The effectiveness of subtenon triamcinolone injection for the treatment of macular edema in children with retinitis pigmentosa
- Authors: Katargina L.A.1, Denisova E.V.1, Khrabrova M.A.1, Osipova N.A.1
-
Affiliations:
- Helmholtz National Medical Research Center of Eye Diseases
- Issue: Vol 16, No 1 (2021)
- Pages: 5-12
- Section: Clinical studies
- Published: 15.01.2021
- URL: https://ruspoj.com/1993-1859/article/view/75776
- DOI: https://doi.org/10.17816/rpo2021-16-1-5-12
- ID: 75776
Cite item
Full Text
Abstract
Aim: This study aimed to assess the functional and anatomical results of subtenon triamcinolone injections in children with retinitis pigmentosa (PR) and cystic macular edema (CME), refractory to local carbonic anhydrase inhibitors.
Material and methods: We examined 11 children (9 girls, 2 boys) aged 9 to 17 years who underwent subtenon injections of triamcinolone (22 eyes). The follow-up period ranged from 1.6 to 33.1 months (average 9.7±11.6 months), the number of triamcinalone injections ranged from 1 to 11, averaging 3. Before and after injection, best corrected visual acuity (BCVA), the thickness and structure of the retina in the macular zone (optical coherence tomography [OCT] was performed by using the NIDEK RS-3000, Japan or the Spectralis, Heidelberg Engineering, Germany), and intraocular pressure (IOP) were assessed.
Results: The CME height at the end of the observation period decreased in 10 cases (45.5%), and the average central retinal thickness decreased from 70 to 594 μm (on average, 219.1±183.4 μm). In 12 eyes (54.5%), the CME height at the end of the observation period did not change significantly. BCVA improved in two eyes (9.1%) and did not change in the other cases. Two children (18%) developed ophthalmic hypertension in both eyes after two injections of triamcinalone. In one child, IOP returned to normal on the background of hypothetical therapy. In another child, due to non-compensation of IOP at the maximum hypotensive mode, sinus trabeculectomy was performed in both eyes, and IOP normalization was achieved.
Conclusion: Subtenon injection of triamcinolone in children with CME against a background of PR is in most cases is an effective and safe method of treatment and can be recommended if carbonic anhydrase inhibitors are ineffective at reducing/ resorbing edema and maintaining or improving visual function. Considering that the action of triamcinolone is short lived, and its repeated injection is required, and the resorption of CME and an increase in visual acuity are not always achievable, it is necessary to continue the search for more effective treatment methods.
Full Text
Пигментный ретинит (ПР) — это генетически гетерогенная группа наследственных дистрофий сетчатки, сопровождающихся прогрессирующей потерей палочковых и, затем, колбочковых фоторецепторов и характеризующихся ночной слепотой, прогрессирующим сужением полей зрения и, как правило, отложением пигмента на глазном дне. Распространённость ПР составляет в среднем 1/4000 [1–2].
Снижение остроты зрения у пациентов с ПР может быть обусловлено как дегенерацией фоторецепторов, так и развитием осложнений, среди которых наиболее частым (10–50%) является кистовидный макулярный отёк (КМО) [3].
Патогенетические механизмы возникновения КМО при ПР окончательно не изучены. Возможными факторами заболевания являются следующие: дисфункция насосного механизма пигментного эпителия сетчатки, отёк и дисфункция клеток Мюллера, антиретинальные антитела, витреоретинальная тракция [4].
Единого подхода к лечению КМО у пациентов с ПР в настоящее время нет. На первом этапе обычно применяют местные или системные ингибиторы карбоангидразы (КА). В случае неэффективности КА используют кортикостероиды (в виде инстилляций, субтенонового или интравитреального введения, редко — системно), интравитреальные инъекции ингибиторов эндотелиального сосудистого фактора роста, витрэктомию [4–31]. Каждый из этих методов имеет ограниченную эффективность, не гарантирует стойкой резорбции КМО и сопряжён с риском нежелательных явлений. Крупных рандомизированных контролируемых исследований различных методов лечения КМО, ассоциированных с ПР, не проводилось. Анализу эффективности лечения КМО у детей с ПР посвящены лишь единичные исследования [28].
Цель. Изучить анатомические и функциональные результаты субтенонового введения триамцинолона у детей с КМО на фоне ПР.
Материал и методы
В отделе патологии глаз у детей ФГБУ «НМИЦ глазных болезней им. Гельмгольца» проведено лечение 11 пациентов (9 девочек, 2 мальчика) в возрасте от 9 до 17 лет (в среднем 13,9 лет) с ПР и КМО (22 глаза).
Всем пациентам проводили стандартное офтальмологическое обследование. Диагноз ПР основывался на офтальмоскопии и электроретинографии [1, 2, 4]. Учитывали также семейный анамнез. Наличие КМО и его динамику оценивали визуально и с помощью оптической когерентной томографии (ОКТ) на приборах NIDEK RS-3000 (Япония) или Spectralis (Heidelberg Engineering, Германия). Показанием к субтеноновому введению триамцинолона была неэффективность (отсутствие уменьшения КМО по данным ОКТ) местных ингибиторов КА (бринзоламид 1% или дорзоламид 2%) в течение 2–3 месяцев. О неэффективности лечения судили по отсутствию уменьшения КМО по данным ОКТ.
Субтеноновое введение триамцмналона проводилось в асептических условиях в операционной под местной анестезией. В конъюнктивальную полость закапывали 0,5% раствор проксиметакаина или 0,4% раствор оксибупрокаина, обрабатывали кожу век и окологлазничной области 10% раствором бетадина. Операционное поле накрывалось офтальмологической салфеткой с карманом и липким слоем. В 3–4 мм от лимба нижне-внутреннем квадранте проводили разрез конъюнктивы и теноновой капсулы длиной 1,5–2 мм, субтеноново вводили 0,8–1,0 мл триамцинолона, используя закруглённую тупоконечную канюлю. На конъюнктиву накладывали шов (викрил 8/0), в конъюнктивальную полость закапывали раствор антибиотика. При двустороннем КМО и наличии показаний субтеноновое введение выполняли одномоментно в оба глаза.
Вопрос о повторном введении препарата решали через 1–2 месяца после операции. Показаниями к повторному введению были: 1) положительная динамика, т.е. уменьшение максимальной толщины сетчатки в макуле на 30 мкм и более при отсутствии полной резорбции КМО; 2) появление или нарастание КМО после его резорбции или уменьшения на фоне субтенонового введения триамцинолона. При отсутствии динамики КМО через 1–2 месяца после субтеноновой инъекции дальнейшее лечение триамцинолоном не проводили.
Длительность динамического наблюдения составила от 1,6 до 33,1 месяцев (в среднем 9,7±11,6 месяцев). Всего за период наблюдения было проведено 50 инъекций триамцинолона, количество введений одному пациенту варьировало от 1 до 11 (в среднем 3). Интервал между введениями составил от 1,2 до 9,2 месяцев (в среднем 2,9±2,1 месяца).
Статистическая обработка данных проведена с помощью пакета программ Analysis ToolPak MS Excel.
Результаты
Анализ показал, что КМО был выявлен до установления диагноза ПР у 5 детей (46%). У 4 детей (36%) первично диагностирован ПР, у 2 детей (18%) КМО и ПР были диагностированы одновременно. Длительность существования КМО до постановки диагноза ПР составила от 2,1 до 48,6 месяцев (в среднем 13,3±19,8). Сроки выявления КМО после постановки диагноза ПР варьировали от 3,6 до 67,2 месяцев (в среднем 36,2±35,2).
Центральная толщина сетчатки (ЦТС) до введения триамцинолона составила от 300 до 1313 мкм (в среднем 630,1±269,5 мкм). Кистовидные полости во всех глазах были выявлены в наружном и внутреннем ядерных слоях сетчатки без преобладания в каком-либо из слоёв. Серозной отслойки нейроэпителия не наблюдалось. При первичном обследовании КМО был симметричным в обоих глазах. В 6 глазах (27,3%) диагностирована полная деструкция слоя фоторецепторов, в 10 глазах (45,4%) — частичная, в 6 глазах (27,3%) слой фоторецепторов был сохранён (рис. 1 а, б, в).
Рис. 1. Состояние слоя фоторецепторов у детей с пигментным ретинитом и кистовидным макулярным отёком по данным оптической когерентной томографии: а — слой фоторецепторов сохранён; b — частичная деструкция, c — полная деструкция.
Fig.1. The state of the photoreceptor layer in children with retinitis pigmentosa and cystic macular edema according to optical coherence tomography data: a — the photoreceptor layer is preserved; b — partial destruction; c — complete destruction.
В раннем периоде (1–5 дней, в среднем 2,3±1,4) после 24 из 50 (48%) введений выявлено уменьшение высоты КМО на 36–275 мкм (в среднем на 140±94,6 мкм). В остальных случаях высота КМО не изменилась.
Анализ отдалённой эффективности отдельных введений показал, что уменьшение КМО наблюдалось в 32 случаях (55,2%) на 30–503 мкм (в среднем 159,2±118,1 мкм) в сроки повторного обследования от 33 до 322 дней (в среднем 97,4±81,1 дней). Через 42–291 день (в среднем 113,5±92,4 дня) после 16 введений (27,6%) высота КМО существенно не изменилась. В 10 случаях (17,2%) выявлено увеличение КМО на 45–491 мкм (в среднем 162,5±160,5 мкм) в сроки от 39 до 272 дней (в среднем 122,2±82,7 дня) после введения.
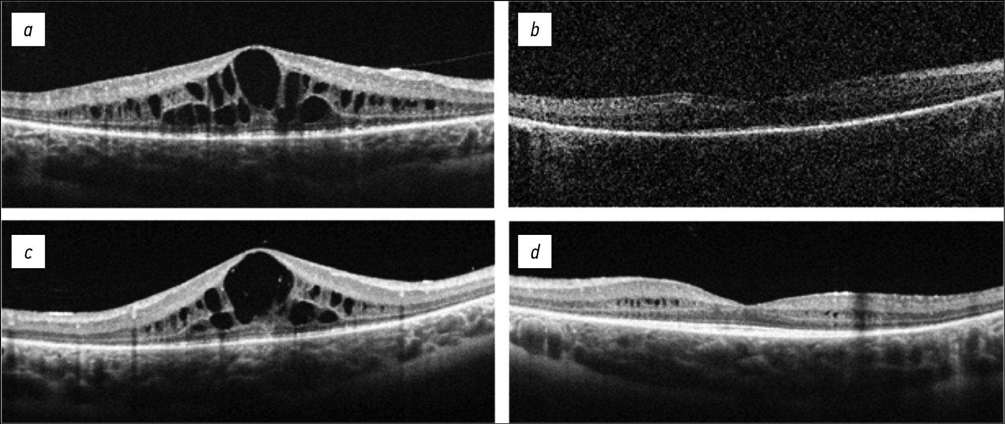
Полная резорбция КМО наблюдалась у двух детей: у одного ребёнка в одном глазу после 10 введений (рис. 2 а, б), в парном глазу отмечено значительное уменьшение КМО (рис. 2 в, г). У второго ребёнка после одного введения резорбировались мелкие кистовидные полости парафовеально. Суммарно в конце периода наблюдения в 10 глазах (45,5%) отмечено уменьшение высоты или резорбция КМО по сравнению с началом периода наблюдения, в 12 (54,5%) глазах высота отёка существенно не изменилась.
Рис. 2. Пациент П. 16 лет. Результаты оптической когерентной томографии. Правый глаз а и левый b глаз до начала введения триамцинолона, Кистовидные полости в наружном и внутреннем ядерных слоях сетчатки. Центральная толщина сетчатки справа 618 мкм, слева 626 мкм после 10 введений тримцинолона. Справа c — резорбция макулярного отёка, ЦТС 272 мкм. Слева d — небольшие кистовидные полости в слоях сетчатки парафовеально, ЦТС 201 мкм.
Fig.2. Patient P., 16 years old. Optical coherence tomography results. Right а and left b eyes before the start of injections of trimcinolone, Cystoid cavities in the outer and inner nuclear layers of the retina. The central retinal thickness is 618 μm on the right, 626 μm on the left after ten injections of trimcinolone. Right c resorption of macular edema, CRT 272 μm. Left d — small cyst-like cavities in the layers of the retina, parafoveal, CRT 201 μm.
Связи резорбции КМО с его высотой и длительностью существования выявлено не было. Кроме того, не отмечено преимущественной резорбции кистовидных полостей в наружном или внутреннем ядерном слое сетчатки.
У двух детей (18%) после двух введений триамцинолона в обоих глазах возникла офтальмогипертензия. У одного ребёнка внутриглазное давление (ВГД) нормализовалось на фоне гипотнезивной терапии. У другого ребёнка в связи с некомпенсацией ВГД на максимальном гипотензивном режиме проведена синустрабекулэктомия в обоих глазах, достигнута нормализация ВГД. Обоим пациентам, учитывая положительный эффект в отношении КМО, продолжено введение препарата. Некомпенсации ВГД в дальнейшем отмечено не было.
Острота зрения до введения триамцинолона варьировала от 0,04 до 0,9. Прослежена связь остроты зрения с состоянием слоя фоторецепторов: при сохранном слое она составила от 0,8 до 0,9 (в среднем 0,85±0,05), при частичной деструкции — от 0,3 до 0,6 (в среднем 0,5±0,1), при полной деструкции — 0,04 до 0,4 (в среднем 0,2±0,1).
В конце периода наблюдения острота зрения не изменилась в 20 глазах (90,9%), в двух глазах (9,1%) отмечено повышение остроты зрения на 1–2 строчки. Повышение остроты зрения во всех случаях было у пациентов с уменьшением КМО по данным ОКТ.
Обсуждение
КМО является серьёзным осложнением, возникающим у значительного числа пациентов с ПР. В настоящее время большинство офтальмологов считают показанным лечение КМО, ассоциированного с ПР, ввиду необратимого повреждения фоторецепторов при персистенции отёка.
В настоящее время препаратами первого выбора, как правило, являются ингибиторы КА. Их эффективность у пациентов с КМО и ПР, по данным разных авторов, варьирует от 41 до 100% [11, 12, 29, 32], при этом в 20–50% случаев через 2–9 месяцев после начала терапии возникает рецидив КМО [11, 27].
При неэффективности ингибиторов КА в большинстве случаев назначаются кортикостероиды. Действие кортикостероидов при КМО обусловлено ингибированием синтеза провоспалительных молекул (цитокинов, простагландинов, лейкотриенов, эндотелиального сосудистого фактора роста, молекул межклеточной адгезии), подавлением миграции и пролиферации воспалительных клеток, супрессией активированной микроглии, что ведёт к уменьшению проницаемости сосудов и восстановлению гематоретинального барьера [5, 10]. Исследования эффективности и безопасности кортикостероидов у пациентов с КМО при ПР немногочисленны [5, 7–10, 13–15, 21, 24, 30, 31], а в детском возрасте не проводились.
Преимуществом субтенонового введения триамцинолона является создание депо препарата в области заднего полюса глаза при отсутствии вскрытия глазного яблока и, следовательно, риска таких осложнений как эндофтальмит и отслойка сетчатки. Единичные исследования свидетельствуют об эффективности метода у пациентов с ПР и рефрактерным к ингибиторам КА КМО.
Так, В. Karasu (2020) через 3 месяца после введения триамцинолона 42 пациентам (48 глаз с КМО) отметил значительное улучшение ОЗ и уменьшение ЦТС (с 591,45±209,55 до 270,83±95,48 мкм). Количество инъекций составило от 1 до 3 (в среднем 1,12). Рецидив КМО в конце 3-го месяца наблюдения произошёл в 14% глаз. Ни в одном случае не зарегистрировано таких осложнений, как глаукома и катаракта [10]. Описан клинический случай резорбции КМО после субтенонового введения триамцинолона, однако, через 8 месяцев авторами наблюдали рецидив КМО, что потребовало повторного введения препарата [14].
Проведённый нами анализ результатов субтенонового введения в небольшой группе детей с ПР и КМО, рефрактерном к ингибиторам КА, свидетельствует об удовлетворительной эффективности данного метода лечения. Так, в 45,5% глаз отмечено уменьшение высоты КМО, однако, полная его резорбция достигнута лишь в 9,1%. В 54,5% случаев существенной динамики КМО не наблюдалось. Повышение остроты зрения произошло только в двух глазах из 10 (20%) с уменьшением КМО.
Следует отметить ограниченную продолжительность действия триамцинолона, что требует повторных инъекций и сопряжено с риском осложнений, в первую очередь, повышения ВГД, развития или прогрессирования катаракты. Редкими осложнениями могут быть повреждение диска зрительного нерва, гематома или абсцесс орбиты.
Однако, несмотря на большую чувствительность детей к гипертензионному действию кортикостероидов, повышение ВГД отмечено нами в 18% случаев, что соответствует частоте, наблюдаемой у взрослых пациентов (0–50%) [5, 8, 9, 15].
Нам не удалось установить факторы прогноза уменьшения или резорбции КМО, что, возможно, связано с небольшим числом исследуемых пациентов. Кроме того, недостатком нашего исследования является его ретроспективный характер и различные сроки осмотров пациентов после введения, что не позволило чётко проследить продолжительность действия триамцинолона. Вместе с тем, необходимо отметить широкую вариабельность эффекта однократного введения: от 1 до 11 месяцев (срок наблюдения), что отмечалось и другими исследователями [10, 14].
Заключение
Субтеноновое введение триамцинолона детям с КМО на фоне ПР является достаточно эффективным и безопасным способом лечения. Препарат быть рекомендован при неэффективности ингибиторов КА для уменьшения или резорбции отёка, сохранения или улучшения зрительных функций. Учитывая, что действие триамцинолона непродолжительно и требуется его повторное введение, а резорбция КМО и повышение остроты зрения не всегда достижимы, необходимо продолжить поиск методов более эффективного лечения.
Дополнительная информация / Disclaimers
Конфликт интересов. Авторы заявляют об отсутствии конфликта интересов.
Conflict of interest. The authors declare no conflict of interest.
Финансирование. Финансирование не имело спонсорской поддержки.
Acknowledgements. The study had no sponsorship.
About the authors
Lyudmila A. Katargina
Helmholtz National Medical Research Center of Eye Diseases
Email: katargina@igb.ru
MD, PhD, professor
Russian Federation, MoscowEkaterina V. Denisova
Helmholtz National Medical Research Center of Eye Diseases
Author for correspondence.
Email: deale_2006@inbox.ru
ORCID iD: 0000-0003-3735-6249
SPIN-code: 4111-4330
MD, PhD
Russian Federation, MoscowMaria A. Khrabrova
Helmholtz National Medical Research Center of Eye Diseases
Email: deale_2006@inbox.ru
ORCID iD: 0000-0001-9422-4264
MD, PhD student
Russian Federation, MoscowNatalia A. Osipova
Helmholtz National Medical Research Center of Eye Diseases
Email: natashamma@mail.ru
ORCID iD: 0000-0002-3151-6910
MD, PhD
Russian Federation, MoscowReferences
- Hamel C. Retinitis pigmentosa. Orphanet J Rare Dis. 2006;1:40. doi: 10.1186/1750-1172-1-40
- Verbakel SK, van Huet RA, Boon CJ, et al. Non-syndromic retinitis pigmentosa. Prog Retin Eye Res. 2018;66:157–186. doi: 10.1016/j.preteyeres.2018.03.005
- Hajali M, Fishman GA. The prevalence of cystoid macular oedema on optical coherence tomography in retinitis pigmentosa patients without cystic changes on fundus examination. Eye (Lond). 2008;23(4):915–919. doi: 10.1038/eye.2008.110
- Strong S, Liew G, Michaelides M. Retinitis pigmentosa-associated cystoid macularoedema: pathogenesis and avenues of intervention. Br J Ophthalmol. 2017;101(1):31–37. doi: 10.1136/bjophthalmol-2016-309376
- Barge S, Rothwell R, Sepúlveda P, et al. Intravitreal and subtenon depot triamcinolone as treatment of retinitis pigmentosa associated cystoid macular edema. Case Rep Ophthalmol Med. 2013;2013:591681. doi: 10.1155/2013/591681
- Artunay O, Yuzbasioglu E, Rasier R, et al. Intravitreal ranibizumab in the treatment of cystoid macularedema associated with retinitis pigmentosa. J Ocul Pharmacol Ther. 2009;25(6):545–550. doi: 10.1089/jop.2010.0044
- Giusti C, Forte R, Vingolo EM. Deflazacort treatmentof cystoid macular edema in patients affected by Retinitis Pigmentosa: a pilot study. Eur Rev Med Pharmacol Sci. 2002;6(1):1–8.
- Scorolli L, Morara M, Meduri A. Treatment of cystoidmacular edema in retinitis pigmentosa with intravitreal triamcinolone. Arch Ophthalmol. 2007;125(6):759–764. doi: 10.1001/archopht.125.6.759
- Ozdemir H, Karacorlu M, Karacorlu S. Intravitreal triamcinolone acetonide for treatment of cystoid macular oedema in patients with retinitis pigmentosa. Acta Ophthalmol Scand. 2005;83(2):248–251. doi: 10.1111/j.1600-0420.2005.00395.x
- Karasu B. Short-term outcomes of subtenon triamcinolone acetonide injections in patients with retinitis pigmentosa-associated cystoid macular edema unresponsive to carbonic anhydrase inhibitors. Int Ophthalmol. 2019;40(3):677–687. doi: 10.1007/s10792-019-01228-z
- Apushkin MA, Fishman GA, Grover S, et al. Rebound of cystoid macular edema with continued use of acetazolamide in patients with retinitis pigmentosa. Retina. 2007;27(8):1112–1118. doi: 10.1097/IAE.0b013e31805f6b79
- Liew G, Moore AT, Webster AR, et al. Efficacy and prognostic factors of response to carbonic anhydrase inhibitors in management of cystoid macular edema in retinitis pigmentosa. Invest Ophthalmol Vis Sci. 2015;56(3):1531–1536. doi: 10.1167/iovs.14-15995
- Kitahata S, Hirami Y, Takagi S, et al. Efficacy of additional topical betamethasone in persistent cystoid macular oedema after carbonic anhydrase inhibitor treatments in retinitis pigmentosa. BMJ Open Ophthalmol. 2018;3(1):e000107. doi: 10.1136/bmjophth-2017-000107
- Schaal Y, Hondur AM, Tezel TH. Subtenon triamcinolone for cystoid macular edema due to retinitis pigmentosa unresponsive to oral acetazolamide. Can J Ophthalmol. 2016;51(4):e113–115. doi: 10.1016/j.jcjo.2015.12.021
- Saraiva VS, Sallum JM, Farah ME. Treatment of cystoid macular edema related to retinitis pigmentosa with intravitreal triamcinolone acetonide. Ophthalmic Surg Lasers Imaging. 2003;34(5):398–400. doi: 10.3928/1542-8877-20030901-11
- Fishman GA, Apushkin MA. Continued use of dorzolamide for the treatment of cystoid macular oedema in patients with retinitis pigmentosa. Br J Ophthalmol. 2007;91(6):743–745. doi: 10.1136/bjo.2006.107466
- Genead MA, Fishman GA. Efficacy of sustained topical dorzolamide therapy for cystic macular lesions in patients with retinitis pigmentosa and usher syndrome. Arch Ophthalmol. 2010;128(9):1146–1150. doi: 10.1001/archophthalmol.2010.172
- Grover S, Apushkin MA, Fishman GA. Topical dorzolamide for the treatment of cystoid macular edema in patients with retinitis pigmentosa. Am J Ophthalmol. 2006;141(5):850–858. doi: 10.1016/j.ajo.2005.12.030
- Hagiwara A, Yamamoto S, Ogata K, et al. Macular abnormalities in patients with retinitis pigmentosa: prevalence on OCT examination and outcomes of vitreoretinal surgery. Acta Ophthalmol. 2011;89(2):122–125. doi: 10.1111/j.1755-3768.2010.01866.x
- Ikeda Y, Hisatomi T, Yoshida N, et al. The clinical efficacy of a topical dorzolamide in the management of cystoid macular edema in patients with retinitis pigmentosa. Graefes Arch Clin Exp Ophthalmol. 2012;250(6):809–814. doi: 10.1007/s00417-011-1904-5
- Mansour AM, Sheheitli H, Kucukerdonmez C, et al. Intravitreal dexamethasone implant in retinitis pigmentosa–related cystoid macular edema. Retina. 2018;38(2):413–423. doi: 10.1097/IAE.0000000000001542
- Melo GB, Farah ME, Aggio FB. Intravitreal injection of bevacizumab for cystoid macular edema in retinitis pigmentosa. Acta Ophthalmol Scand. 2007;85(4):461–443. doi: 10.1111/j.1600-0420.2006.00872.x
- Moustafa GA, Moschos MM. Intravitreal aflibercept (Eylea) injection for cystoid macular edema secondary to retinitis pigmentosa — a first case report and short review of the literature. BMC Ophthalmol. 2015;15:44. doi: 10.1186/s12886-015-0033-z
- Park UC, Park JH, Ma DJ, et al. A randomized paired-eye trial of intravitreal dexamethasone implant for cystoid macular edema in retinitis pigmentosa. Retina. 2019;40(7):1359–1366. doi: 10.1097/IAE.0000000000002589
- Querques G, Prascina F, Iaculli C, Noci ND. Intravitreal pegaptanib sodium (Macugen) for refractory cystoid macular edema in pericentral retinitis pigmentosa. Int Ophthalmol. 2007;29(2):103–107. doi: 10.1007/s10792-007-9175-1
- Garcia-Arumi J, Martinez V, Sararols L, et al. Vitreoretinal surgery for cystoid macular edema associatedwith retinitis pigmentosa. Ophthalmology. 2003;110(6):1164–1169. doi: 10.1016/S0161-6420(03)00259-8
- Fishman GA, Gilbert LD, Fiscella RG, et al. Acetazolamide for treatment of chronic macularedema in retinitis pigmentosa. Arch Ophthalmol. 1989;107(10):1445–1452. doi: 10.1001/archopht.1989.01070020519031
- Scruggs BA, Chen CV, Pfeifer W, et al. Efficacy of topical brinzolamide in children with retinal dystrophies. Ophthalmic Genet. 2019;40(4):350–358. doi: 10.1080/13816810.2019.1660381
- Fishman GA, Gilbert LD, Anderson RJ, et al. Effect of methazolamide on chronic macular edema in patients with retinitis pigmentosa. Ophthalmology. 1994;101(4):687–693. doi: 10.1016/s0161-6420(94)31277-2
- Srour M, Querques G, Leveziel N, et al. Intravitreal dexamethasone implant (Ozurdex) for macular edema secondary to retinitis pigmentosa Graefes Arch Clin Exp Ophthalmol. 2012;251(6):1501–1506. doi: 10.1007/s00417-012-2249-4
- Sudhalkar A, Kodjikian L, Borse N. Intravitreal dexamethasone implant for recalcitrant cystoid macular edema secondary to retinitis pigmentosa: a pilot study. Graefes Arch Clin Exp Ophthalmol. 2017;255(7):1369–1374. doi: 10.1007/s00417-017-3660-7
- Chung H, Hwang J, Kim J. Optical coherence tomography in the diagnosis and monitoring of cystoid macular edema in patients with retinitis. Retina. 2006;26(8):922–927. doi: 10.1097/01.iae.0000250008.83779.23
Supplementary files




