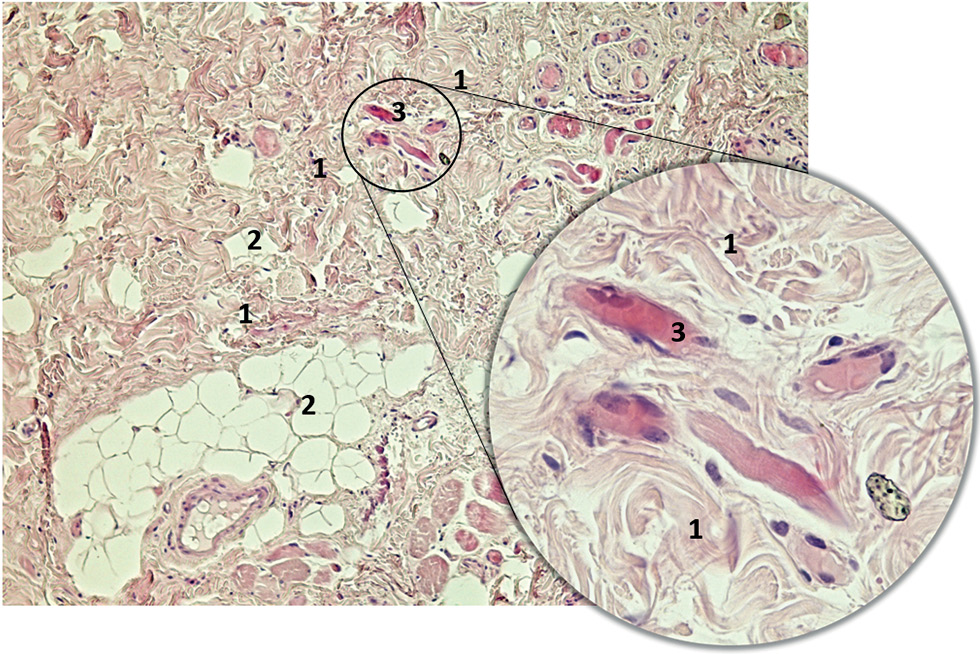
Ткани верхнего века в 6 биоптатах характеризовались тем, что часть слоёв леватора была замещена разрастаниями фиброзной ткани, выявлялиcь характерные признаки белковой дистрофии, очаги гиалиноза и ангиогенеза, признаки кровоизлияний и хронического воспаления (рис. 5). Всё это приводило к разобщению пучков мышечного слоя, местами к полной дезорганизации строения леватора.
Рис. 5. Гистологический препарат леватора при врождённом птозе с разрастанием фиброзной ткани. Окраска — гематоксилин/эозин, увеличение 100х, во врезке — 400х. 1 — фиброзная ткань с гиалинозом, 2 — мононуклеарная воспалительная инфильтрация очагового характера, 3 — волокна скелетной мышцы.
Исследование 11 фрагментов, резецированных во время операции по устранению приобретённого птоза, показало, что для 7 фрагментов характерно разрастание фиброзно-жировой ткани в виде пучков с новообразованными полнокровными сосудами, мышечные элементы в материале не дифференцировались, либо определялась выраженная белковая дистрофия. Выявляли признаки отёка и гиперплазии (рис. 6).
Рис. 6. Гистологический препарат леватора при приобретённом птозе верхнего века с разрастанием фиброзно-жировой ткани Окраска — гематоксилин/эозин, увеличение 100х.
Ещё 4 биоптата характеризовались фрагментами жировой ткани, имелись признаки отёка и гиперплазии (рис. 7).
Рис. 7. Гистологический препарат леватора с разрастанием жировой ткани при приобретённом птозе верхнего века. Окраска — гематоксилин/эозин, увеличение 100х.
ОБСУЖДЕНИЕ
Птоз верхнего века является одной из самых распространённых патологий вспомогательного аппарата глаза, а в задачи хирургического лечения входит не только его устранение, но и нивелирование рисков возможных рецидивов. Показано, что стандартная резекция леватора у 8–26% пациентов может приводить к гипоэффекту [18], а рецидивы могут варьировать от 5 до 35% случаев [9, 13, 14].
Несмотря на то, что исходное морфологическое состояние комплекса леватора верхнего века является важнейшим фактором, который определяет положительные результаты лечения, исследований в данном направлении известно немного [7, 19–21].
O.D. Gündisch, M.J. Pfeiffer предположили, что блефароптоз может быть обусловлен нарушениями функций гладких миоцитов, что вызвано прорастанием жировой ткани в толщу мышцы и возникшим механическим препятствием [22].
В настоящем исследовании проанализировано 16 фрагментов леватора при врождённом птозе верхнего века и 11 фрагментов леватора, резецированные во время операции по устранению приобретённого птоза.
По динамометрическим исследованиям было выявлено, что сила и утомляемость леватора при врождённом птозе была значительно ниже, чем при приобретённом. При врождённом птозе верхнего века СС составила в среднем 1,06±0,39 г, утомляемость — в среднем 1,88±0,89 г, а при приобретённом птозе средние значения силы составили 1,47±0,66 г, утомляемости — 2,31±0,91 г (р <0,05). При макроскопическом исследовании выявлено, что удалённые фрагменты леватора в группе приобретённого птоза века характеризовались большей длиной (2,33±1,32 мм), чем в группе врождённого птоза (1,22±0,34 мм) (р ≤0,05). Также для фрагментов леватора при приобретённом птозе верхнего века были характерны значительные различия по цвету, они отличались более плотной эластичной консистенцией, чем в группе врождённого птоза.
Для гистологической картины большей части биоптатов леватора при врождённом птозе (10 фрагментов) было характерно разрастание фиброзно-жировой ткани, а для остальных 6 биоптатов — разрастание фиброзной ткани с признаками белковой дистрофии.
Несколько иную картину наблюдали при гистологическом исследовании биоптатов леватора при приобретённом птозе. Так, для 7 биоптатов характерно разрастание фиброзно-жировой ткани, а для 4 биоптатов отмечены фрагменты жировой ткани с признаками отёка и гиперплазии. Полученные в ходе настоящего исследования гистологические результаты совпадают с опубликованными ранее данными [6, 13, 22].
ЗАКЛЮЧЕНИЕ
Динамометрический и гистологический анализ морфологического строения леватора при врождённом и приобретённом птозе верхнего века позволил выявить ряд особенностей. Врождённый птоз в целом характеризуется относительной низкой силой и быстрой утомляемостью леватора верхнего века, большей частотой встречаемости разрастания фиброзно-жировой и фиброзной ткани. В группе приобретённого птоза в равном соотношении определяются разрастания фиброзно-жировой и жировой ткани, а по динамометрическим данным отличаются средними показателями силы и утомляемости. Полученные результаты могут быть использованы для диагностики различных форм птоза и выбора эффективного метода хирургической коррекции данной патологии.
ДОПОЛНИТЕЛЬНАЯ ИНФОРМАЦИЯ
Источник финансирования. Авторы заявляют об отсутствии внешнего финансирования при проведении исследования.
Конфликт интересов. Авторы декларируют отсутствие явных и потенциальных конфликтов интересов, связанных с публикацией настоящей статьи.
Вклад авторов. Все авторы подтверждают соответствие своего авторства международным критериям ICMJE (все авторы внесли существенный вклад в разработку концепции, проведение исследования и подготовку статьи, прочли и одобрили финальную версию перед публикацией).
Наибольший вклад распределён следующим образом: И.А. Филатова — разработка концепция и дизайн исследования, окончательное утверждение рукописи для публикации; Н.С. Измайлова — научное редактирование, интерпретация данных; Ю.П. Кондратьева — научное редактирование; С.А. Шеметов — интерпретация данных, редактирование, оформление библиографии; М.С. Трефилова — обследование пациентов, сбор и анализ литературных источников, написание текста и редактирование статьи.
ADDITIONAL INFO
Funding source. This study was not supported by any external sources of funding.
Competing interests. The authors declare that they have no competing interests.
Author contribution. Irina A. Filatova concept and design of the study, final approval of the manuscript for publication; Natalia S. Izmailova, Julia P. Kondratieva, Sergey A. Shemetov data interpretation, bibliography design, scientific editing; Marina S. Trefilova examined patients, analyzed data, wrote the manuscript with input from all authors. Thereby, all authors made a substantial contribution to the conception of the work, acquisition, analysis, interpretation of data for the work, drafting and revising the work, final approval of the version to be published and agree to be accountable for all aspects of the work.
About the authors
Irina A. Filatova
Helmholtz National Medical Research Center of Eye Diseases
Email: filatova13@yandex.ru
ORCID iD: 0000-0001-5449-4980
SPIN-code: 1797-9875
MD, Dr. Sci. (Med.), Professor
Russian Federation, MoscowNatalia S. Izmailova
Helmholtz National Medical Research Center of Eye Diseases
Email: nizm2013@mail.ru
ORCID iD: 0000-0002-4713-5661
SPIN-code: 1984-1519
MD, Cand. Sci. (Med.)
Russian Federation, MoscowJulia P. Kondratieva
Helmholtz National Medical Research Center of Eye Diseases
Email: oftal-julia@yandex.ru
ORCID iD: 0000-0003-2848-0686
SPIN-code: 1413-2930
MD, Cand. Sci. (Med.)
Russian Federation, MoscowSergey A. Shemetov
Helmholtz National Medical Research Center of Eye Diseases
Email: sergeyshemetov87@gmail.ru
ORCID iD: 0000-0002-4608-5754
SPIN-code: 4397-4425
MD, Cand. Sci. (Med.)
Russian Federation, MoscowMarina S. Trefilova
Helmholtz National Medical Research Center of Eye Diseases
Author for correspondence.
Email: gomfozis@yandex.ru
ORCID iD: 0000-0002-0770-4882
SPIN-code: 7585-6246
MD, graduate student
Russian Federation, MoscowReferences
- Ahmad SM, Della Rocca RC. Blepharoptosis: evaluation, techniques, and complications. Facial Plast Surg. 2007;23(3):203–215. doi: 10.1055/s-2007-984561
- Grusha YO, Fisenko NV, Blinova IV. Blepharoptosis: diagnostic tests. Annals of ophthalmology. 2016;132(3):61–65. (In Russ). doi: 10.17116/oftalma2016132361-65
- Ural O, Mocan MC, Dolgun A, Erdener U. The utility of margin-reflex distance in determining the type of surgical intervention for congenital blepharoptosis. Indian J Ophthalmol. 2016;64(10):752–755. doi: 10.4103/0301-4738.195016
- Antus Z, Salam A, Horvath E, Malhotra R. Outcomes for severe aponeurotic ptosis using posterior approach white-line advancement ptosis surgery. Eye (Lond). 2018;32(1):81–86. doi: 10.1038/eye.2017.128
- Bai JS, Song MJ, Li BT, Tian R. Timing of Surgery and Treatment Options for Congenital Ptosis in Children: A Narrative Review of the Literature. Aesthetic Plast Surg. 2022;46(6):226–234. doi: 10.1007/s00266-022-03039-7
- Zakharova TA, Blokhina SI, Tkachenko TYa. Differentiated approach to the surgical rehabilitation of children with congenital ptosis of the upper eyelid. System Integration in Healthcare. 2014;23(1):69–77. (In Russ).
- Korotkov SA, Andreev EA, Andreev AA. Features of upper eyelid levator resection in myasthenic blepharoptosis// Materials of the 12th scientific and practical conference of ophthalmologists. - Yekaterinburg: “Autograph”, 12/24/2004, pp. 60-61.
- Jubbal KT, Kania K, Braun TL, et al. Pediatric Blepharoptosis. Semin Plast Surg. 2017;31(1):58–64. doi: 10.1055/s-0037-1598631
- Ahuero AE, Winn BJ, Sires BS. Standardized suture placement for mini-invasive ptosis surgery. Arch Facial Plast Surg. 2012;14(6):408–412. doi: 10.1001/archfacial.2012.388
- Hashmi FK, Ogra S, Madge S. Reversible Charles Bonnet syndrome secondary to upper lid ptosis. Orbit. 2020;39(4):302–304. doi: 10.1080/01676830.2019.1648522
- Oh LJ, Wong E, Bae S, Tsirbas A. Closed Posterior Levator Advancement in Severe Ptosis. Plast Reconstr Surg Glob Open. 2018;6(5):e1781. doi: 10.1097/GOX.0000000000001781
- Fuller ML, Briceño CA, Nelson CC, Bradley EA. Tangent screen perimetry in the evaluation of visual field defects associated with ptosis and dermatochalasis. PLoS One. 2017;12(3):e0174607. doi: 10.1371/journal.pone.0174607
- McCulley TJ, Kersten RC, Kulwin DR, Feuer WJ. Outcome and influencing factors of external levator palpebrae superioris aponeurosis advancement for blepharoptosis. Ophthalmic Plast Reconstr Surg. 2003;19(5):388–393. doi: 10.1097/01.IOP.0000087071.78407.9A
- Schulz CB, Nicholson R, Penwarden A, Parkin B. Anterior approach white line advancement: technique and long-term outcomes in the correction of blepharoptosis. Eye (Lond). 2017;31(12):1716–1723. doi: 10.1038/eye.2017.138
- Jacobs SM, Tyring AJ, Amadi AJ. Traumatic Ptosis: Evaluation of Etiology, Management and Prognosis. J Ophthalmic Vis Res. 2018;13(4):447–452. doi: 10.4103/jovr.jovr_148_17
- Mokhtarzadeh A, Bradley EA. Safety and Long-term Outcomes of Congenital Ptosis Surgery: A Population-Based Study. J Pediatr Ophthalmol Strabismus. 2016;53(4):212–217. doi: 10.3928/01913913-20160511-02
- Putterman AM. Efficacy and Complications of External and Internal Pediatric Blepharoptosis Repair Techniques: A Systematic Review. Ophthalmic Plast Reconstr Surg. 2022;38(5):507. doi: 10.1097/IOP.0000000000002197
- Habroosh FA, Eatamadi H. Conjunctival Sparing Ptosis Correction by White-Line Advancement Technique. J Ophthalmol. 2020;2020:9021848. doi: 10.1155/2020/9021848
- Alshehri MD, Al-Fakey YH, Alkhalidi HM, et al. Microscopic and ultrastructural changes of Müller’s muscle in patients with simple congenital ptosis. Ophthalmic Plast Reconstr Surg. 2014;30(4):37–41. doi: 10.1097/IOP.0000000000000104
- Wabbels B, Schroeder JA, Voll B, et al. Electron microscopic findings in levator muscle biopsies of patients with isolated congenital or acquired ptosis. Graefes Arch Clin Exp Ophthalmol. 2007;245(10):1533–1541. doi: 10.1007/s00417-007-0603-8
- Reich W, Sel S, Holbach L, et al. Trauma of periorbital soft tissue. Reconstruction with regard to functional and aesthetic aspects. Ophthalmologe. 2013;110(7):663–667. (In German). doi: 10.1007/s00347-012-2726-5
- Gündisch OD, Pfeiffer MJ. Adjustment of eyelid level in levator surgery for ptosis. Surgical aspects. Ophthalmologe. 2004;101(5):471–477. (In German). doi: 10.1007/s00347-004-1004-6
Supplementary files









