Clinical features, diagnosis, and treatment of dry eye syndrome in children
- Authors: Kovaleva L.A.1, Kuznetsova T.V.1, Baisangurova A.A.1, Zaitseva A.A.1
-
Affiliations:
- Helmholtz National Medical Research Center of Eye Diseases
- Issue: Vol 18, No 2 (2023)
- Pages: 95-104
- Section: Reviews
- Published: 28.07.2023
- URL: https://ruspoj.com/1993-1859/article/view/321832
- DOI: https://doi.org/10.17816/rpoj321832
- ID: 321832
Cite item
Full Text
Abstract
AIM: To investigate the etiopathogenesis and clinical features of dry eye syndrome in children, methods for diagnosing the disease, and the treatment algorithm.
MATERIAL AND METHODS: One hundred eighty-seven children with dry eye syndrome aged 3 to 17 yr were examined. To diagnose dry eye syndrome in children, the following research methods were used: biomicroscopy of the anterior part of the eye under diffuse illumination and with a cobalt filter after instillation of vital dyes; examination of the height of the lacrimal meniscus; identification of a characteristic discharge in the conjunctival sac, xerosis of the ocular surface; and evaluation of tear production (Schirmer I test) and stability of the tear film.
RESULTS: We found that the links in the pathogenesis of dry eye syndrome in children were as follows: diseases of the ocular surface and appendage of the eye, contact correction of ametropia, and surgical operations on the conjunctiva and oculomotor muscles; otogenic neuritis of the facial nerve; rheumatoid arthritis; endocrine ophthalmopathy; lagophthalmos; and thermal and chemical burns. It is now always possible to evaluate tear production and tear film stability in preschool and primary school-aged children. In this case, the main diagnostic method is biomicroscopy. We identified objective clinical symptoms of dry eye syndrome in children using biomicroscopy. Dry eye syndrome was classified into four degrees of severity: mild, moderate, severe, and extremely severe. The subjective and objective clinical signs of each disease severity are described.
An individual approach and personalized therapy are required to treat dry eye syndrome in children, focusing on the individual tolerability and effectiveness of the drug. Maximum medical alertness and early and accurate clinical differential diagnosis between dry eye syndrome and infectious inflammatory pathology of the anterior part of the eye are required.
CONCLUSION: The features of the etiopathogenesis of dry eye syndrome in children with various nosologies are examined, and the characteristic clinical symptoms and severity of dry eye syndrome, diagnostic methods, and algorithm for treating dry eye syndrome in children are described. The clinical and diagnostic features of dry eye syndrome in children described by us contribute to its early diagnosis, allowing for the initiation of personalized tear replacement and reparative therapy on time, preventing the development of a chronic course of the disease, the occurrence of complications, and the preservation and/or restoration of visual acuity.
Full Text
ВВЕДЕНИЕ
Глазная поверхность включает различные анатомические структуры, такие как эпителий роговицы, лимб, конъюнктиву глазного яблока и век, а её внешними границами служат наружные отверстия выводных протоков мейбомиевых желёз верхнего и нижнего века. Глазная поверхность представляет собой единый механизм, обеспечивающий гомеостаз слёзной пленки, стабильное функционирование роговицы и конъюнктивы [1].
Известно, что в основе патогенеза синдрома сухого глаза лежит дисфункция прероговичной слёзной пленки, возникающая вследствие снижения частоты мигательных движений век, реже 1 раза за 10 секунд, и/или сокращения времени разрыва слёзной плёнки от 1 до 9 секунд после мигания [2].
Синдром сухого глаза (ССГ) — это многофакторное заболевание, характеризующееся нарушением стабильности слёзной плёнки, приводящее к нарушению целостности и воспалению глазной поверхности, а также нейросенсорным изменениям [3–5].
Субъективные признаки ССГ проявляются чувством дискомфорта в глазах, вызванным нестабильностью слёзной плёнки и снижением её защитной функции вследствие недостаточной продукции слёзной жидкости или избыточного её испарения с поверхности глаза [6]. ССГ оказывает существенное влияние на остроту зрения, качество жизни, трудоспособность, психологическое и физическое состояние пациентов. Распространённость ССГ в мире составляет 5%–50%, а в некоторых популяциях достигает 75% [7].
Риск ССГ обусловлен следующим факторами: дисфункция мейбомиевых желёз, принадлежность к монголоидной расе, ношение контактных линз, синдром Шегрена, воздействие окружающей среды (загрязнение воздуха, ветер, низкая влажность, высокогорье), длительная работа за компьютером, гиповитаминоз А, нарушения питания, рефракционная хирургия, сахарный диабет, аффективные и соматоформные расстройства, генетические нарушения [7].
Распространённость ССГ среди пациентов пожилого возраста составляет от 7,4% (в Австралии) до 93,2% (в Сау-довской Аравии) [8]. В настоящее время исследования российских авторов показывают, что за последние десятилетия частота возникновения ССГ значительно возросла в детском и молодом возрасте. Распространённость ССГ среди российских школьников младших классов составила 40%, у старшеклассников — 70,6% [9–18]. Развитию ССГ у детей зачастую способствует микроклимат помещений [19], применение системных лекарственных препаратов (α-1- и α-2-адреноблокаторы, β-адреноблокаторы, диуретики, антидепрессанты и психотропные средства). Фактором риска ССГ также являются инстилляции офтальмологических лекарственных средств (антибактериальных препаратов, анестетиков, β–адреноблокаторов, глюкокортикоидов, М-холинолитиков, снижающих слезопродукцию или нарушающих чувствительность роговицы; воздействие консервантов глазных капель [8].
Известно, что применение контактной коррекции приводит к значительному снижению результатов теста Ширмера, чего не отмечается при очковой коррекции аметропии [20, 21]. По данным литературы, при врождённой глаукоме ССГ выявляется у 73% детей, а при использовании β-адреноблокаторов с консервантом — в 100% случаев; при сахарном диабете — у 100%, при ревматоидном увеите — у 40% детей. Инстилляции глюкокортикоидов или нестероидных противовоспалительных препаратов способствуют появлению ССГ у 50% детей с ревматоидным увеитом, а при их комбинации — в 100% случаев [16].
Одним из основных звеньев патогенеза ССГ у детей с ревматическими иммуновоспалительными заболеваниями является иммунное воспаление, при котором происходит системное поражение соединительной ткани [22, 23]. У 15–25% больных ревматоидным артритом ССГ развивается уже в дебюте заболевания и может быть первым проявлением системной патологии, а при стаже болезни более 5 лет данная проблема выявляется практически у всех пациентов; тяжёлая и крайне тяжёлая степень ССГ при иммуновоспалительных ревматических заболеваниях встречается в 67% случаев [23]. При длительном стаже заболевания на фоне приёма цитостатиков и иммуносупрессоров, наблюдаются значительные изменения в состоянии поверхности глаза, проявляющиеся хроническим воспалением, инфильтрацией стромы роговицы, конъюнктивы, нарушением эпителизации глазной поверхности, поражением краевой зоны роговицы и лимба, что сопровождается стойким нарушением местного иммунитета и способствует тяжелому торпидному течению и неблагоприятному прогнозу ССГ.
В настоящее время доказана высокая эффективность применения капель без консервантов на основе гиалуроновой кислоты, реологические свойства которой определяются молекулярной массой и концентрацией, близкой к таковым в слёзной жидкости. Гиалуроновая кислота способствует образованию на поверхности роговицы равномерной прероговичной плёнки [22, 24].
В инструкциях большинства слезозаместительных препаратов отсутствуют показания о применении их в детском возрасте. Назначение таких препаратов с учётом отсутствия фармакологически значимого побочного эффекта, за исключением аллергической реакции, возможно, если у ребёнка имеются признаки ССГ, требующего увлажнения глазной поверхности [25].
Цель. Анализ этиопатогенеза и клинических особенностей синдрома сухого глаза у детей, методов диагностики заболевания и алгоритма терапии.
МАТЕРИАЛ И МЕТОДЫ
За 2020–2023 гг. обследовано 187 детей в возрасте от 3 до 17 лет с синдромом сухого глаза. Для диагностики синдрома сухого глаза (ССГ) у детей применялись методы: биомикроскопия переднего отдела глаза при диффузном освещении и с кобальтовым фильтром после инстилляции витальных красителей; исследование высоты слёзного мениска; выявление характерного отделяемого в конъюнктивальном мешке, ксероза глазной поверхности; оценка слёзопродукции (проба Ширмера I) и стабильности слёзной плёнки.
РЕЗУЛЬТАТЫ
У большинства пациентов синдром сухого глаза развился вследствие снижения частоты мигательных движений на фоне хронической повышенной зрительной нагрузки при работе на близком от глаз расстоянии с печатной продукцией, мониторами электронных устройств; нарушения иннервации роговицы и конъюнктивы.
Звеном патогенеза ССГ у детей было сокращение времени разрыва слёзной плёнки, т.е. повышение испаряемости слёзной плёнки и/или снижение количества продукции водного, липидного и муцинового компонентов слёзной плёнки. Одной из причин ССГ может быть нарушение структуры эпителия глазной поверхности, обеспечивающей её тесное взаимодействие со слёзной плёнкой, а также различные сочетания перечисленных факторов (рис. 1).
Рис. 1. Разрыв слёзной плёнки.
Fig. 1. Tear film rupture.
Наиболее тяжёлыми этиопатогенетическими факторами синдрома сухого глаза у наблюдаемых пациентов являлись воспалительные и аллергические заболевания глазной поверхности и придаточного аппарата глаза, такие как дисфункция мейбомиевых желёз, конъюнктивит инфекционных или аллергический, инфекционный кератит и язва роговицы, склерит, дакриоаденит — 75,9% (142 ребёнка) (рис. 2–6).
Рис. 2. Дисфункция мейбомиевых желёз.
Fig. 2. Meibomian gland dysfunction.
Одним из факторов ССГ является контактная коррекция аметропии, в том числе при нарушении использования ортокератологических линз — 9,6% (18 человек). В 1% случаев (2 пациента) снижение продукции слезы явилось следствием хирургических операций на конъюнктиве и глазодвигательных мышцах. В 1% случаев (2 человека) ССГ ассоциировался с заболеваниями, приводящими к нарушению функций лицевого и/или тройничного нерва (отогенный неврит лицевого нерва) и с хирургическим лечением врождённого пигментного невуса кожи верхнего и нижнего века. Выявлено, что ССГ был спровоцирован также ревматоидным артритом (2% случаев, 3 пациента), синдромом Шегрена (1% случаев, 2 пациента), сахарным диабетом (1% случаев, 2 человека), эндокринной офтальмопатией (0,5% случаев, 1 пациент); лагофтальмом (1%, случаев, 2 детей). В ряде случаев к развитию синдрома привели термические и химические ожоги (1%, 2 ребёнка), аплазия слёзной железы (0,5%, 1 ребёнок), генетическое заболевание (0,5%, 1 человек). У 9 больных (4,8% случаев) этиологическими факторами ССГ были климатические условия (температура воздуха, ветер, смог и др.).
Рис. 3. Конъюнктивит инфекционный аденовирусный.
Fig. 3. Conjunctivitis infectious adenovirus.
У всех наблюдаемых пациентов усилению симптомов ССГ способствовал неблагоприятный микроклимат помещений, например, повышенная конвекция воздуха от кондиционеров и вентиляторов, низкая влажность воздуха в помещении, запылённость помещения, пассивное курение, пары химических веществ; инфракрасное излучение отопительных приборов, снижающих влажность воздуха и т.п.
Рис. 4. Инфекционный кератит герпетический.
Fig. 4. Infectious keratitis herpetic.
Отмечено, что симптомы ССГ усиливаются при инстилляции офтальмологических лекарственных средств, таких как антибактериальные препараты, анестетики, β–адреноблокатори, глюкокортикоиди, М-холинолитики, снижающих продукцию слезы или нарушающих чувствительность роговицы. Токсическое действие на эпителий глазной поверхности оказывают консерванты любых глазных капель.
Рис. 5. Склерит передний.
Fig. 5. Sclerite anterior.
Распространённость ССГ у детей сложно диагностировать из-за возрастных и характерологических особенностей. В большинстве случаев родители самостоятельно обращают внимание на изменение внешнего поведения ребёнка, что становится поводом обращения к офтальмологу.
Полученные от родителей анамнестические данные позволяют выделить характерные субъективные клинические симптомы ССГ у детей. Окружающие взрослые обращают внимание, что ребёнок щурится, частично смыкает веки, интуитивно пытаясь уменьшить ширину глазной щели; трёт глаза; чаще мигает; появляется покраснение глаз и слизистое отделяемое из конъюнктивального мешка, особенно выражено после ночного сна; отсутствует или снижается количества слезы у ребёнка при плаче; возникает светобоязнь, быстрая утомляемость при зрительной нагрузке.
Рис. 6. Дакриоаденит: а — S-образное сужение глазной щели при дакриоадените, отёк и гиперемия верхнего века левого глаза; b — эхография: слёзная железа увеличена (4,2 мм х 20,0 мм), определяется выраженный кровоток.
Fig. 6. Dacryoadenitis: а — S-shaped narrowing of the palpebral fissure with dacryoadenitis, edema, and hyperemia of the upper eyelid of the left eye; b — ultrasonography: the lacrimal gland is enlarged (4.2 mm x 20.0 mm) and pronounced blood flow is determined with a violet tint.
Одним из симптомов ССГ у детей является рефлекторное слезотечение, по мнению родителей, не коррелирующее с определением «синдромом сухого глаза», что требует проведения разъяснительной работы с представителями ребёнка.
Кроме внешних признаков, некоторые дети при детальном опросе описывают чувство дискомфорта, резь в глазах, чувство инородного тела, жжение и «пелену» перед глазами, затуманивание зрения.
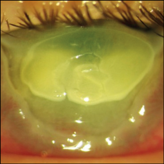
Рис. 7. Снижение высоты слёзного мениска вплоть до его полного отсутствия. Окрашивание участков деэпителизации роговицы 0,1% раствором флюоресцеина натрия.
Fig. 7. Reducing the height of the lacrimal meniscus up to its complete absence. Staining the areas of de-epithelialization of the cornea with 0.1% sodium fluorescein solution.
Все вышеперечисленные симптомы часто усиливаются при зрительной нагрузке, смоге, сухом воздухе, сквозняках, ветре, наличии пыли или химических паров в воздухе, воздействии эфирных масел и резких запахов.
При биомикроскопии были выявлены объективные клинические симптомы ССГ у детей, такие как снижение высоты слёзного мениска вплоть до его полного отсутствия (рис. 7), характерное отделяемое в конъюнктивальном мешке слизистое, нитевидное, прозрачное, бесцветное.
Рис. 8. Окрашивание участков деэпителизации роговицы 0,1% раствором флюоресцеина натрия и слизистого отделяемого в конъюнктивальном мешке.
Fig. 8. Staining areas of de-epithelialization of the cornea with a 0.1% solution of sodium fluorescein and a mucous discharge in the conjunctival sac
Ксероз глазной поверхности, повышающий трение конъюнктивы век и глазного яблока (рис. 8), способствует появлению складчатости бульбарной конъюнктивы и образованию крупной складки конъюнктивы на границе заднего края нижнего века, которая, смещаясь при мигательных движениях, может достигать ресничного края нижнего века; микро- и макро-эрозии роговицы, конъюнктивы век и глазного яблока, диагностируемые при инстилляции витальных красителей.
В качестве красителей используется 0,1–0,2% раствор флюоресцеина натрия, который окрашивает участки деэпителизации глазной поверхности. Растворы 1% бенгальского розового и 3% лиссаминового зелёного позволяют выявить наличие дегенеративно изменённых клеток эпителия конъюнктивы и роговицы (рис. 9, а, b).
Рис. 9. Инстилляции витальных красителей: a — раствор 3% лиссаминового зелёного; b — раствор 1% бенгальского розового.
Fig. 9. Instillations of vital dyes: a — solution of 3% lissamine green; b — solution of 1% rose bengal.
Оценка продукции слезы и стабильности слёзной плёнки у детей дошкольного и младшего школьного возраста не всегда выполнима в силу психоэмоциональных особенностей. Так, плач в ответ на использование неинвазивных и инвазивных методов диагностики способствует утрате достоверности исследования.
У детей среднего и старшего школьного возраста не вызывает затруднений оценка стабильности слёзной плёнки путём определения времени разрыва слёзной плёнки (проба Норна) и оценки слезоопродукции (рис. 1).
Слезопродукция ориентировочно оценивается при биомикроскопи в ходе определения высоты слёзного мениска и примерного количества слёзной жидкости в конъюнктивальном мешке. Суммарная слезопродукция исследуется проведением пробы Ширмера-I. Оценка базальной слезопродукции (проба Ширмера-II и проба по Джонсу) не проводится, так как у подавляющего большинства детей эти исследования затруднительны.
Степени тяжести ССГ у детей, как при общепринятой классификации у взрослых, мы делили на лёгкую, среднетяжёлую, тяжёлую и крайне тяжёлую. Для лёгкой степени тяжести ССГ у детей характерно рефлекторное повышение слезопродукции слёзной железой при отсутствии объективных клинических признаков и преобладании субъективных. Средняя степень тяжести ССГ и среднетяжёлая формы заболевания сопровождаются снижением рефлекторной слезопродукции вследствие истощения компенсаторных возможностей слёзной железы. Наблюдается усиление субъективных признаков и появление объективных симптомов ксероза, таких как микро- и/или макро-эрозии конъюнктивы и роговицы — эпителиопатия, характерная для сухого кератоконъюнктивита (рис. 10, а, b).
Рис. 10. Симптомы ксероза: а — макроэрозии конъюнктивы и роговицы, окрашивание раствором 1% бенгальского розового; b — микроэрозии (эпителиопатия роговицы), окрашивание 0,1% раствором флюоресцеина натрия.
Fig. 10. Symptoms of xerosis: а — macroerosion of of the cornea, irrigated with 1% rose bengal; b — microerosion (corneal epitheliopathy) stained with 0.1% sodium fluorescein solution.
Тяжёлая степень ССГ у детей возникала при отсутствии адекватной терапии начальных степеней ССГ, при поражении лицевого и тройничного (1 и 2 ветви) нервов, лагофтальме, ксерофтальмии, врождённых и генетических аномалиях развития придаточного аппарата глаза.
При тяжёлой степени ССГ мы отмечали отсутствие рефлекторной продукции слезы слёзной железой, выраженные субъективные признаки заболевания, прогрессирование объективных клинических симптомов, появление макро-эрозии конъюнктивы и роговицы, характерных для сухого кератоконъюнктивита; нитевидных отслоений эпителия роговицы, являющихся признаками нитчатого кератита. При сухом кератите с изъязвлением макро-эрозии, сливаясь, образовывали изъязвления роговицы и конъюнктивы различной формы и величины, вплоть до тотальных. Усугубление ксероза поверхности роговицы и достижения им средних и глубоких слоев завершается образованием ксеротической язвы роговицы, при отсутствии адекватной терапии исходом может быть перфорация роговицы (рис. 11).
Рис. 11. Язва роговицы ксеротическая.
Fig. 11. Corneal ulcer xerotic.
На фоне корректировки терапии тяжёлая степень ССГ имела благоприятное течение, симптомы её купировались.
В этиопатогенетической терапии ССГ у детей мы используем два основных направления — это восполнение дефицита слёзной жидкости и стабилизация слёзной плёнки, заключающиеся в длительных, чаще постоянных инстилляциях в конъюнктивальный мешок лекарственных средств различной степени вязкости, заменяющих слезу, содержащих производные метилцеллюлозы и гиалуроновой кислоты, поливиниловый спирт и другие. Инстилляции проводятся 6–8 раз в день.
Лекарственные препараты «искусственной слезы» имеют различия не только по составу, но и по степени вязкости: гелевые; высокой, средней и низкой степеней. Показанием для назначения препаратов искусственной слезы низкой вязкости является лёгкая степень ССГ. При средней и тяжёлой степени ССГ используют искусственную слезу средней и высокой вязкости, гели. Крайне тяжёлая степень ССГ является показанием к применению всех групп слезозаместительных препаратов, репаративных глазных капель и мазей.
В лечении ССГ у детей необходим индивидуальный подход и персонализированная терапия, ориентированная на наличие в составе препарата консерванта и его токсичность, индивидуальную переносимость и эффективность лекарственного средства. Требуется максимальная врачебная настороженность, ранняя и точная клиническая дифференциальная диагностика между ССГ и инфекционной воспалительной патологией переднего отдела глаза, так как несвоевременная диагностика ССГ, расширение спектра и количества необоснованно используемых лекарственных средств при отсутствии положительной динамики от их применения приводит к хроническому течению заболевания, возникновению осложнений
ЗАКЛЮЧЕНИЕ
Проведён анализ особенностей этиопатогенеза синдрома сухого глаза (ССГ) у детей при различных нозологиях. Описаны характерные клинические симптомы и степени тяжести ССГ, методы диагностики и алгоритм лечения зпболевания у детей. Выявленные клинические и диагностические особенности зпболевания способствуют его ранней диагностике, что позволяет своевременно начать персонализированную слезозаместительную и репаративную терапию, предупредив развитие хронического течения заболевания, возникновения осложнений, сохранить и/или восстановить остроту зрения.
ДОПОЛНИТЕЛЬНО
Источник финансирования. Авторы заявляют об отсутствии внешнего финансирования при проведении исследования.
Конфликт интересов. Авторы декларируют отсутствие явных и потенциальных конфликтов интересов, связанных с публикацией настоящей статьи.
Вклад авторов. Все авторы подтверждают соответствие своего авторства международным критериям ICMJE (все авторы внесли существенный вклад в разработку концепции, проведение исследования и подготовку статьи, прочли и одобрили финальную версию перед публикацией). Наибольший вклад распределён следующим образом. Л.А. Ковалева — замысел и разработка дизайна исследования, лечение, написание текста и редактирование статьи, сбор и анализ источников литературы; Т.В. Кузнецова — сбор клинических и диагностических данных, анализ данных; А.А. Байсангурова — сбор клинических и диагностических данных и статистическая обработка; А.А. Зайцева — сбор клинических и диагностических данных, создание базы данных.
ADDITIONAL INFO
Funding source. This study was not supported by any external sources of funding.
Competing interests. The authors declare that they have no competing interests.
Author contribution. All authors confirm that their authorship complies with the international ICMJE criteria (all authors made a significant contribution to the development of the concept, research and preparation of the article, read and approved the final version before publication). The largest contribution is distributed as follows: Ludmila A. Kovaleva — conception and development of the study design, treatment, writing the text and editing the article, collection and analysis of literary sources; Tatjana V. Kuznetsova — collection of clinical and diagnostic data, data analysis; Albina A. Baisangurova — collection of clinical and diagnostic data and statistical processing; Alina A. Zaitseva — collection of clinical and diagnostic data, creation of a database.
About the authors
Ludmila A. Kovaleva
Helmholtz National Medical Research Center of Eye Diseases
Author for correspondence.
Email: ulcer.64@mail.ru
ORCID iD: 0000-0001-6239-9553
SPIN-code: 1406-5609
Scopus Author ID: 682934
Кандидат медицинских наук, научный сотрудник отдела инфекционных и аллергических заболеваний глаз
Russian Federation, 14/19, Sadovaya Chernogryazskaya Street. 105062, MoscowTatjana V. Kuznetsova
Helmholtz National Medical Research Center of Eye Diseases
Email: tatakuzn@gmail.com
ORCID iD: 0009-0005-1333-2420
SPIN-code: 4815-6968
Scopus Author ID: 1196017
MD, ophthalmologist
Russian Federation, 14/19, Sadovaya Chernogryazskaya Street. 105062, MoscowAlbina A. Baisangurova
Helmholtz National Medical Research Center of Eye Diseases
Email: alia-bai-5@mail.ru
ORCID iD: 0000-0002-8014-667X
SPIN-code: 2308-0920
Scopus Author ID: 1195874
MD, ophthalmologist
Russian Federation, 14/19, Sadovaya Chernogryazskaya Street. 105062, MoscowAlina A. Zaitseva
Helmholtz National Medical Research Center of Eye Diseases
Email: alisha_klin@mail.ru
ORCID iD: 0000-0001-8852-3305
SPIN-code: 8965-1586
Scopus Author ID: 1115106
MD, ophthalmologist
Russian Federation, 14/19, Sadovaya Chernogryazskaya Street. 105062, MoscowReferences
- Safonova TN, Pateiuk LS. Ocular surface system integrity. Vestnik Oftalmologii. 2015;131(1):96–103. (In Russ). doi: 10.17116/oftalma2015131196-102
- Brzheskiĭ VV. Ocular surface and other terms. Vestnik Oftalmologii. 2014;130(6):108–109. (In Russ).
- Craig JP, Nichols KK, Akpek EK, et al. TFOS DEWS II Definition and Classification Report. Ocul Surf. 2017;15(3):276–283. doi: 10.1016/j.jtos.2017.05.008
- Jones L, Downie LE, Korb D, et al. TFOS DEWS II management and therapy report. Ocul Surf. 2017;15(3):575–628. doi: 10.1016/j.jtos.2017.05.006
- Milner MS, Beckman KA, Luchs JI, et al. Dysfunctional tear syndrome: Dry eye disease and associated tear film disorders — new strategies for diagnosis and treatment. Curr Opin Ophthalmol. 2017;27(Suppl 1):3–47. doi: 10.1097/01.icu.0000512373.81749.b7
- Lin PY, Tsai SY, Cheng CY. Prevalence of dry eye among an elderly Chinese population in Taiwan: The Shinpai eye study. Ophthalmology. 2003;110(6):1096–1101. doi: 10.1016/S0161-6420(03)00262-8
- Stapleton F, Alves M, Bunya VY, et al. TFOS DEWS II Epidemiology Report. Ocul Surf. 2017;15(3):334–365. doi: 10.1016/j.jtos.2017.05.003
- Brzheskiy VV. «Dry eye» syndrome in the children: current possibilities for diagnostics and treatment (the guidelines for practitioners). Russian Pediatric Ophthalmology. 2017;12(2):73–81. (In Russ). doi: 10.18821/1993-1859-2017-12-2-73-8
- Biryukova NV, Nesterova NV, Uvarov AA. Vliyanie distantsionnogo obucheniya na zdorov’e uchitelei, shkol’nikov i studentov // Collection of articles in the International Scientific and Practical Conference «Innovatsionnaya traektoriya razvitiya sovremennoi nauki: stanovlenie, razvitie, prognozy»; 2021 Jan 11; Petrozavodsk, Russia. Petrozavodsk; 2021. P. 149–154. (In Russ). doi: 10.46916/14012021-1-978-5-00174-110-7
- Brzheskiy VV, Somov EE. Dry eye syndrome in patients with inherited glaucoma. RMJ. 2003;3:139–141. (In Russ).
- Astasheva IB. Osobennost’ sostoyaniya sleznoi sistemy i stabil’nosti prekorneal’noi plenki u nedonoshennykh detei. Proceedings of the scientific conference dedicated to the 70th anniversary of the founding of the first in Russia Department of Pediatric Ophthalmology «Sovremennye problemy detskoi oftal’mologii»; 2005; St. Petersburg, Russia. St. Petersburg: Piastr; 2005. P. 210–212. (In Russ).
- Somov EE, Saidasheva EI. Sindrom «sukhogo glaza» u detei. Materials of the scientific-practical conference «Detskaya oftal’mologiya: itogi i perspektivy»; 2006 Nov 21–23; Moscow, Russia. Moscow; 2006. P. 342–343. (In Russ).
- Nagorsky PG, Belkina VV, Nesterova LY. The impact of tear replacement therapy (hylabak 0.15% eye drops) on the extent of dry eye syndrome in children and adolescents wearing contact lenses. Russian Ophthalmological Journal. 2011;4(2):32–36. (In Russ).
- Katargina LA, Shestova YuP, Denisova EV. Sindrom «sukhogo glaza» pri endogennykh uveitakh u detei. Collection of scientific papers of the scientific-practical conference with international participation «V Rossiiskii obshchenatsional’nyi oftal’mologicheskii forum»; 2012 Oсt 3–5, 2012; Moscow, Russia. Moscow: Aprel; 2012. P. 596–602. (In Russ).
- Markova EYu, Kurenkova NV, Matveev AV, et al. Komp’yuternyi zritel’nyi sindrom u detei i podrostkov. Proceedings of the scientific conference of ophthalmologists «Nevskie gorizonty-2012»; 2012 Oct 12–13; St. Petersburg, Russia. St. Petersburg; 2012. P. 217–218. Available from: https://organum-visus.ru/library/newspdf/nevskie-gorizonty-2012-sbornik. Accessed: 09.06.2012. (In Russ).
- Vorontsova OA, Brzheskiy VV. Features of clinical course of dry eye syndrome in children. Russian Ophthalmology of Children. 2013;2:10–17. (In Russ).
- Prozornaya LP. Vospalitel’nye zabolevaniya resnichnykh kraev vek. In: Somov EE, editor. Izbrannye razdely detskoi klinicheskoi oftal’mologii. St. Petersburg: Chelovek; 2016. P. 129–137 (In Russ).
- Brzheskii VV. Sindrom «sukhogo glaza u detei. In: Somov EE, editor. Izbrannye razdely detskoi klinicheskoi oftal’mologii. St. Petersburg: Chelovek; 2016. P. 165–189. (In Russ).
- El-Shazly AAF, El-Zawahry WMA, Hamdy AM, Ahmed MB. Passive smoking as a risk factor of dry eye in children. J Ophthalmol. 2012;2012:130159. doi: 10.1155/2012/130159
- Zhukova EA, Shitova OV, Kolevatyh EP. Changes in indicators of tears production. Inflammatory response in patients with contact lenses. Medical Newsletter of Vyatka. 2017;56(4):67–70. (In Russ).
- Astakhov SY, Riks IA. Experience in Gilan Comfort eye drops use of in patients after excimer laser surgery. Ophthalmology Reports. 2017;10(4):57–60. (In Russ). doi: 10.17816/OV10457-60
- Ponomareva MN, Verbina AV, Andrievskikh OA. Early diagnosis of the syndrome of the dry eye in rheumatoid arthritis. Point of view. East-West. 2017;3:121–123. (In Russ).
- Sinyachenko OV, Pavlyuchenko AK, Lukashenko LV, Gonchar GA. Revmatoidnyi artrit i oftal’mopatiya. Ukrains’kii revmatologichnii zhurnal. 2012;4(50):1–5. (In Russ).
- Brzheskaya IV, Brjesky VV, Radukhan M. Current trends in the therapy of the ocular surface epithelial xerosis. Ophthalmology Reports. 2014;7(3):45–56. (In Russ). doi: 10.17816/OV2014345-56
- Prozornaya LP, Brzheskiy VV. Сomparative effect of artificial tear drug usage in patients with «dry eye» syndrome and chronic blepharitis. Pediatrician (St. Petersburg). 2013;4(1):53–57. (In Russ).
Supplementary files














