Rhino-orbital mucormycosis following liver transplantation in a child with COVID-19 (a review of the literature and clinical observation)
- Authors: Zakirova G.Z.1,2, Gajnutdinova R.F.2
-
Affiliations:
- Сhildren’s Clinical Hospital
- Kazan state medical university
- Issue: Vol 18, No 3 (2023)
- Pages: 163-172
- Section: Reviews
- Published: 22.10.2023
- URL: https://ruspoj.com/1993-1859/article/view/430323
- DOI: https://doi.org/10.17816/rpoj430323
- ID: 430323
Cite item
Full Text
Abstract
The incidence of mucormycosis, an opportunistic infection, has been increasing worldwide in recent years. This is primarily due to the spread of coronavirus disease 2019 and the increase in the number of at-risk populations. Risk groups include patients with conditions or diseases, such as diabetes, neutropenia, organ or stem cell transplantation (on immunosuppressive therapy), trauma and burns, hematological disorders, and steroid therapy. The basis of successful treatment includes early diagnosis based on the detection of the first nonspecific signs of the disease in patients at risk, rapid verification of pathogens, earliest possible start of etiotropic therapy, and prompt and aggressive surgical treatment (necrectomy). This study presents a clinical case of rhino-orbital mucormycosis in a child at risk. The patient had Alagille syndrome and was followed up from the age of 2 years. The syndrome is characterized by an insufficient number or the small diameter of the intrahepatic bile ducts that remove bile from the liver and lead to the development of liver cirrhosis. Liver transplantation is the only radical treatment method for liver cirrhosis in the absence of gross defects. By the age of 8 years, the syndrome led to liver cirrhosis, and in 2020, hepatectomy was performed, including orthotopic transplantation of a liver fragment from a related donor (aunt). The patient subsequently received immunosuppressive therapy. The article also described the changes in the clinic and imaging methods and stages of treatment by day. Clinical manifestations of mucormycosis appeared on day 6 of hospitalization, that is, edema of the left lower eyelid. The severe general condition of the child did not allow for early surgical treatment with the excision of necrotic tissues. Unfortunately, the patient died. Thus, possible errors in diagnosis and treatment were analyzed.
Full Text
ВВЕДЕНИЕ
Мукормикоз — заболевание, вызванное грибами порядка Mucorales. Наиболее распространёнными видами, вызывающими мукормикоз у человека, являются Rhizopus spp., Mucor spp. и Lichtheimia spp. (ранее представители родов Absidia и Mycocladus) [1]. Заболевание является редким. Относится к грибковым оппортунистическим инфекциям. Предрасполагающими факторами к развитию мукормикоза у человека являются диабет, нейтропения, трансплантация органов или стволовых клеток (при иммуносупрессивной терапии), травмы и ожоги, гематологические нарушения, употребление стероидов, метаболический ацидоз, внутривенное введение наркотиков, почечная недостаточность, применение антибиотиков широкого спектра действия, увеличение уровня железа в организме, недоедание, употребление вориконазола [2–4].
Заболеваемость мукормикозом в последние десятилетия увеличивается в основном за счёт роста числа больных с тяжёлым иммунодефицитом [5, 6]. В настоящее время случаи мукормикоза встречаются во всех странах мира, однако, существуют различия в эпидемиологии между развитыми и развивающимися странами. В развитых странах заболевание остаётся редкостью и в основном наблюдается у пациентов с гемобластозами. Напротив, в развивающихся странах, особенно в Индии, мукормикоз встречается чаще, и заболевание возникает преимущественно у пациентов с неконтролируемым сахарным диабетом или травмой [7].
Статистика заболеваемости, как и клиника, до 2022 года была представлена только в зарубежной литературе. По состоянию на 7 июня 2021 г. в США зарегистрировано 28 252 случая мукормикоза из 28 штатов, также описаны 24 370 случаев, связанных с COVID-19, и 17 601 случай, связанный с сахарным диабетом [8]. Соответственно, распространённость мукормикоза колеблется от 0,01 до 0,2 на 100 000 населения в Европе и Соединенных Штатах Америки, но в Индии она намного выше — 14 на 100 000 населения [5, 7, 9].
В 2022 году в российской научной литературе возник большой интерес к изучению данного заболевания, что связано с всплеском заболеваемости мукормикозом, спровоцированным пандемией новой мутацией инфекции COVID-19 [10–15]. Разработаны клинические рекомендации по диагностике и лечению глазных появлений COVID-19, включающие диагностику и лечение мукормикоза [16].
Наиболее распространёнными клиническими проявлениями заболевания являются риноорбитоцеребральный (34%), лёгочный (21%), кожный (20%) и диссеминированный (14%) мукормикоз [17].
Мукормикоз у детей был недавно проанализирован в двух глобальных исследованиях. Основными состояниями, приводящими к развитию мукормикоза, были гемобластозы (46%), другие злокачественные новообразования (6,3%), трансплантация стволовых клеток (15,9%). Кроме того, факторами риска заболевания являются трансплантация паренхиматозных органов, травма (операция) и сахарный диабет (по 4,8%) каждый этих факторов)) и ряд других заболеваний (7,9%). Не было обнаружено основного заболевания в 9,5% случаев. Нейтропения зарегистрирована у 46% больных. Основными очагами инфекции при мукормикозе у детей были лёгкие (19%), кожа и мягкие ткани (19%), околоносовые пазухи или риноорбитальная (15,8%) и риноцеребральная области (7,9%). Диссеминированная инфекция присутствовала в 38,1% [17, 18].
В последнее время триггером данной оппортунистической инфекции становится COVID-19. Встречаются публикации о развитии мукормикоза на фоне или после новой мутировавшей инфекции, вызвавшей волну пандемии во всем мире [17, 19].
Следует отметить, что для мукормикоза характерна обширная ангиоинвазия, приводящая к тромбозу сосудов и некрозу тканей [17, 18]. Ангиоинвазия приводит к гематогенной диссеминации возбудителя, а некроз поражённых тканей препятствует проникновению иммунных клеток и противогрибковых препаратов в очаг инфекции [20]. Некоторые грибы порядка Mucorales, такие как R. oryzae, имеют пониженную восприимчивость к врождённому иммунитету хозяина по сравнению с другими грибами, такими как Aspergillus или Candida, что затрудняет их лечение и приводит к повышенной смертности [17, 21–24].
Основами диагностики мукормикоза должны являться высокая настороженность, выявление предрасполагающих факторов и своевременная оценка клинических проявлений, особенно у пациентов группы риска. Если говорить о риноорбитальном мукормикозе, то у пациентов из групп риска следует обращать особое внимание на следующие признаки и симптомы: паралич черепных нервов, диплопию, боль в придаточных пазухах носа, экзофтальм, периорбитальный отёк, синдром верхушки орбиты и язвы нёба. Эти неспецифические проявления могут быть первыми признаками мукормикоза, тогда пациент нуждается в дообследовании в кратчайшие сроки.
Для клинициста важно иметь настороженность у пациентов групп риска, поскольку ранняя диагностика может спасти жизнь. Ранняя диагностика имеет решающее значение для быстрого начала терапии, необходимой для предотвращения прогрессирующей инвазии тканей и её разрушительных последствий, сведения к минимуму эффекта обезображивающей корректирующей хирургии, улучшения результатов и выживаемости [25, 26]. Отсрочка эффективной терапии на основе амфотерицина В у пациентов с онкогематологическими заболеваниями более чем на 5 дней приводила почти к двукратному увеличению 12-недельной смертности, т.е. до 82,9% по сравнению с 48,6% у тех, кто начал лечение немедленно [27].
Риноорбитоцеребральная инфекция обычно возникает из придаточных пазух носа с разрушением костей и последующей инвазией в орбиту, глаза и головной мозг. Могут присутствовать односторонний отёк лица, экзофтальм, нёбный или пальпебральный свищ, переходящий в некроз [28–31].
Смертность от всех причин при мукормикозе колеблется от 40% до 80%, показатели зависят от основных состояний и очагов инфекции [5, 32–35]. Самые высокие показатели выживаемости отмечаются у пациентов со здоровым иммунным статусом и без сопутствующих заболеваний. Самый неблагоприятный прогноз наблюдается у пациентов с гематологическими злокачественными новообразованиями и реципиентов трансплантации костного мозга, а также у пациентов с обширными ожогами [5, 35]. Диссеминированное заболевание, особенно с поражением ЦНС, часто связано со смертностью выше 80% [5]. Более низкая смертность наблюдается при локализованной инфекции носовых пазух или кожи, когда возможна ранняя диагностика на основе визуализации тканей, а хирургическая обработка может привести к излечению. Смертность также высока у новорождённых и других пациентов с ослабленным иммунитетом при мукормикозе желудочно-кишечного тракта, что, вероятно, связано с задержкой диагностики и полимикробным сепсисом. Как правило, улучшение выживаемости связано с более ранней диагностикой и применением ранних междисциплинарных подходов к лечению, включающих агрессивную хирургическую обработку [32, 36–38]. Несмотря на широкие диагностические возможности и доступность большого количества вариантов лечения, показатели выживаемости при мукормикозе остаются низкими. Основу лечения составляет агрессивная хирургическая обработка, а также противогрибковая терапия и устранение основных предрасполагающих факторов [32].
Оптимальные дозы противогрибковых препаратов, как и использование самих препаратов в лечении мукормикоза, до сих пор являются предметом споров. В рекомендациях Европейской конференции по инфекциям при лейкемии (ECIL-6) 2016 года, а также в руководствах ESCMID/ECMM рекомендуется использовать липидную форму амфотерицина В как препарат первой линии при мукормикозе. Рекомендуемая доза липосомального амфотерицина В составляет 5 мг/кг/день и достигает 10 мг/кг/день при инфекциях центральной нервной системы [1, 39]. В частности, липосомальные формы амфотерицина В предпочтительнее классических фунгицидных препаратов, поскольку они имеют менее выраженные побочные эффекты и гораздо лучше переносятся пациентами. Было показано, что липосомальный амфотерицин В вызывает меньше побочных реакций, чем липидный комплекс амфотерицина В, хотя последний намного дешевле. Также для лечения мукормикоза предлагается применение триазолов, таких как позаконазол и изавуконазол. Изавуконазол представляет собой недавно разработанный триазол с широким спектром противогрибковой активности, включая Mucorales. Изавуконазол считается альтернативой амфотерицину В как препарат первой линии при мукормикозе [40]. Другим вариантом лечения, предложенным ECIL-6, является комбинация липидного амфотерицина В и каспофунгина или позаконазола [40].
Анализируя эффективность монотерапии в сравнении с комбинированной терапией антибактериальными препаратами нельзя дать однозначный ответ. В литературе представлены как исследования, отрицающие эффективность комбинированной терапии в сравнении с монотерапией, так и подтверждающие её. У пациентов с гематологическими злокачественными заболеваниями (106 человек) эффективность комбинированной терапии по сравнению с монотерапией не была доказана [39]. В то же время ретроспективное исследование 41 случая риноорбитоцеребрального мукормиоза показало улучшение выживаемости пациентов, получавших комбинацию амфотерицина В с каспофунгином [41].
Анализ литературы также показал, что продолжительность лечения активными противогрибковыми средствами точно не определена. Все авторы однозначно отмечают необходимость проведения хирургического лечения при развитии некротических изменений, вызываемых мукормикозом. Хирургия, когда она необходима и возможна, должна быть очень агрессивной. Следует удалять не только некротические ткани, но и окружающие инфицированные здоровые ткани, так как скорость распространения инфекции гифами Mucorales огромна. Особую ценность для выздоровления хирургическое вмешательство имеет при риноорбитоцеребральной инфекции и инфекции мягких тканей.
Группа авторов из Аризонского университета США проанализировала 4 случая хирургического лечения риноорбитального мукормикоза у взрослых пациентов с сахарным диабетом. При этом отметили выживаемость 50% пациентов в срок более 18–24 месяцев. Всем пациентам проведено несколько хирургических операций на придаточных пазухах носа отоларингологами совместно с нейрохирургами, из них двум пациентам проведена экзентерация орбиты. Операции проведены в день установления диагноза [37].
Таким образом, ключом к успешной терапии этого быстро прогрессирующего молниеносного заболевания является быстрое начало междисциплинарного лечения. Данные пациенты должны госпитализироваться в центры третьего уровня с наличием специалистов в области отоларингологии, офтальмологии, нейрохирургии и инфекционных заболеваний для проведения эффективного и оперативного лечения. Быстрое начало агрессивного многогранного хирургического и медикаментозного лечения может улучшить общий прогноз.
Клиническое наблюдение
Пациент Ш., 10 лет. Больной с двух лет наблюдался с диагнозом синдром Алажиля. Синдром характеризуется недостаточным количеством или малым диаметром внутрипечёночных желчных протоков, которые выводят желчь из печени. Синдром Алажиля включает сочетание не менее трёх из пяти основных признаков, таких как хронический холестаз, сердечно-сосудистые дефекты, аномалии позвоночника, дефекты глаз, характерные черепно-лицевые признаки. Единственным радикальным методом лечения при формировании цирроза печени и отсутствии грубых пороков является трансплантация печени.
К возрасту 8 лет синдром привёл к циррозу печени, в связи с чем в 2020 году больному выполнена гепатэктомия, ортотопическая трансплантация фрагмента печени от родственного донора (тёти). В дальнейшем получал иммуносупрессивную терапию.
Больной поступил в нашу клинику в июле 2021 г. в связи с резким ухудшением общего состояния (подъём температуры тела, рвота, жидкий стул, одышка, вялость, слабость). Был госпитализирован в диагностическое отделение. Через 2 дня в мазках методом ПЦР обнаружен вирус SARS nCoV2, в связи с чем пациент переведён в ковидный госпиталь нашей клиники.
В результате мультидисциплинарного консилиума выставлен диагноз: мультивоспалительный синдром, ассоциированный с SARS COV2 (поражение почек и лёгких). Течение осложнялось сочетанием с микробным процессом и тромботической микроангиопатией.
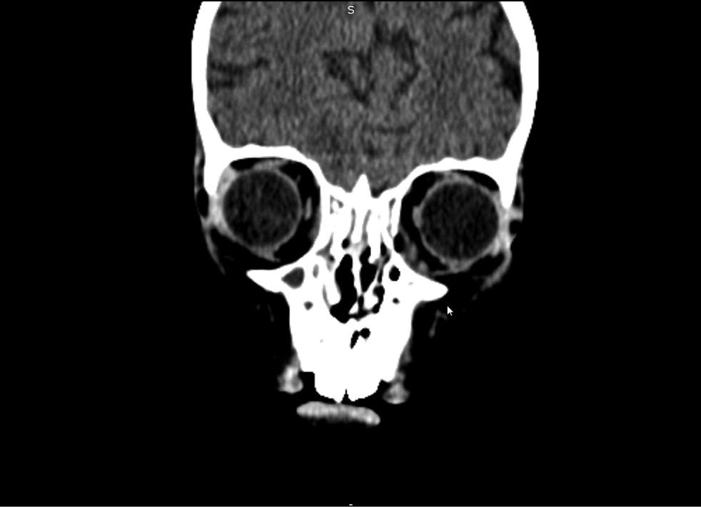
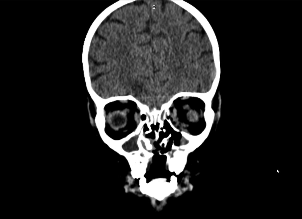
Клинические проявления риноорбитального мукормикоза появились на 6-й день госпитализации в виде отёка нижнего века слева. При этом был установлен абсцесс нижнего века. Назначена местная противовоспалительная терапия. Системно пациент получал тигециклин (1,2 мг/ кг), метронидазол, каспофунгин (70 мг/м2). Однако назначенная терапия не привела к положительной динамике заболевания, в связи с чем на 9-й день госпитализации проведена рентгеновская компьютерная томография (РКТ) орбит, придаточных пазух носа (ППН), головного мозга. Обнаружено патологическое содержимое вдоль нижнемедиальной поверхности левой орбиты с участком истончения медиальной стенки на этом уровне (воспалительные изменения), кости носа не изменены (рис. 1).
Рис. 1. Рентгеновская компьютерная томография орбит, придаточных пазух носа, головного мозга на 9-й день госпитализации.
Fig. 1. X-ray computed tomography of the orbits, paranasal sinuses, and brain on the day 9 of hospitalization.
Обнаруживалось патологическое содержимое вдоль нижнемедиальной поверхности левой орбиты с участком истончения медиальной стенки. При этом клинически были только признаки абсцесса нижнего века, в связи с чем принято решение о хирургическом лечении абсцесса. Хирургическое лечение сразу после выявления патологического процесса в орбите не проведено из-за высокого риска анестезии на фоне респираторного и инфекционно-токсического синдрома. Состояние ребёнка динамически ухудшалось с прогрессированием местной воспалительной реакции в области нижнего века.
Состояние ребёнка позволило лишь на 14-й день произвести вскрытие и дренирование абсцесса нижнего века. При вскрытии абсцесса обнаружен глубокий лизис тканей орбиты. После вскрытия абсцесса нижнего века отмечалась положительная динамика, воспалительные явления стихали, послеоперационная рана зажила.
На 18-й день госпитализации появилось нарушение носового дыхания слева. Отоларингологом выявлено плотное патологическое образование в левой носовой полости, спаянное со слизистой носа, которое расценено как сгусток. Обнаружен дефект мягких тканей твёрдого нёба слева, оголена носовая кость. Системная антибактериальная терапия изменена на сочетание цефепима и амикацина, добавлен препарат, содержащий рекомбинантные гуманизированные моноклональные антитела (IgG1) — паливизумаб (Синагис).
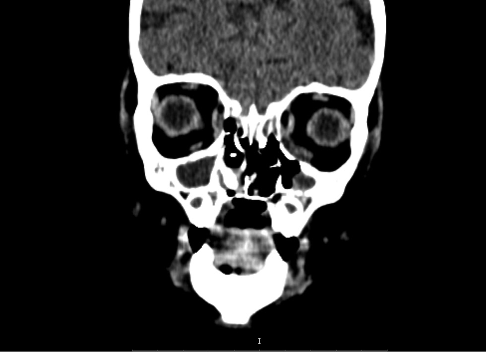
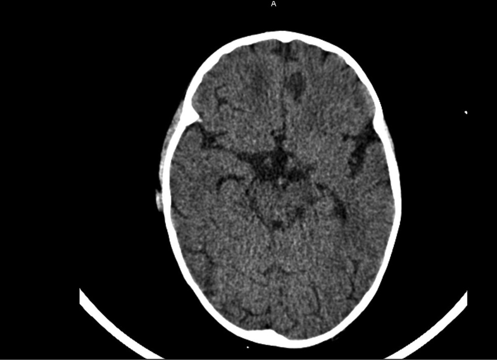
Повторная РКТ на 20-й день госпитализации показала признаки множественных очагов деструкции медиальных стенок орбит, костей носовой полости, твёрдого нёба, альвеолярных отростков верхнечелюстной кости, дефект мягкого неба. Таким образом, было больше данных, свидетельствующих о некротических изменениях, субпериостальный абсцесс крылонебной ямки и орбиты (рис. 2). Появился гиподенсивный очаг в правой лобной доле (энцефалит?) (рис. 3).
Рис. 2. Рентгеновская компьютерная томография орбит, придаточных пазух носа, головного мозга на 20-й день госпитализации.
Fig. 2. X-ray computed tomography of the orbits, paranasal sinuses, and brain on day 20 of hospitalization.
Рис. 3. Рентгеновская компьютерная томография головного мозга с очагом на 20-й день госпитализации.
Fig. 3. X-ray computed tomography of the brain with a focus on the day 20 of hospitalization.
Патологическое образование из левого носового хода удалено, взят мазок на грибы и флору. Кровь и гистологический материал из патологических очагов отправлен на верификацию в НИИ медицинской микологии им. П.Н. Кашкина, г. Санкт-Петербург. На 40-й день госпитализации верифицирован мукормикоз.
Повторный отёк век появился через 20 дней после вскрытия абсцесса (34-й день госпитализации). Появилась фебрильная лихорадка. При этом выявлено генерализованное поражение всех околоносовых пазух, орбиты, глазных мышц мукормикозом, не исключена инфильтрация мукормикозом окружающих мягких тканей, в частности, подглазничной клетчатки и распространение мукормикоза в головной мозг.
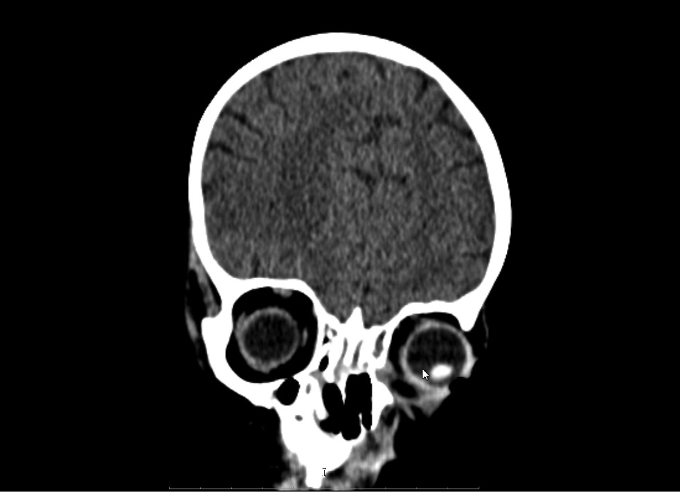
Рентгеновскую компьютерную томографию проводили в динамике на 36, 47, 63-й дни госпитализации. РКТ орбит и придаточных пазух носа выявила признаки множественных обширных очагов деструкции медиальных стенок орбит, костей носовой полости, твёрдого нёба, альвеолярных отростков верхнечелюстной кости, дефект мягкого нёба (рис. 4, 5). С помощью магнитно-резонансной томографии орбит, придаточных пазух носа, головного мозга на 63-й день госпитализации обнаружены признаки множественных обширных очагов деструкции медиальных стенок орбит, костей носовой полости, твёрдого нёба, альвеолярных отростков верхнечелюстной кости, дефект мягкого нёба (рис. 6, 7).
Рис. 4. Рентгеновская компьютерная томография орбит, придаточных пазух носа, головного мозга на 36-й день госпитализации.
Fig. 4. X-ray computed tomography of the orbits, paranasal sinuses, and brain on day 36 of hospitalization.
Рис. 5. Рентгеновская компьютерная томография орбит, придаточных пазух носа, головного мозга на 47-й день госпитализации.
Fig. 5. X-ray computed tomography of the orbits, paranasal sinuses, and brain on the day 47 of hospitalization.
Рис. 6. Магнитно-резонансная томография орбит, придаточных пазух носа, головного мозга на 63-й день госпитализации в коронарной проекции.
Fig. 6. Magnetic resonance imaging of the orbits, paranasal sinuses, and brain in the coronary projection on the day 63 of hospitalization.
Рис. 7. Магнитно-резонансная томография орбит, придаточных пазух носа, головного мозга на 63-й день госпитализации в аксиальной проекции.
Fig. 7. Magnetic resonance imaging of the orbits, paranasal sinuses, and brain in the axial projection on day 63 of hospitalization.
Была подключена системная терапия липосомальной формой амфотерицина В (Амбиз) и изавуконазол (Креземба).
Хирургическое лечение (некрэктомия), показанное в данном случае и рекомендованное федеральным медицинским центром в ходе телемедицинской консультации, не проведено в связи с высоким риском кровотечения из бассейна внутренней сонной артерии, а также с нестабильным общим состоянием пациента (истощение на фоне антибиотик ассоциированной диареи и нестабильный гемостаз). Однако в дальнейшем проведён эндоскопический осмотр полости носа с некрэктомией, эндовизуализацией. Выявлен некроз полости носа с разрушением анатомических структур: средней и нижней носовых раковин слева, носовой перегородки, латеральной стенки полости носа слева.
К сожалению, пациент скончался (на 62-й день госпитализации).
ЗАКЛЮЧЕНИЕ
Анализируя клинический случай риноорбитального мукормикоза, следует отметить, что заболевание поразило пациента из группы риска. Больной был реципиентом печени, получающим иммуносупрессивную терапию. Усугубила ситуацию перенесённая инфекция COVID-19.
Отмечалось молниеносное развитие некротических изменений мягких и костных тканей риноорбитальной области с 9-го по 20-й день госпитализации. На 9-й день на рентгеновской компьютерной томограмме обнаружено только истончение медиальной стенки левой орбиты. На 20-й день выявлены множественные очаги деструкции костей орбит и придаточных пазух носа. Даже небольшое промедление в проведении хирургического лечения и отказ от проведения некрэктомии, связанные с прогрессивно ухудшающимся общим состоянием ребёнка и высоким риском анестезии на фоне респираторного и инфекционно-токсического синдрома, сыграли роковую роль в судьбе пациента.
Учитывая наличие группы риска по развитию мукормикоза врачи должны иметь высокую настороженность и начинать антимикотическую терапию соответствующими препаратами при первых подозрениях на данную инфекцию, ставящую жизнь пациента под угрозу. Необходимо как можно скорее верифицировать возбудителя и проводить некрэктомию до того, как угрожающая жизни ситуация не зашла так далеко.
ДОПОЛНИТЕЛЬНАЯ ИНФОРМАЦИЯ
Источник финансирования. Авторы заявляют об отсутствии внешнего финансирования при проведении исследования.
Конфликт интересов. Авторы декларируют отсутствие явных и потенциальных конфликтов интересов, связанных с публикацией настоящей статьи.
Вклад авторов. Все авторы подтверждают соответствие своего авторства международным критериям ICMJE (все авторы внесли существенный вклад в разработку концепции, проведение исследования и подготовку статьи, прочли и одобрили финальную версию перед публикацией).
Наибольший вклад распределён следующим образом: Г.З. Закирова — обследование и лечение пациента, обзор литературы, сбор и анализ литературных источников. Р.Ф. Гайнутдинова — анализ данных о пациенте, научное редактирование.
Информированное согласие на публикацию. Авторы получили письменное согласие законных представителей пациента на публикацию медицинских данных и фотографий в журнале Российская педиатрическая офтальмология.
ADDITIONAL INFO
Funding source. This study was not supported by any external sources of funding.
Competing interests. The authors declare that they have no competing interests.
Author contribution. Guzel Z. Zakirova — examination and treatment of the patient, literature review, collection and analysis of literary sources. Raushaniya F. Gainutdinova — analysis of patient data, scientific editing. Thereby, all authors made a substantial contribution to the conception of the work, acquisition, analysis, interpretation of data for the work, drafting and revising the work, final approval of the version to be published and agree to be accountable for all aspects of the work.
Consent for publication. Written consent was obtained from the patient’s parents for publication of relevant medical information and all of accompanying images within the manuscript in Russian Pediatric Ophthalmology.
About the authors
Guzel Z. Zakirova
Сhildren’s Clinical Hospital; Kazan state medical university
Author for correspondence.
Email: guzel-@list.ru
ORCID iD: 0000-0001-7428-9327
MD, Cand. Sci. (Med.)
Russian Federation, Kazan; KazanRaushaniya F. Gajnutdinova
Kazan state medical university
Email: rg_dinova@list.ru
ORCID iD: 0000-0003-0094-1399
MD, Cand. Sci. (Med.)
Russian Federation, KazanReferences
- Corneli OA, Alastruy-Izquierdo A, Arenz D, et al. Global guidelines for the diagnosis and treatment of mucormycosis: an initiative of the European Confederation for Medical Mycology in collaboration with the Mycoses Study Group. Lancet Infect Dis. 2019;19(12):e405–e421. doi: 10.1016/S1473-3099(19)30312-3
- Dantas KS, Mauad T, de Andre CDS, et al. A single center retrospective study of the incidence of invasive fungal infections over 85 years of autopsy service in Brazil. Sci Rep. 2021;11(1):3943. doi: 10.1038/s41598-021-83587-1
- Sarvestani A, Pishdad G, Bolandparvaz S. Factors predisposing to mucormycosis in diabetic patients; 21 years experience in South Iran. Bull Emerge Trauma. 2013;1(4):164–170.
- Shariati A, Moradabadi A, Chegini Z, et al. An Overview of the Management of the Most Important Invasive Fungal Infections in Patients with Blood Malignancies. Infect Drug Resist. 2020;13:2329–2354. doi: 10.2147/IDR.S254478
- Roden MM, Zaoutis TE, Buchanan WL, et al. Epidemiology and outcome of zygomycosis: a review of 929 reported cases. Clin Infect Dis. 2005;41(5):634–653. doi: 10.1086/432579
- Bitar D, Van Cauteren D, Lanternier F, et al. Increasing incidence of zygomycosis (mucormycosis), France, 1997–2006. Emerg Infect Dis. 2009;15(9):1395–1401. doi: 10.3201/eid1509.090334
- Chakrabarti A, Singh R. Mucormycosis in India: unique features. Mycoses. 2014;57 Suppl 3:85–90. doi: 10.1111/myc.12243
- Ben-Ami R, Luna M, Lewis RE, et al. A clinicopathological study of pulmonary mucormycosis in cancer patients: extensive angioinvasion but limited inflammatory response. J Infect. 2009;59(2):134–138. doi: 10.1016/j.jinf.2009.06.002
- Chamilos G, Lewis RE, Lamaris G, et al. Zygomycetes hyphae trigger an early, robust proinflammatory response in human polymorphonuclear neutrophils through toll-like receptor 2 induction but display relative resistance to oxidative damage. Antimicrob Agents Chemother. 2008;52(2):722–724. doi: 10.1128/AAC.01136-07
- Zelter PM, Surovcev EN, Kolsanov AV, et al. Radiology of rhinoorbitocerebral mycormycosis in patients after COVID-19. REJR. 2022;12(4):5–21. (In Russ). doi: 10.21569/2222-7415-2022-12-4-5-21
- Karimov MB, Makhmadzoda ShK, Khaidarov ZB, Ziyozoda MR. COVID-19-associated rhino-orbital mucormycosis. Point of view. East-West. 2022;3:57–61. (In Russ). doi: 10.25276/2410-1257-2022-3-57-61
- Kulagina LYu, Kurbanov AR. Cases of mucormycosis in the Kazan Republican Clinical Hospital. Chief Medical Officer. 2022;9:7–8. (In Russ). doi: 10.33920/med-03-2209-01
- Charushin AO, Khostelidi SN, Borovinsky RI, et al. The case of successful treatment of rhinoorbital mucormycosis in a COVID-19 patient in the perm region. Problems in Medical Mycology. 2022;24(3):13–19. (In Russ). doi: 10.24412/1999-6780-2022-3-13-19
- Kurysheva NI, Kim VYu, Plieva KhM, et al. Mukormikoz i ego glaznye proyavleniya: metodicheskoe posobie dlya praktikuyushchikh vrachei, meditsinskogo personala i ordinatorov. Moscow: GNTs RF – FMBTs im. A.I. Burnazyana; 2022. (In Russ).
- Kolesnikov VN, Khanamirov AA, Boiko NV, et al. Postcovid sino-orbital mucormycosis: a case report. Bulletin of Otorhinolaryngology = Vestnik otorinolaringologii. 2022;87(3):107–111. (In Russ). doi: 10.17116/otorino202287031107
- Kurysheva NI. COVID-19 i porazheniya organa zreniya. Moscow: LARGO; 2021. (In Russ).
- Sundaram N, Bhende T, Yashwant R, et al. Mucormycosis in COVID-19 patients. Indian J Ophthalmol. 2021;69(12):3728–3733. doi: 10.4103/ijo.IJO_1316_21
- Pana ZD, Seidel D, Skiada A, et al. Invasive mucormycosis in children: an epidemiologic study in European and non-European countries based on two registries. BMC Infect Dis. 2016;6(1):667. doi: 10.1186/s12879-016-2005-1
- Mahalaxmi I, Jayaramaya K, Venkatesan D, et al. Mucormycosis: an opportunistic pathogen during COVID-19. Environ Res. 2021;201:111643. doi: 10.1016/j.envres.2021.111643
- Gebremariam T, Liu M, Luo G, et al. CotH3 mediates fungal invasion of host cells during mucormycosi. J Clin Invest. 2014;124(1):237–250. doi: 10.1172/JCI71349
- Roilides E, Antachopoulos C, Simitsopoulou M. Pathogenesis and host defence against Mucorales: the role of cytokines and interaction with antifungal drugs. Mycoses. 2014;57 Suppl 3:40–47. doi: 10.1111/myc.12236
- Knudsen TA, Sarkisova TA, Schaufele RL, et al. Epidemiology and outcome of zygomycosis: a review of 929 reported cases. Clin Infect Dis. 2005;41(5):634–653. doi: 10.1086/432579
- Ruhnke M, Groll AH, Mayser P, et al. University of Manchester in association with the LIFE program. Estimated burden of fungal infections in Germany. Mycoses. 2015;58 Suppl 5:22–28. doi: 10.1111/myc.12392
- Gomes MZ, Lewis RE, Kontoyiannis DP. Mucormycosis caused by unusual mucormycetes, non-Rhizopus, -Mucor, and -Lichtheimia species. Clin Microbiol Rev. 2011;24(2):411–445. doi: 10.1128/CMR.00056-10
- Jeong W, Keighley C, Wolfe R, et al. Contemporary management and clinical outcomes of mucormycosis: A systematic review and meta-analysis of case reports. Int J Antimicrob Agents. 2019;53(5):589–597. doi: 10.1016/j.ijantimicag.2019.01.002
- Walsh TJ, Gamaletsou MN, McGinnis MR, et al. Early clinical and laboratory diagnosis of invasive pulmonary, extrapulmonary, and disseminated mucormycosis (zygomycosis). Clin Infect Dis. 2012;54 Suppl 1:55–60. doi: 10.1093/cid/cir868
- Chamilos G, Lewis RE, Kontoyiannis DP. Delaying amphotericin B-based frontline therapy significantly increases mortality among patients with hematologic malignancy who have zygomycosis. Clin Infect Dis. 2008;47(4):503–509. doi: 10.1086/590004
- Bae MS, Kim EJ, Lee KM, Choi WS. Rapidly Progressive Rhino-orbito-cerebral Mucormycosis Complicated with Unilateral Internal Carotid Artery Occlusion: A Case Report. Neurointervention. 2012;7(1):45–49. doi: 10.5469/neuroint.2012.7.1.45
- Vallverdú Vidal M, Iglesias Moles S, Palomar Martínez M. Rhino-orbital-cerebral mucormycosis in a critically ill patient. Med Intensiva. 2017;41(8):509–510. doi: 10.1016/j.medin.2016.03.001
- Bhansali A, Bhadada S, Sharma A, et al. Presentation and outcome of rhino-orbital-cerebral mucormycosis in patients with diabetes. Postgrad Med J. 2004;80(949):670–674. doi: 10.1136/pgmj.2003.016030
- Goh LC, Shakri ED, Ong HY, et al. A seven-year retrospective analysis of the clinicopathological and mycological manifestations of fungal rhinosinusitis in a single-centre tropical climate hospital. J Laryngol Otol. 2017;131(9):813–816. doi: 10.1017/S0022215117001505
- Guinea J, Escribano P, Vena A, et al. Increasing incidence of mucormycosis in a large Spanish hospital from 2007 to 2015: Epidemiology and microbiological characterization of the isolates. PLoS One. 2017;12(6):e0179136. doi: 10.1371/journal.pone.0179136
- Marty FM, Ostrosky-Zeichner L, Cornely OA, et al. VITAL and FungiScope Mucormycosis Investigators. Isavuconazole treatment for mucormycosis: a single-arm open-label trial and case-control analysis. Lancet Infect Dis. 2016;16(7):828–837. doi: 10.1016/S1473-3099(16)00071-2
- Shoham S, Magill SS, Merz WG, et al. Primary treatment of zygomycosis with liposomal amphotericin B: analysis of 28 cases. Med Mycol. 2010;48(3):511–517. doi: 10.3109/13693780903311944
- Legrand M, Gits-Muselli M, Boutin L, et al. Detection of Circulating Mucorales DNA in Critically Ill Burn Patients: Preliminary Report of a Screening Strategy for Early Diagnosis and Treatment. Clin Infect Dis. 2016;63(10):1312–1317. doi: 10.1093/cid/ciw563
- Hong HL, Lee YM, Kim T, et al. Risk factors for mortality in patients with invasive mucormycosis. Infect Chemother. 2013;45(3):292–298. doi: 10.3947/ic.2013.45.3.292
- Palejwala SK, Zangeneh TT, Goldstein SA, Lemole GM. An aggressive multidisciplinary approach reduces mortality in rhinocerebral mucormycosis. Surg Neurol Int. 2016;7:61. doi: 10.4103/2152-7806.182964
- Walsh TJ, Skiada A, Cornely OA, et al. Development of new strategies for early diagnosis of mucormycosis from bench to bedside. Mycoses. 2014;57 Suppl 3(0 3):2–7. doi: 10.1111/myc.12249
- Tissot F, Agrawal S, Pagano L, et al. ECIL-6 guidelines for the treatment of invasive candidiasis, aspergillosis and mucormycosis in leukemia and hematopoietic stem cell transplant patients. Haematologica. 2017;102(3):433–444. doi: 10.3324/haematol.2016.152900
- Skiada A, Lass-Floerl C, Klimko N, et al. Challenges in the diagnosis and treatment of mucormycosis. Med Mycol. 2018;56 Suppl_1:93–101. doi: 10.1093/mmy/myx101
- Pal R, Singh B, Bhadada SK, et al. COVID-19-associated mucormycosis: An updated systematic review of literature. Mycoses. 2021;64(12):1452–1459. doi: 10.1111/myc.13338
Supplementary files









