Аcoustic characteristics of the optic nerve in children with normal and congenital pathologies
- Authors: Sudovskaya T.V.1, Kiseleva T.N.1, Eliseeva E.K.1, Baeva A.V.2, Zaitsev M.S.1, Kogoleva L.V.1, Lugovkina K.V.1, Bedretdinov A.N.1
-
Affiliations:
- Helmholtz National Medical Research Center of Eye Diseases
- Moscow Evdokimov State Medical Stomatological University of Medicine and Dentistry
- Issue: Vol 18, No 3 (2023)
- Pages: 145-153
- Section: Original study article
- Published: 22.10.2023
- URL: https://ruspoj.com/1993-1859/article/view/562775
- DOI: https://doi.org/10.17816/rpoj562775
- ID: 562775
Cite item
Full Text
Abstract
AIM: To determine the acoustic biometric parameters of the optic nerve in children with normal and congenital pathologies.
MATERIAL AND METHODS: In total, 130 children (260 eyes) aged from 1 year to 16 years were examined. Of these children, 80 (160 eyes) had congenital pathology—hypoplasia and partial atrophy of the optic nerve (ON). The control group consisted of 50 healthy children (100 eyes), who had no ON and retina diseases and refractive errors, except for mild myopia. The healthy children and those with ON pathology were divided into age groups: 1–3 years (group 1), 4–10 years (group 2), and 11–16 years (group 3). Ultrasound examination included measuring the thickness of the retrobulbar part of the ON sheaths.
RESULTS: The average ON sheath thickness (ONST) of groups 1, 2 and 3 were 3.78±0.1, 4.26±0.06, and 4.19±0.09 mm, respectively. A statistically significant relationship was established by age and sex of the examined children and ONST (p <0.05). The mean ONST was significantly lower in girls than in boys (p <0.05). In 48 children (96 eyes), ONST decreased in groups 2 and 3 compared with the control group (p >0.05). In 32 children (64 eyes) with ON hypoplasia, the ONST significantly decreased in all age groups compared with the control group (p <0.05).
CONCLUSION: The ultrasound examination of the ON can be used for the clinical and functional diagnosis for congenital anomalies (hypoplasia of the ON and ON partial atrophy) and pathological conditions of the brain.
Full Text
ВВЕДЕНИЕ
Одной из актуальных проблем офтальмологии является ранняя диагностика заболеваний зрительного нерва, особенно у детей раннего возраста, когда ещё не сформировались необратимые изменения органа зрения. Существует ряд различных аномалий и заболеваний зрительного нерва у детей, наиболее частыми из которых являются гипоплазия и частичная атрофия нерва. Поиск и разработка наиболее информативных диагностических методик для оценки состояния зрительного нерва остаётся социально значимым вопросом [1].
Известно, что акустические и морфометрические параметры зрительного нерва у здоровых детей очень вариабельны и зависят от возраста. Так, к 20-й неделе гестации параметры диска зрительного нерва (ДЗН) и ретробульбарной части ЗН достигают примерно 50% таковых параметров у взрослого человека. К рождению ребёнка эти показатели составляют 3/4 размеров ДЗН и зрительного нерва взрослого человека. В течение первого года жизни размеры ДЗН и зрительного нерва приближаются к 95% таковых параметров у взрослого человека [2, 3]. У молодых женщин в возрасте от 25 до 30 лет толщина ретробульбарной части нерва с оболочками составляет в среднем 4,5 мм, у мужчин — 4,8 мм [4]. При врождённых аномалиях зрительного нерва биометрические и структурные характеристики могут существенно отклоняться от нормы, что затрудняет диагностику и определение тактики ведения пациентов.
В настоящее время для оценки состояния зрительного нерва, исследования его анатомо-топографических и структурных изменений используется широкий спектр современных методов диагностики, включая оптическую когерентную томографию ДЗН (ОКТ), спектральную ОКТ (С-ОКТ), ОКТ с функцией ангиографии (ОКТ-А), Гейдельбергскую ретинальную томографию (HRT), В-сканирование орбит, электрофизиологические методы исследования (ЭФИ), магнитно-резонансную томографию (МРТ) и компьютерную томографию орбит (КТ). Перечисленные методы являются высокоточными, но имеют ряд ограничений, особенно у детей грудного и младшего возраста.
Ультразвуковое исследование (УЗИ) является безопасным высокоинформативным методом, характеризуется методической простотой и возможностью применения у детей любого возраста без предварительной подготовки [5]. Однако с помощью УЗИ имеется возможность визуализировать лишь две трети орбитального отдела зрительного нерва. В настоящее время имеются данные об акустических биометрических параметрах зрительного нерва у взрослых здоровых добровольцев и у новорождённых детей, при этом в доступной литературе отсутствуют сведения об этих характеристиках у детей разных возрастных групп [4, 6].
Цель. Изучить акустические биометрические параметры зрительного нерва у детей разного возраста в норме и при врождённой патологии зрительного нерва.
МАТЕРИАЛ И МЕТОДЫ
Обследовано 130 детей (260 глаз) в возрасте от 1 года до 16 лет. Из всех детей 80 человек (160 глаз) имели такую врождённую патологию, как гипоплазия (32 ребёнка) и частичная атрофия зрительного нерва (ЧАЗН) (48 детей). Контрольную группу составили 50 здоровых детей (100 глаз), сопоставимых по возрасту и полу, у которых отсутствовали дистрофические, дегенеративные и воспалительные заболевания зрительного нерва и сетчатки, а также аномалии рефракции за исключением миопии слабой степени. Здоровые дети и пациенты с патологией зрительного нерва были разделены по возрасту на 3 группы: от 1 года до 3 лет (1-я группа), от 4 до 10 лет (2-я группа), от 11 до 16 лет (3-я группа).
Стандартное офтальмологическое обследование включало следующие методы: визометрию, рефрактометрию, тонометрию, биомикроскопию, офтальмоскопию, компьютерную периметрию. Дополнительно всем детям проводили эхографию в В-режиме на многофункциональном сканере Voluson Е8 (GE Healthcare) при помощи высокочастотного линейного датчика 11–18,0 МГц при средне-низких значениях коэффициента усиления сигнала Gain по представленной ранее методике [5]. Акустическую мощность диагностического прибора корректировали с учётом соответствующих рекомендаций международных профессиональных организаций по ультразвуковой диагностике в медицине, согласно которым экспозицию и интенсивность выходного акустического сигнала снижали до уровня, позволяющего регистрировать изображение оптимального качества [7]. Визуализацию ретробульбарного отдела зрительного нерва проводили в горизонтальной и вертикальной плоскостях (аксиальное сканирование) в 3 мм от центра ДЗН с измерением толщины нерва с оболочками.
Статистический анализ результатов исследования выполняли на персональном компьютере с использованием программ Microsoft Excel, 2019. Достоверность параметров определяли по критерию Стьюдента.
РЕЗУЛЬТАТЫ
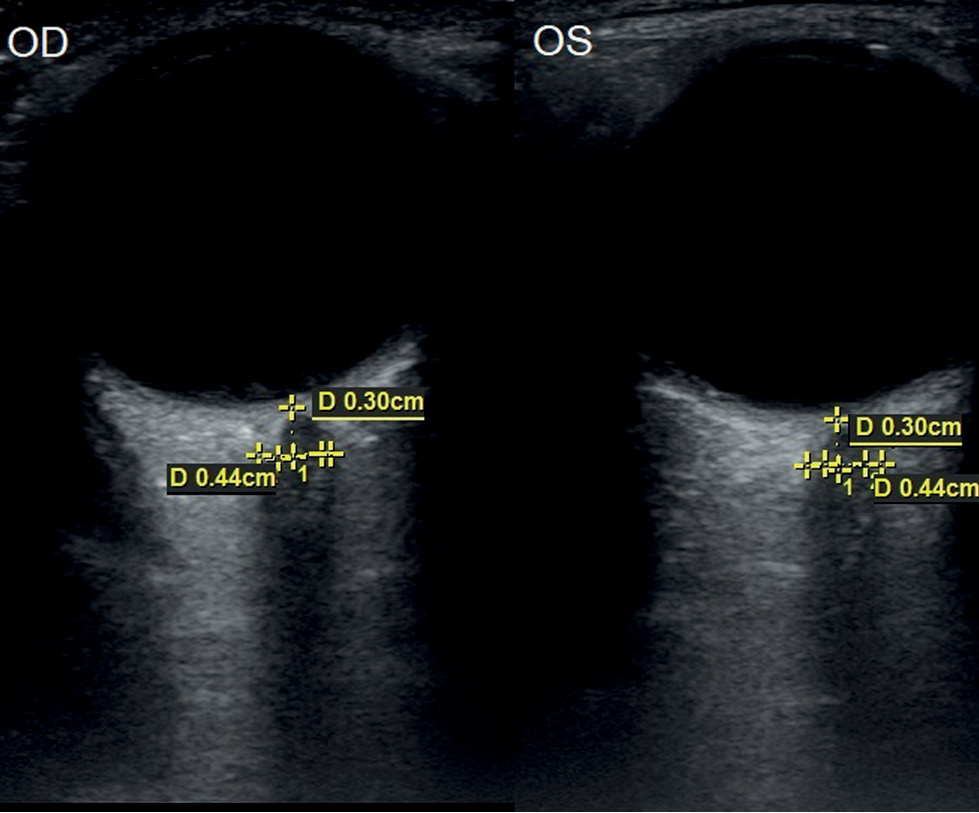
Анализ акустических биометрических параметров зрительного нерва в орбите у 50 здоровых детей (100 глаз) в группе контроля показал, что средние значения толщины нерва составили в 1-й группе 3,78±0,1 мм, во 2-й группе — 4,26±0,06 мм и в 3-й группе — 4,19±0,09 мм (рис. 1, 2). Сравнительная оценка параметров толщины зрительного нерва в разных возрастных группах показала статистически достоверное увеличение средних значений ТОЗН с возрастом ребенка (р <0,05) (табл. 1).
Рис. 1. Эхограмма зрительных нервов в норме у мальчика в возрасте 1 год 3 мес. Данные биометрии ретробульбарного отдела зрительного нерва правого (OD) и левого (OS) глаза.
Fig. 1. Echogram of the optic nerves of a healthy boy aged 15 months and biometric data of the retrobulbar optic nerve of the right (OD) and left (OS) eyes.
Рис. 2. Эхограмма зрительных нервов в норме у девочки в возрасте 10 лет. Биометрические показатели ретробульбарного отдела зрительного нерва правого (OD) и левого (OS) глаза.
Fig. 2. Echogram of the optic nerves of a healthy girl aged 10 years and biometric data of the retrobulbar optic nerve of the right (OD) and left (OS) eyes.
Таблица 1. Биометрические показатели зрительного нерва у детей разного возраста в норме и при патологии зрительного нерва
Table 1. Optic nerve biometric data of children of different ages with normal optic nerve and optic nerve pathology
Группы Groups | Толщины зрительного нерва с оболочками, мм Thickness of the optic nerve with sheath, mm | Число глаз Number of eyes |
1-я группа (1 group) | ||
Контроль Control | 3,78±0,1 | 32 |
Частичная атрофия зрительного нерва Оptic nerve partial atrophy | 2,94±0,13* | 26 |
Гипоплазия зрительного нерва Оptic nerve hypoplasia | 1,76±0,2* | 20 |
2-я группа (2 group) | ||
Контроль Сontrol | 4,26±0,06** | 36 |
Частичная атрофия зрительного нерва Оptic nerve partial atrophy | 4,11±0,11 | 32 |
Гипоплазия зрительного нерва Оptic nerve hypoplasia | 1,85±0,19* | 24 |
3-я группа (3 group) | ||
Контроль Сontrol | 4,19±0,09** | 32 |
Частичная атрофия зрительного нерва Оptic nerve partial atrophy | 4,01±0,1 | 38 |
Гипоплазия зрительного нерва Оptic nerve hypoplasia | 1,79±0,17* | 20 |
* различия статистически достоверны относительно показателей в норме для каждой возрастной группы, р <0,05;
** различия статистически достоверны относительно нормы в 1-й группе, р <0,05;
* Differences are statistically significant relative to the normal values in each group, р <0.05.
**Differences are statistically significant relative to the normative parameters of group 1, р <0.05.
Отмечены статистически достоверные различия между средним значением толщины зрительного нерва в норме в 1-й группе и этим параметром во 2-й и 3-й группах (р <0,05).
У детей с ЧАЗН во 2-й и 3-й группах статистически достоверных изменений показателей ТОЗН по сравнению с контролем не выявлено (р <0,05) в отличие от 1-й группы пациентов, которая включала детей в возрасте от 1 до 3 лет (р >0,05).
У 32 детей (64 глаза) с гипоплазией зрительного нерва наблюдалось значительное уменьшение показателя ТОЗН по сравнению с контролем во всех возрастных группах (р <0,05) (табл. 1, рис 3, 4).
Рис. 3. Эхограмма при атрофии зрительного нерва обоих глаз у девочки в возрасте 2 года. Биометрические показатели ретробульбарного отдела зрительного нерва правого (OD) и левого (OS) глаза.
Fig. 3. Echogram showing atrophy of the optic nerve of both eyes in a 2-year-old girl and biometric data of the retrobulbar optic nerve of the right (OD) and left (OS) eyes.
Рис. 4. Эхограмма при гипоплазии зрительного нерва обоих глаз у мальчика в возрасте 8 лет. Биометрические показатели ретробульбарного отдела зрительного нерва правого (OD) и левого (OS) глаза.
Fig. 4. Echogram of optic nerve hypoplasia in both eyes of an 8-year-old boy and biometric data of the retrobulbar optic nerve of the right (OD) and left (OS) eyes.
Нами была выполнена сравнительная оценка биометрических характеристик зрительного нерва у мальчиков и девочек в норме и установлены гендерные различия показателей ТОЗН во всех возрастных группах (табл. 2). Наиболее выраженное отличие параметров ТОЗН в зависимости от пола обследуемых отмечалось в 3-й группе здоровых детей (р ≤0,01).
Таблица 2. Сравнительная оценка биометрических параметров зрительного нерва у девочек и мальчиков в норме
Tablе 2. Comparative assessment of the biometric parameters of the optic nerve in healthy girls and boys
Возраст (количество лет) Age (years) | Средние значения показателя толщины зрительного нерва с оболочками, мм The mean values of thickness of the optic nerve with sheath, mm | Достоверность различий Validity of differences, p – value* | |||
Число глаз Number of eyes | Мальчики Boys | Количество глаз Number of eyes | Девочки Girls | ||
1–3 года | 12 | 3,45±0,35 | 12 | 3,01±0,18 | р <0,05 |
4–10 лет | 24 | 4,18±0,24 | 20 | 4,06±0,37 | р <0,05 |
11–16 лет | 12 | 4,6±0,15 | 20 | 4,17±0,20 | р ≤0,01 |
*р — статистически достоверный показатель разницы толщины зрительного нерва с оболочками между мальчиками и девочками в норме в каждой группе.
*р — statistically reliable indicator showing the difference in the thickness of the optic nerve sheath in each group of normal boys and girls.
ОБСУЖДЕНИЕ
Анализ данных литературы свидетельствует о высокой информативности ультразвукового исследования ретробульбарного отдела зрительного нерва в педиатрической практике. При этом важно соблюдать технику В-сканирования и правильно оценивать полученные результаты. В отечественной и зарубежной литературе представлено небольшое количество работ, посвящённых ультразвуковым исследованиям ретробульбарного отдела зрительного нерва у детей, однако оценка показателей его толщины в орбите в зависимости от возраста ранее не проводилась (табл. 3). Представлены работы, в которых обследуемые дети имели сопутствующие соматические заболевания, миопическую или гиперметропическую рефракцию выше 3,0 дптр. В нашем исследовании сопутствующие заболевания, а также близорукость или дальнозоркость выше 3,0 дптр являлись критериями исключения.
Таблица 3. Средние значения толщины зрительного нерва с оболочками у здоровых детей различного возраста (по данным литературы)
Table 3. Mean optic nerve sheath thickness in normal children (literature data)
Источники литературы References | Количество детей Number of children | Возраст Ages | Эхографические показатели толщины оболочек зрительного нерва, мм Ultrasound indices of the thickness of the optic nerve with sheath, mm |
J. Ballantyne и соавт. [8] | 102 | от 0 месяцев до 15 лет from 0 months to 15 years | 2,1–4,3 |
N.A. Beare и соавт. [9] | 30 | в среднем 33 месяца an average of 33 months | 3,5 [2,5÷4,1] |
S. Lan и соавт. [10] | 250 | доношенные новорождённые full-term newborns | OD – 3,30±0,27 OS – 3,30±0,23 |
B. Ceran и соавт. [11] | 143 | недоношенные новорождённые мужского пола premature male newborns | 2,17±0,58 |
недоношенные новорождённые женского пола premature female newborns | 1,93±0,49 | ||
W.D. Newman и соавт. [13] | 102 | от 0 месяцев до 1 года from 0 months to 1 year | 4,0 |
от 1 года до 18 лет from 1 year to 18 years | 4,5 | ||
A.A. Malayeri и соавт (et al.) [15] | 78 | 6,8±5,5 лет (years) | 3,3±0,6 [диапазон от 2,0±0,6 до 4,35±0,6] [range from 2.0±0.6 to 4.35±0.6] |
F. Körber и соавт. [12] | 466 | 7,5±5,1 лет (years) | 3,4±0,7 |
Brzezinska R. и соавт. [16] | 50 | — | 3,5 [2,6÷4,1] |
Ю.П. Васильева и соавт. [17] | 20 | от 1 месяца до 5 лет from 1 months to 5 years | 4,8±0,6 |
от 5 лет до 17 лет from 5 years to 17 years | 5,5±0,8 |
Согласно результатам Ballantyne J. и соавт., средний диаметр орбитального отдела зрительного нерва с оболочками у здоровых детей независимо от возраста составляет 2,1–4,3 мм, при этом разброс полученных результатов достаточно большой, и чем младше ребёнок, тем сложнее оценить данные исследования [8]. Beare N. c соавт. представили похожие сведения о средних значениях ТОЗН, находящихся в интервале от 2,5 до 4,1 мм [9]. Несмотря на большой диапазон показателей, авторы оценивают чувствительность и специфичность ультразвуковой биометрии ретробульбарного отдела зрительного нерва в 100% и 86%, соответственно. Lan S. и соавт. провели В-сканирование нераа у 250 здоровых новорождённых, а Ceran B. и соавт. измерили биометрические параметры нерва у 143 недоношенных новорождённых [10, 11]. Оказалось, у недоношенных детей среднее значение ТОЗН существенно ниже, чем у доношенных (табл. 3). Ряд авторов не обнаружили взаимосвязи между полом детей и средними значениями ТОЗН [8, 9, 12]. Однако Lan S. с соавт. и Ceran B. с соавт. представили достоверную корреляцию между ТОЗН и полом ребёнка при определении биометрических параметров у маленьких детей [10, 11]. Нами впервые были установлены гендерные различия показателей толщины интраорбитального отдела нерва у детей в разные возрастные периоды жизни.
В нашем исследовании определена достоверная взаимосвязь между средними параметрами ТОЗН в группах и возрастом детей: у детей старшего возраста средние значения толщины орбитального отдела зрительного нерва были достоверно больше по сравнению с таковыми у детей младшего возраста, к 16 годам среднее значение ТОЗН было сопоставимо с таковым показателем у взрослого человека. Аналогичные результаты были получены зарубежными исследователями [8, 11, 13, 14].
В доступной зарубежной литературе отсутствуют данные об ультразвуковом исследовании биометрических параметров зрительного нерва при его атрофии и гипоплазии у детей [18–20]. В нашей работе впервые определено значительное уменьшение поперечного диаметра ретробульбарной части нерва при его гипоплазии по сравнению с нормальными показателями (р <0,05).
Методика УЗИ зрительного нерва внедрена за рубежом и в некоторых отечественных медицинских учреждениях, в пунктах неотложной медицинской помощи и в приёмных отделениях для оценки уровня внутричерепного давления (ВЧД). В-сканирование зрительного нерва широко используется у постели маленьких пациентов для мониторинга внутричерепного давления, у пациентов с черепно-мозговыми травмами, гематомами головного мозга, после проведения сердечно-легочных операций, у детей с новообразованиями головы, шеи, спинного мозга, позвоночника и др. По данным ряда авторов, УЗИ зрительного нерва является информативным методом у новорождённых и малолетних пациентов с гидроцефалией, сопутствующей неврологической патологией, краниостенозами, для оценки оттока спинномозговой жидкости и адекватности проведенного шунтирования [9, 12–17, 21].
ЗАКЛЮЧЕНИЕ
Ультразвуковое исследование зрительного нерва позволяет точно измерить толщину зрительного нерва с оболочками у детей различного возраста в норме и при врождённой патологии. Благодаря оценке толщины орбитальной части зрительного нерва можно выявить начальные признаки расширения периневрального пространства при повышении внутричерепного давления и других патологических состояниях головного мозга, включающих его органическую патологию, последствия перинатального поражения ЦНС. Ультразвуковой метод исследования может быть использован для определения клинико-функционального прогноза при врождённых аномалиях, таких как гипоплазия и частичная атрофия зрительного нерва, а также при патологических состояниях головного мозга. Измерение акустических биометрических параметров может быть рекомендовано детям с различной патологией зрительного нерва.
ДОПОЛНИТЕЛЬНАЯ ИНФОРМАЦИЯ
Источник финансирования. Авторы заявляют об отсутствии внешнего финансирования при проведении исследования.
Конфликт интересов. Авторы декларируют отсутствие явных и потенциальных конфликтов интересов, связанных с публикацией настоящей статьи.
Вклад авторов. Все авторы подтверждают соответствие своего авторства международным критериям ICMJE (все авторы внесли существенный вклад в разработку концепции, проведение исследования и подготовку статьи, прочли и одобрили финальную версию перед публикацией). Наибольший вклад распределён следующим образом. Т.В. Судовская — руководство проектом, валидация данных; Т.Н. Киселева — научное редактирование текста статьи, курирование данных; Е.К. Елисеева — сбор и анализ литературных источников, написание текста статьи, проведение исследований; А.В. Баева — сбор и анализ литературных источников, статистическая обработка данных; Зайцев М.С. — проведение исследований; Коголева Л.В. — валидация данных, редактирование текста статьи; К.В. Луговкина — проведение исследований, Бедретдинов А.Н. — проведение исследований.
ADDITIONAL INFO
Funding source. This study was not supported by any external sources of funding.
Competing interests. The authors declare that they have no competing interests.
Author contribution. All authors confirm that their authorship complies with the international ICMJE criteria (all authors made a significant contribution to the development of the concept, research and preparation of the article, read and approved the final version before publication). The largest contribution is distributed as follows. Tatyana V. Sudovskaya — project administration; data validation. Tatyana N. Kiseleva — science editing, data curation; Elena K. Eliseeva — literature data collection and analysis, writing of the article, conducting research; Alena V. Baeva — literature data collection and analysis, data processing; Maksim S. Zaitsev — conducting research; Ludmila V. Kogoleva — data validation, editing of the article; Kseniya V. Lugovkina — conducting research; Aleksey N. Bedretdinov — conducting research.
About the authors
Tatiana V. Sudovskaya
Helmholtz National Medical Research Center of Eye Diseases
Email: sudovskaya-tv@mail.ru
ORCID iD: 0000-0001-8878-4425
SPIN-code: 8196-5229
MD, Dr. Sci. (Med.)
Russian Federation, MoscowTatiana N. Kiseleva
Helmholtz National Medical Research Center of Eye Diseases
Email: tkiseleva05@gmail.com
ORCID iD: 0000-0002-9185-6407
SPIN-code: 5824-5991
Scopus Author ID: 34067953700
MD, Dr. Sci. (Med.), Рrofessor
Russian Federation, MoscowElena K. Eliseeva
Helmholtz National Medical Research Center of Eye Diseases
Author for correspondence.
Email: eliseevaek@ya.ru
ORCID iD: 0000-0002-8099-592X
SPIN-code: 2972-9208
MD, Cand. Sci. (Med.)
Russian Federation, MoscowAlena V. Baeva
Moscow Evdokimov State Medical Stomatological University of Medicine and Dentistry
Email: baeva_a2804@mail.ru
ORCID iD: 0000-0003-2073-7627
SPIN-code: 7151-6437
MD, Graduate Student
Russian Federation, MoscowMaxim S. Zaitsev
Helmholtz National Medical Research Center of Eye Diseases
Email: zaicev1549@yandex.ru
ORCID iD: 0000-0002-4135-1128
SPIN-code: 2390-5647
MD, Cand. Sci. (Med.)
Russian Federation, MoscowLudmila V. Kogoleva
Helmholtz National Medical Research Center of Eye Diseases
Email: kogoleva@mail.ru
ORCID iD: 0000-0002-2768-0443
SPIN-code: 2241-7757
MD, Dr. Sci. (Med.)
Russian Federation, MoscowKseniya V. Lugovkina
Helmholtz National Medical Research Center of Eye Diseases
Email: ksushalyg@mail.ru
ORCID iD: 0000-0002-3531-3846
SPIN-code: 9919-6167
MD, Cand. Sci. (Med.)
Russian Federation, MoscowAleksey N. Bedretdinov
Helmholtz National Medical Research Center of Eye Diseases
Email: anbedretdinov@gmail.com
ORCID iD: 0000-0002-2947-1143
SPIN-code: 1714-7669
MD, Cand. Sci. (Med.)
Russian Federation, MoscowReferences
- Katargina LA, Arestova NN, Michaylova LA. Achievements of pediatric ophthalmology in the Russian Federation for 10 years. Russian Pediatric Ophthalmology. 2018;13(2):62–66. (In Russ). doi: 10.18821/1993-1859-2018-13-2-62-66
- Kacnel’son LA, Lysenko VS, Balishanskaja TI. Klinicheskij atlas patologii glaznogo dna. Moscow: GEOTAR-Media; 2008. (In Russ).
- Teilor D, Khoit K. Detskaya oftal’mologiya. St. Petersburg: Nevskii dialekt; 2002. (In Russ).
- Neroev VV, Kiseleva TN, Baeva AV, et al. The correlation of acoustic and morphometric parameters of the optic nerve and anthropometric data in healthy young people. Russian Ophthalmological Journal. 2022;15(1):39–45. (In Russ). doi: 10.21516/2072-0076-2022-15-1-39-45
- Neroev BB, Kiseleva TN, editors. Ul’trazvukovye issledovaniya v oftal’mologii. Rukovodstvo dlya vrachei. 1st edition. Moscow: IKAR; 2019. (In Russ).
- Kruglova TB, Kiseleva TN, Katargina LA, et al. Comparison of biometric methods in young children with congenital cataracts in their eyes. Russian Pediatric Ophthalmology. 2021;16(3):11–18. (In Russ). doi: 10.17816/rpoj79240
- Kiseleva TN, Zaitsev MS, Lugovkina KV. The Safety of Diagnostic Ultrasound in Ophthalmology. Ophthalmology in Russia. 2018;15(4):447–454. (In Russ). doi: 10.18008/1816-5095-2018-4-447-454
- Ballantyne J, Hollman AS, Hamilton R, et al. Transorbital optic nerve sheath ultrasonography in normal children. Clin Radiol. 1999;54(11):740–742. doi: 10.1016/S0009-9260 (99)91176-5
- Beare NA, Kampondeni S, Glover SJ, et al. Detection of raised intracranial pressure by ultrasound measurement of optic nerve sheath diameter in African children. Trop Med Int Health. 2008;13(11):1400–1404. doi: 10.1111/j.1365-3156.2008.02153.x
- Lan SY, Tai HL, Lin JJ, et al. Measurement of optic nerve sheath diameter by ultrasound in healthy term neonates. Pediatr Neonatol. 2021;62(6):591–597. doi: 10.1016/j.pedneo.2021.05.021
- Ceran B, Beşer E, Karaçağlar NB, et al. Evaluation of the correlation of the new Ballard scoring with the ultrasonographic optical nerve sheath diameter and brain volume of preterm infants. Early Hum Dev. 2021;163:105506. doi: 10.1016/j.earlhumdev.2021.105506
- Körber F, Scharf M, Moritz J, et al. Sonography of the optical nerve — experience in 483 children. Rofo. 2005;177(2):229–235. (In German). doi: 10.1055/s-2004-813936
- Newman WD, Hollman AS, Dutton GN, Carachi R. Measurement of optic nerve sheath diameter by ultrasound: a means of detecting acute raised intracranial pressure in hydrocephalus. Br J Ophthalmol. 2002;86(10):1109–1113. doi: 10.1136/bjo.86.10.1109
- Steinborn M, Fiegler J, Ruedisser K, et al. Measurement of the optic nerve sheath diameter in children: comparison between transbulbar sonography and magnetic resonance imaging. Ultraschall Med. 2012;33(6):569–573. doi: 10.1055/s-0031-1273491
- Malayeri AA, Bavarian S, Mehdizadeh M. Sonographic evaluation of optic nerve diameter in children with raised intracranial pressure. J Ultrasound Med. 2005;24(2):143–147. doi: 10.7863/jum.2005.24.2.143
- Brzezinska R, Schumacher R. Diagnosis of elevated intracranial pressure in children with shunt under special consideration of transglobe sonography of the optic nerve. Ultraschall Med. 2002;23(5):325–332. (In German). doi: 10.1055/s-2002-35050
- Vasilieva YuP, Skripchenko NV, Klimkin AV, et al. Comprehensive structural and functional approach to the noninvasive diagnosis of intracranial hypertension and its degree in meningitis and encephalitis in children. Practical medicine. 2022;20(1):56–66. (In Russ). doi: 10.32000/2072-1757-2022-1-56-66
- Inoue M. Retinal complications associated with congenital optic disc anomalies determined by swept source optical coherence tomography. Taiwan J Ophthalmol. 2016;6(1):8–14. doi: 10.1016/j.tjo.2015.05.003
- Sudovskaya TV, Kogoleva LV. Morphometric parameters of the optic disc and peripapillary retina in children in cases of congenital pathology. Russian Ophthalmological Journal. 2022;15(1):51–57. (In Russ). doi: 10.21516/2072-0076-2022-15-1-51-57
- Mosin IM, Smirnov VF, Yaroslavtseva EV, et al. Optic nerve hypoplasia in infants: diagnostics, clinical significance. Russian Bulletin of Perinatology and Pediatrics. 2008;53(4):66–72. (In Russ).
- Wakimoto M, Patrick JH, Yamaguchi Y, et al. Optic nerve ultrasound and cardiopulmonary bypass: A pilot study. Saudi J Anaesth. 2022;16(2):188–193. doi: 10.4103/sja.sja_14_22
Supplementary files






