Ophthalmological findings of extracorporeal membrane oxygenation in newborns: a case report
- Authors: Saydasheva E.I.1,2, Gorelik Y.V.2, Kovshov F.V.2, Timofeeva A.Y.2, Bykov K.V.2, Zorina A.V.2
-
Affiliations:
- North-Western State Medical University named after I.I. Mechnikov
- Children’s City Multidisciplinary Clinical Specialized Center of High Medical Technologies, Saint Petersburg
- Issue: Vol 20, No 3 (2025)
- Pages: 199-205
- Section: Case reports
- Published: 30.09.2025
- URL: https://ruspoj.com/1993-1859/article/view/655838
- DOI: https://doi.org/10.17816/rpoj655838
- EDN: https://elibrary.ru/IHYZYZ
- ID: 655838
Cite item
Abstract
Extracorporeal membrane oxygenation is used in neonatology to save the lives of newborns in critical condition caused by severe respiratory and/or heart failure. Although technologies have improved and extracorporeal membrane oxygenation has become widely used, complications of the hemostatic system, including hemorrhagic and thrombotic events, remain one of the leading causes of morbidity and mortality in newborns receiving this type of therapy. This article presents a case report of ophthalmological complications in a newborn who received venoarterial extracorporeal membrane oxygenation. Within two weeks after the procedure, the patient underwent ophthalmoscopy using a pediatric wide-field retinal imaging system RetCam 3. The examination revealed signs of retinal angioapathy in the left eye. Subsequently, vascular changes worsened, from retinopathy, probably caused by thrombosis of the central retinal vein, to proliferative complications in the affected eye. Fluorescence angiography found local hyperfluorescence in the suspected occlusion area and signs of neovascularization. The patient received laser coagulation of the ischemic retinal areas to prevent retinal detachment. The patient was discharged at the age of 1.5 months, and continues to be followed-up by an ophthalmologist at our outpatient clinic.
The presented clinical case demonstrates that a retinal vascular disorder may develop in newborns after extracorporeal membrane oxygenation. That is why they require mandatory ophthalmological examination shortly after the procedure and follow-up in the catamnesis because of the risk of a sight-threatening retinal disorder.
Full Text
Актуальность
Экстракорпоральная мембранная оксигенация (ЭКМО) — современная терапевтическая стратегия, направленная на стабилизацию и восстановление жизненно важных функций организма при тяжёлых гемодинамических нарушениях и рефрактерной гипоксемии [1]. ЭКМО используют в качестве спасательной терапии у пациентов с тяжёлой дыхательной (77%) и/или сердечной недостаточностью, рефрактерной к традиционному лечению [2].
Неонатальная ЭКМО — процедура спасения жизни для новорождённых в критическом состоянии, страдающих потенциально обратимым заболеванием, вызывающим тяжёлую сердечную и/или дыхательную недостаточность, неподдающуюся максимальному традиционному лечению [3]. ЭКМО в неонатальном периоде впервые успешно осуществлена в 1975 году доктором R. Bartlett [4] (Университет в Ирвайне, Калифорния, Соединённые Штаты Америки) у однодневной девочки Эсперансы с тяжёлой персистирующей лёгочной гипертензией новорождённых на фоне синдрома аспирации. С тех пор отмечен этап стремительного развития ЭКМО в неонатологии, что стало возможным за счёт углублённого понимания кардиопульмональной патофизиологии, достижений в области медицинского управления и совершенствования технологии, включая модификацию контура для неонатального применения.
Принцип работы ЭКМО можно представить следующим образом: дезоксигенированная кровь новорождённого извлекается из правых отделов сердца и поступает в экстракорпоральный контур. В процессе циркуляции через мембранное лёгкое (оксигенатор) она насыщается кислородом, освобождается от углекислого газа и проходит температурную коррекцию. Затем оксигенированная кровь возвращается либо в артериальную систему (веноартериальная ЭКМО), либо в правые отделы сердце (веновенозная ЭКМО) [3].
Наиболее распространённые патологические состояния, при которых применяют ЭКМО в неонатальной практике:
- врождённые пороки развития — врождённые пороки сердца, лёгких и диафрагмы;
- приобретённые заболевания — септический шок, аспирационный синдром, острый респираторный дистресс-синдром и др. [5].
Проведение ЭКМО требует системной антикоагулянтной терапии с целью предотвращения тромбоза как у пациента, так и в контуре, что, в свою очередь, увеличивает риск кровотечений. Именно поэтому её проведение у этих детей является чрезвычайно сложной задачей, требующей опыта врача, обладающего глубоким пониманием особенностей развивающегося гемостаза и осведомлённого об ограничениях современных лабораторных методов, доступных для проведения антикоагулянтной терапии [6]. Несмотря на совершенствование технологий и расширение клинического применения ЭКМО, осложнения системы гемостаза, включая геморрагические и тромботические явления, остаются одними из ведущих причин заболеваемости и смертности новорождённых, получающих данную терапию [7, 8]. В связи с этим различные системные проявления/осложнения ЭКМО требуют тщательного рассмотрения. Так, для систематической оценки осложнений и смертности при использовании ЭКМО в лечении неонатальной дыхательной недостаточности J. Xiong и соавт. [9] провели систематический обзор и метаанализ всех исследований, посвящённых этой теме. Авторы отмечают, что системные осложнения возникают часто, в частности связанные с нарушениями свёртывающей системы крови (12,7%) и кровотечениями различной локализации (17,5%), однако случаев ретинальных геморрагий не описано. Учитывая немногочисленные зарубежные публикации и отсутствие отечественных исследований, посвящённых офтальмологическим осложнениям при проведении ЭКМО у новорождённых, мы решили представить клинический случай, демонстрирующий развитие таких осложнений у новорождённого, перенёсшего веноартериальную ЭКМО.
Описание случая
О пациенте
Пациент Р. — доношенный новорождённый мужского пола, рождённый 18.11.2024 на сроке гестации 40 нед., от первой беременности, завершившейся самопроизвольными родами через естественные родовые пути. Оценка по шкале Апгар 7/7 баллов. В раннем неонатальном периоде диагностирована аспирация меконием. На вторые сутки жизни новорождённый подключён к аппарату Deltastream® (MEDOS, Германия) с целью проведения веноартериальной ЭКМО, курс терапии продолжали в течение 6 дней. Согласно данным анамнеза, выставлен диагноз: врождённая пневмония, частичный тромбоз наружной яремной вены, септический шок, персистирующая лёгочная гипертензия новорождённого.
Результаты офтальмологического осмотра и инструментального исследования
Первичный осмотр офтальмологом выполнен на вторые сутки после окончания процедуры ЭКМО. Пациенту проведена офтальмоскопия с помощью широкопольной педиатрической ретинальной камеры RetCam 3® (Natus Medical Inc., Соединённые Штаты Америки). При офтальмоскопии выявлены следующие изменения:
- правый глаз (OD) — глазное дно без патологических изменений: диск зрительного нерва бледно-розовый, с чёткими границами, сосуды нормального калибра, макула без особенностей (рис. 1, a);
- левый глаз (OS) — на глазном дне признаки ангиопатии сетчатки: диск зрительного нерва бледно-розовый, с чёткими границами, сосуды расширены и извиты, макула без особенностей (см. рис. 1, b).
Рис. 1. Фотографии глазного дна правого (a) и левого глаза (b) пациента через 16 дней после экстракорпоральной мембранной оксигенации: a — нормальное глазное дно; b — ангиопатия сетчатки с ретинальным кровоизлиянием.
Fig. 1. OD (a) and OS (b) fundus images 16 days after extracorporeal membrane oxygenation: a, normal fundus; b, retinal angiopathy with retinal hemorrhage.
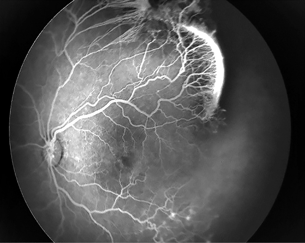
Офтальмолог осуществлял динамическое наблюдение еженедельно, результаты которого продемонстрировали усиление сосудистых изменений — от развития ретинопатии (рис. 2, a), вероятно связанной с тромбозом центральной вены сетчатки, до пролиферативных осложнений на поражённом глазу (см. рис. 2, b). С целью уточнения диагноза проведена флуоресцентная ангиография сетчатки с помощью широкопольной педиатрической ретинальной камеры RetCam 3® (Natus Medical Inc., Соединённые Штаты Америки). Обнаружена локальная гиперфлуоресценция в зоне предполагаемой окклюзии, а также признаки неоваскуляризации (рис. 3), требовавшие безотлагательной лазеркоагуляции ишемических зон сетчатки для предупреждения её отслойки.
Рис. 2. Фотографии глазного дна левого глаза пациента после экстракорпоральной мембранной оксигенации: a — ретинопатия через 16 дней; b — пролиферативные осложнения через 38 дней.
Fig. 2. OS fundus images after extracorporeal membrane oxygenation: a, retinopathy after 16 days; b, proliferative complications after 38 days.
Рис. 3. Результаты флуоресцентной ангиографии левого глаза пациента после экстракорпоральной мембранной оксигенации: локальная гиперфлуоресценция и неоваскуляризация.
Fig. 3. OS fluorescence angiography after extracorporeal membrane oxygenation: local hyperfluorescence and neovascularization.
Лечение
Пациенту выполнена лазерная коагуляция сетчатки в зоне ишемии с помощью аппарата IRIDEX® (IRIDEX Corporation, Соединённые Штаты Америки) c длиной волны 532 нм. Её провели транспупиллярным доступом с использованием налобного бинокулярного офтальмоскопа в условиях операционной (рис. 4).
Рис. 4. Фотография глазного дна левого глаза пациента после лазерной коагуляции сетчатки: индуцированный регресс.
Fig. 4. OS fundus images after retinal laser coagulation: induced regression.
Исход и результаты последующего наблюдения
Пациент выписан из стационара в возрасте 1,5 мес. и продолжает регулярно наблюдаться у офтальмолога в поликлиническом отделении нашего центра.
Обсуждение
Описанный клинический случай демонстрирует развитие ангиопатии сетчатки у новорождённого, перенёсшего веноартериальную ЭКМО. В последующем, на фоне сосудистых изменений, наблюдали развитие неоваскуляризации, что свидетельствует о прогрессирующем нарушении ретинального кровоснабжения.
В поисковой системе PubMed мы обнаружили всего пять публикаций по данной теме: одна работа посвящена взрослым пациентам [10], а четыре — новорождённым [11–14]. Исследование H.M.J. Blegen и соавт. [10] демонстрирует высокие (55%) показатели острой патологии сетчатки, включая ретинопатию Пурчера (20%), внутриглазные кровоизлияния (50%) и септический хориоретинит (бактериальный или грибковый, 10%) у пациентов в возрасте от 26 до 50 лет, перенёсших процедуру ЭКМО. Авторы допускают возможность вторичного характера патологии глаз у данной группы пациентов, связывая её с осложнениями антикоагулянтной терапии, микротромбообразованием, септицемией и гемодинамической нестабильностью.
Результаты немногочисленных исследований, посвящённых изучению частоты и тяжести ретинальных сосудистых изменений, ассоциированных с неонатальной ЭКМО, опубликованы в 1993–1997 гг. [11–14]. В данных исследованиях участвовали от 37 до 171 пациента. Первичную офтальмоскопию проводили в течение 2–3 нед. после завершения ЭКМО. Так, частота случаев кровоизлияний в сетчатку составила 9–15%. Кроме того, все авторы отмечают, что выявленные геморрагии не угрожали зрению и не требовали лечения. T.L. Young и соавт. [13] обнаружили асимметричную васкулопатию у бóльшего числа пациентов, перенёсших веноартериальное шунтирование, при этом чаще патологию выявляли на левом глазу. Данная методика требует канюляции как правой сонной артерии, так и внутренней яремной вены, а после деканюляции эти сосуды перевязывают навсегда. Раннее сообщали о преимущественно левосторонних ретинальных сосудистых изменениях после ЭКМО, которые связаны с перевязкой данных сосудов. Тем не менее V.H. Gonzalez и соавт. [11] провели анализ результатов офтальмологических обследований 86 младенцев, перенёсших терапию ЭКМО, но не нашли никаких доказательств данного факта. Кроме того, для исключения случаев формирования транзиторных внутриглазных изменений вследствие ЭКМО авторы рекомендуют дальнейшие проспективные исследования с проведением офтальмологических обследований до, во время и после данной процедуры.
Известно, что кровотечения при неонатальной ЭКМО различной локализации и интенсивности имеют многофакторный характер и их наблюдают у половины пациентов [7]. Внутрижелудочковые кровоизлияния головного мозга у новорождённых всё чаще рассматривают как осложнение ЭКМО, которое не только ухудшает долгосрочный неврологический прогноз, но и усугубляет сопутствующие заболевания, способствуя развитию новых патологических состояний1 [7, 15, 16]. В свою очередь, литературные данные свидетельствуют о том, что офтальмологический статус детей, перенёсших терапию ЭКМО, не является предметом активного изучения. Однако, согласно последним международным сводным данным регистра Организации экстракорпоральной поддержки жизнедеятельности (Extracorporeal Life Support Organization, ELSO), зафиксировано повышение выживаемости после ЭКМО новорождённых и детей с 42 до 73%1. Популяция детей, выживших после ЭКМО, растёт, поскольку отмечают повышение частоты использования данной медицинской технологии во всём мире1 [16, 17]. Для долгосрочного (до подросткового возраста) амбулаторного наблюдения за данной категорией детей разработаны международные рекомендации ELSO, включающие оценку нейроразвития, поведения, функций лёгких и физической работоспособности [16].
Заключение
Таким образом, описанный клинический случай демонстрирует возможность развития ретинальной сосудистой патологии у новорождённых, перенёсших терапию ЭКМО. Именно поэтому они требуют обязательного офтальмологического обследования в ранние сроки после окончания процедуры, а также наблюдения специалистов, включая офтальмолога, в катамнезе в связи с риском развития ретинальной патологии.
Дополнительная информация
Вклад авторов. Э.И. Сайдашева — концепция работы, редактирование текста рукописи; Ю.В. Горелик — редактирование текста рукописи, окончательное утверждение рукописи для публикации; Ф.В. Ковшов, К.В. Быков, А.Я. Тимофеева, А.В. Зорина — написание и редактирование текста рукописи. Все авторы одобрили рукопись (версию для публикации), а также согласились нести ответственность за все аспекты работы, гарантируя надлежащее рассмотрение и решение вопросов, связанных с точностью и добросовестностью любой её части.
Этическая экспертиза. Неприменимо.
Согласие на публикацию. Авторы не получили информированное согласие от законных представителей пациента на публикацию сведений о его здоровье в период госпитализации. Причина — не удалось установить связь с его законными представителями. Все представленные сведения обезличены.
Источники финансирования. Отсутствуют.
Раскрытие интересов. Авторы заявляют об отсутствии отношений, деятельности и интересов за последние три года, связанных с третьими лицами (коммерческими и некоммерческими), интересы которых могут быть затронуты содержанием статьи.
Оригинальность. При создании настоящей работы авторы не использовали ранее опубликованные сведения (текст, иллюстрации, данные).
Доступ к данным. Редакционная политика в отношении совместного использования данных к настоящей работе не применима.
Генеративный искусственный интеллект. При создании настоящей статьи технологии генеративного искусственного интеллекта не использовали.
Рассмотрение и рецензирование. Настоящая работа подана в журнал в инициативном порядке и рассмотрена по обычной процедуре. В рецензировании участвовали два внешних рецензента, член редакционной коллегии и научный редактор издания.
Additional information
Author contributions: E.I. Saidasheva: conceptualization, writing—review& editing; Yu.V. Gorelik: writing—review & editing, final approval of the manuscript; F.V. Kovshov, K.V. Bykov, A.Ya. Timofeeva, A.V. Zorina: writing—original draft, writing—review & editing. All the authors approved the version of the manuscript to be published and agreed to be accountable for all aspects of the work, ensuring that questions related to the accuracy or integrity of any part of the work are appropriately investigated and resolved.
Ethics approval: Not applicable.
Consent for publication: Informed consent was not obtained from the patient’s legal representatives for publication of individual health information during hospital stay. The reason was failure to contact the legal representatives. All data presented are anonymized.
Funding sources: No funding.
Disclosure of interests: The authors have no relationships, activities, or interests for the last three years related to for-profit or not-for-profit third parties whose interests may be affected by the content of the article.
Statement of originality: No previously published material (text, images, or data) was used in this work.
Data availability statement: The editorial policy for shared data use is not applicable to this article.
Generative AI: No generative artificial intelligence technologies were used to prepare this paper.
Provenance and peer review: This paper was submitted unsolicited and reviewed following the standard procedure. The peer review process involved two external reviewers, a member of the editorial board, and the in-house scientific editor.
1 Registry Report International Summary 2021. В: Extracorporeal Life Support Organization (ELSO) [Internet]. Ann Arbor: Extracorporeal Life Support Organization; 2021–2025. Режим доступа: https://www.elso.org/registry/internationalsummaryandreports/internationalsummary.aspx Дата обращения: 24.01.2025.
About the authors
Elvira I. Saydasheva
North-Western State Medical University named after I.I. Mechnikov; Children’s City Multidisciplinary Clinical Specialized Center of High Medical Technologies, Saint Petersburg
Author for correspondence.
Email: esaidasheva@mail.ru
ORCID iD: 0000-0003-4012-7324
SPIN-code: 7800-3264
MD, Dr. Sci. (Medicine), Professor
Russian Federation, Saint Petersburg; Saint PetersburgYulia V. Gorelik
Children’s City Multidisciplinary Clinical Specialized Center of High Medical Technologies, Saint Petersburg
Email: gorelikjv@mail.ru
ORCID iD: 0000-0002-9953-105X
MD
Russian Federation, Saint PetersburgFedor V. Kovshov
Children’s City Multidisciplinary Clinical Specialized Center of High Medical Technologies, Saint Petersburg
Email: fedor_vk@mail.ru
ORCID iD: 0000-0001-6039-1398
MD
Russian Federation, Saint PetersburgAleksandra Ya. Timofeeva
Children’s City Multidisciplinary Clinical Specialized Center of High Medical Technologies, Saint Petersburg
Email: sunka@inbox.ru
ORCID iD: 0009-0005-2152-7324
MD
Russian Federation, Saint PetersburgKirill V. Bykov
Children’s City Multidisciplinary Clinical Specialized Center of High Medical Technologies, Saint Petersburg
Email: Kvbykov92@gmail.com
ORCID iD: 0000-0002-5921-7840
MD
Russian Federation, Saint PetersburgAnastasiya V. Zorina
Children’s City Multidisciplinary Clinical Specialized Center of High Medical Technologies, Saint Petersburg
Email: nastya.belyakova957@mail.ru
ORCID iD: 0009-0004-2733-4526
MD
Russian Federation, Saint PetersburgReferences
- Яковлева А.В., Тризна Е.В., Нохрин А.В., и др. Применение экстракорпоральной мембранной оксигенации у новорождённых с рефрактерной гипоксемией во время медицинской эвакуации // Российский вестник перинатологии и педиатрии. 2022. Т. 67, № 3. С. 92–99. | Yakovlev AV, Trizna EV, Nokhrin AV, et al. Application of extracorporeal membrane oxygenation in newborns with refractory hypoxemia during medical evacuation. Russian Bulletin of Perinatology and Pediatrics. 2022;67(3):92–99. doi: 10.21508/1027-4065-2022-67-3-92-99 EDN: WANUTQ
- Barbaro RP, Paden ML, Guner YS, et al. Pediatric extracorporeal life support organization registry international report 2016. ASAIO Journal. 2017;63(4):456–463. doi: 10.1097/MAT.0000000000000603
- Amodeo I, Di Nardo M, Raffaeli G, et al. Neonatal respiratory and cardiac ECMO in Europe. European Journal of Pediatrics. 2021;180(6):1675–1692. doi: 10.1007/s00431-020-03898-9 EDN: RBARIU
- Hirschl R, Bartlett RH. Extracorporeal membrane oxygenation support in cardiorespiratory failure. Advances in Surgery. 1988;21:189–211.
- Мальцева О.С., Пшениснов К.В., Шелухин Д.А., и др. Экстракорпоральная мембранная оксигенация в педиатрии и неонатологии // Медицина: теория и практика. 2018. Т. 3, № 4. С. 108–114. | Maltseva OS, Pshenisnov KV, Shelukhin DA, et al. Extracorporal membrane oxygenation in pediatrics and the neonatology. Medicine: Theory and Practice. 2018;3(4):108–114. EDN: YZPBOH
- Van Ommen CH, Neunert CE, Chitlur MB. Neonatal ECMO. Front Med (Lausanne). 2018;5:289. doi: 10.3389/fmed.2018.00289
- Dalton HJ, Reeder R, Garcia-Filion P, et al. Factors associated with bleeding and thrombosis in children receiving extracorporeal membrane oxygenation. American Journal of Respiratory and Critical Care Medicine. 2017;196(6):762–771. doi: 10.1164/rccm.201609-1945OC
- Cashen K, Meert K, Dalton H. Anticoagulation in neonatal ECMO: an enigma despite a lot of effort! Frontiers in Pediatrics. 2019;7:366. doi: 10.3389/fped.2019.00366
- Xiong J, Zhang L, Bao L. Complications and mortality of venovenous extracorporeal membrane oxygenation in the treatment of neonatal respiratory failure: a systematic review and meta-analysis. BMC Pulmonary Medicine. 2020;20(1):1–10. doi: 10.1186/s12890-020-1144-8 EDN: JQAVPC
- Blegen HMJ, Plaster AL, Hobbs SD, et al. Posterior segment findings in patients on extracorporeal membrane oxygenation. Journal of VitreoRetinal Diseases. 2020;4(6):490–493. doi: 10.1177/2474126420937172 EDN: XFQPFW
- Gonzalez VH, Ober RR, Borchert MS, et al. Ocular findings in neonates after extracorporeal membrane oxygenation. Retina. 1993;13(3):202–207. doi: 10.1097/00006982-199313030-00003
- Pollack JS, Tychsen L. Prevalence of retinal hemorrhages in infants after extracorporeal membrane oxygenation. American Journal of Ophthalmology. 1996;121(3):297–303. doi: 10.1016/S0002-9394(14)70278-8
- Young TL, Quinn GE, Baumgart S, et al. Extracorporeal membrane oxygenation causing asymmetric vasculopathy in neonatal infants. Journal of American Association for Pediatric Ophthalmology and Strabismus. 1997;1(4):235–240. doi: 10.1016/S1091-8531(97)90044-6
- Varn MM, Donahue ML, Saunders RA, et al. Retinal examinations in infants after extracorporeal membrane oxygenation. Journal of Pediatric Ophthalmology & Strabismus. 1997;34(3):182–185. doi: 10.3928/0191-3913-19970501-10
- Herrup EA, Wieczorek B, Kudchadkar SR. Characteristics of postintensive care syndrome in survivors of pediatric critical illness: A systematic review. World Journal of Critical Care Medicine. 2017;6(2):124–134. doi: 10.5492/wjccm.v6.i2.124
- Ijsselstijn H, Schiller RM, Holder C, et al. Extracorporeal life support organization (ELSO) guidelines for follow-up after neonatal and pediatric extracorporeal membrane oxygenation. ASAIO Journal. 2021;67(9):955–963. doi: 10.1097/mat.0000000000001525 EDN: GLORAT
- Valencia E, Nasr VG. Updates in pediatric extracorporeal membrane oxygenation. Journal of Cardiothoracic and Vascular Anesthesia. 2020;34(5):1309–1323. doi: 10.1053/j.jvca.2019.09.006 EDN: OWDSZN
Supplementary files







