Combined hamartoma of retina and retinal pigment epithelium in children: clinical features
- Authors: Katargina L.A.1, Denisova E.V.1, Osipova N.A.1, Getadaryan V.R.1
-
Affiliations:
- National Medical Research Center of Eye Diseases named after Helmholtz
- Issue: Vol 20, No 3 (2025)
- Pages: 154-163
- Section: Original study article
- Published: 30.09.2025
- URL: https://ruspoj.com/1993-1859/article/view/688884
- DOI: https://doi.org/10.17816/rpoj688884
- EDN: https://elibrary.ru/DHAWYH
- ID: 688884
Cite item
Abstract
BACKGROUND: Hamartomas (from the Greek hamartia—error) are developmental anomalies caused by abnormal proliferation of cells in their physiological location. Among them, combined hamartoma of the retina and retinal pigment epithelium is of particular interest due to its rarity, diverse clinical manifestations and the challenges associated with interpreting instrumental diagnostic findings.
AIM: The work aimed to analyze the differential diagnostic features of combined hamartoma of the retina and retinal pigment epithelium in children based on clinical examination and optical coherence tomography data.
METHODS: A single-center, cross-sectional retrospective study was conducted. The study included medical records of patients examined at the Helmholtz National Medical Research Center of Eye Diseases between 2016 and 2025. Clinical and morphological characteristics of combined hamartoma of the retina and retinal pigment epithelium in children were analyzed with emphasis on identifying a set of differential diagnostic criteria.
RESULTS: The study included 14 children (16 eyes) with a confirmed diagnosis of combined hamartoma of the retina and retinal pigment epithelium. The age of the children at examination ranged from 1.4 to 8 years, with a mean of 6 ± 2.8 years. The retrospective analysis revealed that the most typical manifestation of combined hamartoma of the retina and retinal pigment epithelium was the presence of an epiretinal membrane. In some cases, signs of traction syndrome were observed, characterized by specific retinal architectural changes on optical coherence tomography: mini-peaks, maxi-peaks, the “omega sign” and the “shark teeth” phenomenon. In addition, some patients exhibited retinal thickening at the site of the hamartoma, the development of choroidal neovascularization and other traction-related changes. These findings confirm that the combination of ophthalmoscopic appearance, patient history and structural characteristics identified by optical coherence tomography provides the most comprehensive assessment of disease course and allows differentiation from vitreoretinal traction syndromes of other etiologies.
CONCLUSION: Combined hamartoma of the retina and retinal pigment epithelium is a very rare, often unilateral developmental anomaly of the retina that can lead to significant visual loss in cases with central fundus involvement. The condition has characteristic ophthalmoscopic and optical coherence tomography features, knowledge of which enables timely diagnosis and appropriate management of affected patients.
Full Text
Обоснование
Гамартомы (от греч. hamartia — ошибка) представляют пороки развития, обусловленные аномальной пролиферацией клеток в области их физиологической локализации [1]. В большинстве случаев они имеют доброкачественный характер и отличаются медленным ростом, однако в литературе описаны редкие случаи их злокачественной трансформации. Гамартомы могут формироваться в различных органах и тканях, зачастую протекают бессимптомно и их выявляют случайно при обследовании по поводу других заболеваний [2].
Гамартомы сетчатки и диска зрительного нерва представляют гетерогенную группу пороков развития, включающую астроцитарную гамартому, врождённую гипертрофию ретинального пигментного эпителия (РПЭ), простую врождённую гамартому РПЭ, комбинированную гамартому сетчатки и РПЭ, а также капиллярные и кавернозные гемангиомы сетчатки [2]. Среди них особый интерес представляет комбинированная гамартома сетчатки и РПЭ, характеризующаяся редкой встречаемостью, разнообразием клинических проявлений и сложностями интерпретации инструментальных методов исследования.
Актуальность изучения данной патологии обусловлена несколькими факторами. Во-первых, число публикаций, посвящённых клинико-инструментальным особенностям комбинированной гамартомы сетчатки и РПЭ, остаётся крайне ограниченным [3–10]. Во-вторых, вариабельность её морфологических и функциональных проявлений нередко приводит к поздней диагностике или ошибочной интерпретации клинической картины [6, 10], что влечёт за собой выбор неадекватной тактики ведения пациентов. В-третьих, представляется очевидным, что несвоевременное распознавание заболевания сопряжено с риском необратимого снижения часто исходно низких зрительных функций.
Таким образом, возникает необходимость детального анализа клинических и инструментально-диагностических признаков комбинированной гамартомы сетчатки и РПЭ у детей, что позволит повысить точность дифференциальной диагностики и оптимизировать подходы к ведению пациентов.
Цель
Анализ дифференциально-диагностических признаков комбинированной гамартомы сетчатки и РЭП у детей на основании данных клинического обследования и оптической когерентной томографии (ОКТ).
Методы
Дизайн исследования
Проведено одноцентровое одномоментное с ретроспективным анализом данных.
Условия проведения исследования
В исследование включали данные медицинской документации пациентов, проходивших обследование в Национальном медицинском исследовательском центре глазных болезней имени Гельмгольца в период с 2016 по 2025 год.
Критерии соответствия
Критерии включения:
- дети с установленным диагнозом комбинированной гамартомы сетчатки и РПЭ в соответствии с критериями, предложенными J.D. Gass [3];
- дети, в медицинских картах которых присутствует описание офтальмологического обследования и результаты ОКТ поражённого глаза.
Критерии исключения:
- медицинские карты с неполной клинической информацией;
- отсутствие результатов ОКТ;
- низкое качество изображений ОКТ или наличие артефактов, затрудняющих интерпретацию данных.
Целевые показатели исследования
Основной показатель исследования
Характеристика клинических и морфологических признаков комбинированной гамартомы сетчатки и РПЭ у детей с выделением совокупности дифференциально-диагностических критериев.
Методы измерения целевых показателей
Регистрацию целевых показателей исследования осуществляли на основании данных амбулаторных карт и протоколов офтальмологических обследований, включая результаты офтальмоскопии и ОКТ. Оценивали жалобы пациентов, сроки постановки диагноза, локализацию и особенности поражения, максимально корригированную остроту зрения (МКОЗ).
Кроме того, анализировали архивные сканы ОКТ, полученные с помощью оптических когерентных томографов RS-3000 Advance 2 (Nidek®, Япония) и Spectralis (Heidelberg Engineering®, Германия). Оценивали толщину сетчатки в зоне гамартомы, наличие эпиретинальной мембраны (ЭРМ), признаки тракционного синдрома, характерные изменения сетчатки по данным ОКТ, а также наличие сопутствующей патологии, включая хориоидальную неоваскуляризацию (ХНВ).
Все результаты фиксировали в электронной форме с обязательными полями для каждого пациента.
Этическая экспертиза
Исследование проведено в соответствии с Хельсинкской декларацией Всемирной медицинской ассоциации (редакция 2013 года), получено согласие родителей в соответствии с принципами, одобренными этическим комитетом Национального медицинского исследовательского центра глазных болезней имени Гельмгольца (Москва, Россия).
Статистический анализ
Запланированный размер выборки
Размер выборки предварительно не рассчитывали. Он обусловлен редкостью патологии.
Статистические методы
Для статистического анализа использовали программу Microsoft Excel® 2021 (Microsoft Corporation, Соединённые Штаты Америки). Анализ результатов проводили с помощью методов описательной статистики. Результаты представлены в виде абсолютных и относительных величин. Количественные показатели представлены в виде среднего арифметического.
Результаты
Характеристики выборки
В исследование включено 14 детей (16 глаз) с подтверждённым диагнозом комбинированной гамартомы сетчатки и РПЭ. Возраст детей на момент обследования варьировал от 1,4 года до 8 лет, составив в среднем 6±2,8 года. Распределение по полу среди детей составило 2,5:1 (10 мальчиков и 4 девочки).
Основные результаты исследования
У 13 пациентов поражение носило изолированный характер, у одного ребёнка патология ассоциирована с нейрофиброматозом типа I. По локализации поражения у двух детей наблюдали бинокулярную гамартому (в том числе у ребёнка с нейрофиброматозом типа I), у девяти пациентов — правостороннюю, у трёх — левостороннюю.
Основными жалобами, ставшими поводом для обращения к офтальмологу, у детей младше 6 лет было косоглазие, тогда как у детей старшего возраста — заболевание чаще выявляли случайно при снижении зрения одного глаза. У трёх детей жалоб не отмечали (в возрасте 1 года и 4 лет — в связи с ограниченными возможностями субъективной оценки зрения; 12 лет — в связи с нецентральной локализацией гамартомы). В свою очередь, врач-офтальмолог выявил изменения глазного дна при диспансерном осмотре.
Только в 50% случаев установлен правильный диагноз при первом обследовании. Трое детей направлены в Национальный медицинский исследовательский центр глазных болезней имени Гельмгольца с диагнозом увеит (двум из них по месту жительства провели курс противовоспалительной терапии без эффекта). Четырёх пациентов наблюдали с диагнозом косоглазие и амблиопия на протяжении от 2–4 лет до постановки окончательного диагноза. Стоит отметить, что срок от момента появления жалоб до установления правильного диагноза варьировал от 2 мес. до 10 лет.
Локализация гамартомы по данным офтальмоскопии и ОКТ была следующей:
- в макулярной зоне — 13 глаз;
- парамакулярно — один глаз
- перипапиллярно — один глаз
- на средней периферии — один глаз.
При офтальмоскопии определяли проминирующее образование сероватой окраски с нечёткими контурами, ЭРМ и аномальным ходом ретинальных сосудов над образованием и перифокально (рис. 1).
Рис. 1. Офтальмоскопическая картина комбинированной гамартомы сетчатки и ретинального пигментного эпителия макулярной локализации у ребёнка 1,4 года: проминирующее образование сероватой окраски с нечёткими контурами, эпиретинальной мембраной и аномальным ходом ретинальных сосудов.
Fig. 1. Ophthalmoscopic image of combined hamartoma of the retina and retinal pigment epithelium of macular localization in a 1.4-year-old child: a prominent grayish lesion with blurred borders, an epiretinal membrane and abnormal retinal vessel course.
МКОЗ при макулярной и перипапиллярной локализации гамартомы варьировала от 0,02 до 0,3, тогда как у двух детей младше 2 лет определялась на уровне «предметного зрения». При парамакулярной и периферической локализации гамартомы МКОЗ составляла 1,0.
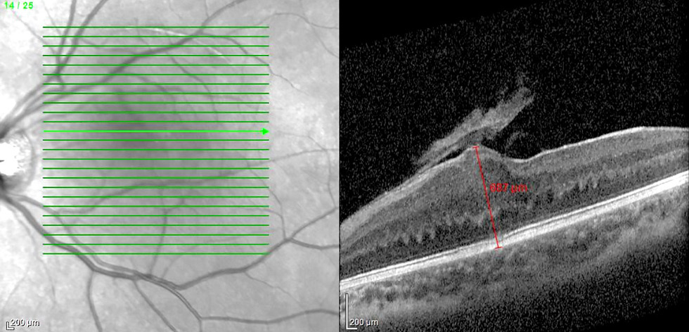
По данным ОКТ, максимальная толщина сетчатки в зоне гамартомы варьировала от 476 до 841 мкм (в среднем 691). ЭРМ определяли во всех случаях. Выраженный тракционный синдром, характеризующийся наличием складок сетчатки вследствие тангенциального натяжения, диагностирован у 10 детей [в 11 из 13 глаз с комбинированной гамартомой макулярной локализации (84,6%)] (рис. 2). В двух глазах с макулярной и перипапиллярной локализацией гамартомы отмечали незначительную тракцию сетчатки в центральной зоне со стороны ЭРМ (рис. 3).
Рис. 2. Оптическая когерентная томограмма сетчатки ребёнка 8 лет с комбинированной гамартомой сетчатки и ретинального пигментного эпителия: деформация витреоретинального профиля макулярной зоны, утолщение и дезорганизация слоёв сетчатки с формированием складок, эпиретинальная мембрана. Максимально корригированная острота зрения 0,15.
Fig. 2. Optical coherence tomography (OCT) of the retina in an 8-year-old child with combined hamartoma of the retina and retinal pigment epithelium: deformation of the vitreoretinal profile in the macular zone, thickening and disorganization of retinal layers with fold formation, epiretinal membrane. Best corrected visual acuity (BCVA) 0.15.
Рис 3. Оптическая когерентная томограмма комбинированной гамартомы сетчатки и ретинального пигментного эпителия: a — макулярная локализации у ребёнка 4 лет: деформация витреоретинального профиля макулярной зоны, утолщение и дезорганизация внутренних слоёв сетчатки, эпиретинальная мембрана. Максимально корригированная острота зрения 0,2; b — перипапиллярная локализация у ребёнка 4 лет: деформация витреоретинального профиля макулярной зоны, парапапиллярно с височной стороны утолщение и дезорганизация внутренних слоёв сетчатки, эпиретинальная мембрана. Максимально корригированная острота зрения 0,05.
Fig. 3. OCT of combined hamartoma of the retina and retinal pigment epithelium: a, macular localization in a 4-year-old child: deformation of the vitreoretinal profile in the macular zone, thickening and disorganization of inner retinal layers, epiretinal membrane. Best corrected visual acuity 0.2; b, peripapillary localization in a 4-year-old child: deformation of the vitreoretinal profile in the macular zone, parapaillary thickening and disorganization of inner retinal layers on the temporal side, epiretinal membrane. Best corrected visual acuity 0.05.
Среди других характерных признаков ОКТ комбинированной гамартомы сетчатки и РПЭ мы выявили:
- в шести глазах мини-пики — пилообразный рисунок витреоретинального контура или наружного плексиформного слоя [11] (рис. 4);
- в семи глазах макси-пики — складки сетчатки по всей толщине [11] (рис. 5);
- в двух глазах «знак омега» — образуется за счёт глубоких складок сетчатки (двух макси-пиков), обусловлен сочетанным воздействием вертикальной тракции от наружного плексиформного слоя к внутренним слоям сетчатки и тангенциальной тракции вследствие сокращения ЭРМ [12] (рис. 6);
- в четырёх глазах «зубы акулы» — треугольные гиперрефлективные изменения в наружном ядерном слое [13] (рис. 7).
В одном глазу диагностирована ХНВ, локализованная перифокально по отношению к комбинированной гамартоме (рис. 8).
Рис. 4. Оптическая когерентная томограмма сетчатки ребёнка 10 лет с комбинированной гамартомой сетчатки и ретинального пигментного эпителия: деформация витреоретинального профиля макулярной зоны, эпиретинальная мембрана, складчатость на уровне наружного плексиформного слоя (мини-пики). Максимально корригированная острота зрения 0,15.
Fig. 4. OCT of the retina in a 10-year-old child with combined hamartoma of the retina and retinal pigment epithelium: deformation of the vitreoretinal profile in the macular zone, epiretinal membrane, outer plexiform layer folds (“mini-peaks”). Best corrected visual acuity 0.15.
Рис. 5. Оптическая когерентная томограмма сетчатки ребёнка 4 лет с комбинированной гамартомой сетчатки и ретинального пигментного эпителия: деформация витреоретинального профиля макулярной зоны, эпиретинальная мембрана, глубокие складки сетчатки (макси-пики). Максимально корригированная острота зрения 0,03.
Fig. 5. OCT of the retina in a 4-year-old child with combined hamartoma of the retina and retinal pigment epithelium: deformation of the vitreoretinal profile in the macular zone, epiretinal membrane, deep retinal folds (“maxi-peaks”). Best corrected visual acuity 0.03.
Рис. 6. Оптическая когерентная томограмма сетчатки ребёнка 1,4 года с комбинированной гамартомой сетчатки и ретинального пигментного эпителия: деформация витреоретинального профиля макулярной зоны, эпиретинальная мембрана, складки сетчатки, формирующие «знак омега».
Fig. 6. OCT of the retina in a 1.4-year-old child with combined hamartoma of the retina and retinal pigment epithelium: deformation of the vitreoretinal profile in the macular zone, epiretinal membrane, retinal folds forming the “omega sign”.
Рис. 7. Оптическая когерентная томограмма сетчатки ребёнка 4 лет с комбинированной гамартомой сетчатки и ретинального пигментного эпителия: деформация витреоретинального профиля макулярной зоны, эпиретинальная мембрана, треугольные гиперрефлективные изменения в наружном ядерном слое («зубы акулы»). Максимально корригированная острота зрения 0,03.
Fig. 7. OCT of the retina in a 4-year-old child with combined hamartoma of the retina and retinal pigment epithelium: deformation of the vitreoretinal profile in the macular zone, epiretinal membrane, triangular hyperreflective changes in the outer nuclear layer (“shark teeth”). Best corrected visual acuity 0.03.
Рис. 8. Оптическая когерентная томограмма сетчатки ребёнка 11 лет с хориоидальной неоваскулярной мембраной, развившейся на фоне комбинированной гамартомы сетчатки и ретинального пигментного эпителия: деформация витреоретинального профиля макулярной зоны за счёт субретинального гиперрефлективного образования, перифокальная дезорганизация слоёв сетчатки. Максимально корригированная острота зрения 0,02.
Fig. 8. OCT of the retina in an 11-year-old child with choroidal neovascular membrane secondary to combined hamartoma of the retina and retinal pigment epithelium: deformation of the vitreoretinal profile in the macular zone due to a subretinal hyperreflective lesion, perifocal disorganization of retinal layers. Best corrected visual acuity 0.02.
Обсуждение
Резюме основного результата исследования
По данным проведённого ретроспективного анализа выявлено, что наиболее характерными проявлениями комбинированной гамартомы сетчатки и РПЭ является наличие ЭРМ. В некоторых случаях регистрировали признаки тракционного синдрома, проявлявшиеся специфическими изменениями архитектоники сетчатки по данным ОКТ: мини-пики, макси-пики, феномен «знак омега», а также «зубы акулы». Кроме того, у части пациентов отмечали утолщение сетчатки в зоне гамартомы, формирование ХНВ и другие изменения, связанные с тракционным синдромом. Полученные данные подтверждают, что совокупность офтальмоскопической картины, анамнестических сведений и структурных характеристик по данным ОКТ позволяет наиболее комплексно оценить особенности течения заболевания и дифференцировать его с витреоретинальными тракционными синдромами другой этиологии.
Интерпретация результатов исследования
Комбинированная гамартома сетчатки и РПЭ — редкая врождённая аномалия. В нашем отделе за 8 лет обследовано всего 13 детей с данным диагнозом, что составляет около 0,08% среди всех пациентов. В литературе найдена только одна публикация отечественных авторов, посвящённая описанию 8 случаев комбинированной гамартомы [10], тогда как зарубежные источники включают несколько десятков статей, преимущественно с анализом единичных наблюдений; наиболее крупные из них охватывают соответственно 60 и 77 случаев комбинированной гамартомы [4, 6].
Впервые как самостоятельную нозологическую форму комбинированну гамартому сетчатки и РПЭ описал J.D. Gass [3] в 1973 году. Автор представил семь случаев заболевания (пять у детей и два у взрослых молодого возраста) и обобщил его клинические характеристики:
- слегка приподнятая чёрная или угольно-серая мальформация, вовлекающая РПЭ, сетчатку и прилежащее стекловидное тело;
- основание образования представлено плоским слоем интенсивно пигментированной ткани, плавно переходящей в окружающий РПЭ;
- центральные и внутренние части гамартомы состоят из утолщённой серо-белой сетчатки и преретинальной ткани;
- тракция внутренней поверхности вызывает деформацию и смещение сетчатки и ретинальных кровеносных сосудов к центру поражения;
- отсутствуют атрофия РПЭ и изменения хориоидеи по краю поражения;
- поражение не сопровождается отслойкой сетчатки, кровоизлияниями, экссудацией и воспалительными клетками в стекловидном теле.
В качестве важных дифференциально-диагностических признаков офтальмоскопической картины выделены пятнистая пигментация образования, наличие преретинальной мембраны и характерный рисунок расширенных капилляров.
Анализ гистологических данных ранее клинически идентичных случаев, при которых по ошибке выполняли энуклеацию в связи с подозрением на увеальную меланому, позволил J.D. Gass [3] выделить морфологические особенности заболевания:
- утолщение сетчатки и зрительного нерва в зоне поражения;
- замещение нормальной архитектоники сетчатки и зрительного нерва диспластической глиальной сосудистой тканью с тяжами и пластами пигментных эпителиальных клеток;
- дупликатура РПЭ (в норме представленного монослоем);
- наличие пласта фиброзной ткани, покрывающего складчатую переднюю поверхность поражения.
Дальнейший анализ гистологических исследований позволил заключить, что комбинированная гамартома сетчатки и РПЭ состоит из различных пропорций меланоцитарных, сосудистых и глиальных клеток. Вариации в составе типов клеток определяют гетерогенность клинических проявлений заболевания [4, 7]. Кроме того, существуют данные, свидетельствующие о начале развития комбинированной гамартомы с внутренних слоёв с постепенным распространением на всю толщину сетчатки [5].
Основными методами диагностики комбинированной гамартомы сетчатки и РПЭ являются офтальмоскопия и ОКТ. Офтальмоскопическая картина характеризуется проминирующим образованием сероватой окраски с неравномерной пигментацией с нечёткими контурами, размер которого широко варьирует (от 1 до 10 мм и более). Кроме того, отмечают также аномальный ход ретинальных сосудов (извитость или выпрямленность), обусловленный тракционным воздействием со стороны ЭРМ, выявляемой в 64–100% случаев [3–6]. Комбинированная гамартома может локализоваться эпи- или перипапиллярно (наиболее часто), в макуле и на средней периферии [3, 5, 6]. В нашем исследовании она преимущественно располагалась в макулярной зоне (в 13 из 16 глаз), реже — парамакулярно, перипапиллярно и на средней периферии (по одному случаю). По данным R. Gupta и соавт. [9], перипапиллярная локализация является наиболее неблагоприятной: при ней чаще наблюдают поражение сетчатки на всю толщину, формирование интраретинальных кист, разрывы эллипсоидной зоны, дефекты РПЭ и развитие ХНВ. При макулярной локализации, напротив, чаще выявляют преретинальный фиброз, макси-пики и вовлечение наружного плексиформного слоя по данным ОКТ.
Характерными диагностическими критериями комбинированной гамартомы по данным ОКТ являются ЭРМ, а также так называемые мини-пики, макси-пики, «знак омега», «зубы акулы», обусловленные тракционным синдромом на разных уровнях сетчатки и различной степени выраженности [11–13]. При этом ЭРМ определяется во всех случаях комбинированной гамартомы сетчатки и РПЭ макулярной локализации [14], тогда как остальные признаки, выявляемые по данным ОКТ, встречаются не всегда, и их отсутствие не исключает диагноз. Так, S. Arepalli и соавт. [11] описали мини-пики в пяти из восьми глаз, макси-пики — в шести, а их сочетание — в трёх. В свою очередь, G. Ledesma-Gil и соавт. [5] выявили макси-пики в 25 из 50 глаз, «знак-омега» — в 28 из 50. В настоящем исследовании мини-пики отмечены в шести глазах, макси-пики — в семи, «знак омега» — в двух, а «зубы акулы» — в четырёх глазах. Однако следует учитывать, что подобные признаки могут встречаться и при витреоретинальном тракционном синдроме другой этиологии, например при эпиретинальной макулярной мембране, развивающейся как осложнение увеита, ретинопатии недоношенных, семейной экссудативной витреоретинопатии или травмы глаза. Это обусловливает необходимость комплексного анализа клинических, анамнестических и инструментально-диагностических данных.
Важно отметить, что, помимо диагностической значимости, ОКТ является также важным инструментом мониторинга витреоретинального интерфейса зоны гамартомы и оценки степени и стабильности тракции ЭРМ.
Источниками дополнительной диагностической информации являются флуоресцентная ангиография, ОКТ-ангиография, аутофлуоресценция, микропериметрия [7], а также ультразвуковое исследование глазного яблока, имеющие важное значение для дифференциальной диагностики. При флуоресцентной ангиографии описывают раннюю гипофлуоресценцию, обусловленную экранированием со стороны гамартомы, извитость сосудов и поздний ликедж [4]. По данным ОКТ-ангиографии выявляют аномальный ход и калибр сосудов [16]. Перипапиллярные пигментированные поражения характеризуются гипераутофлуоресценцией [9]. Микропериметрия демонстрирует снижение светочувствительности сетчатки, причём, как установили C. Bruè и соавт. [17], степень её выраженности коррелирует со степенью витреоретинальной адгезии в зоне сформировавшейся ЭРМ.
Общепринятой классификации комбинированной гамартомы сетчатки и РПЭ не существует. Однако J.D. Gass [3] выделил перипапиллярную, макулярную и периферическую локализацию образования. Позже V.S. Dedania и соавт. [18] предложили более подробную классификацию заболевания, учитывающую локализацию, особенности клинической картины и результаты ОКТ. В соответствии с данной классификацией выделяют три зоны локализации:
- макулярная/перипапиллярная — зона 1;
- средняя периферия — зона 2;
- дальняя периферия — зона 3.
По сопутствующим изменениям глазного дна определяют три стадии:
- нет тракции сетчатки — стадия 1;
- тракция сетчатки и/или ретиношизис — стадия 2;
- отслоение сетчатки — стадия 3.
По данным ОКТ выделяют три варианта:
- только эпиретинальный компонент — A;
- частичное вовлечение сетчатки — B;
- полное вовлечение сетчатки и РПЭ — C.
Комбинированная гамартома сетчатки и РПЭ обычно характеризуется монолатеральным поражением. По данным R.L. Font [7], заболевание чаще встречают у мужчин. Однако также существуют сведения, что его наблюдают с одинаковой частотой у мужчин и женщин [4, 5]. Большинство случаев заболевания являются спорадическими. Из системных поражений описана ассоциация с нейрофиброматозом типа II, реже — типа I, с синдромами Поланда и Горлина, а также бранхио-окуло-фациальным синдромом [5]. В нашей выборке гамартома была бинокулярной у 2 из 14 детей, а также ассоциирована с нейрофиброматозом типа I в одном случае. Кроме того, в 2,5 раза чаще наблюдалась у мальчиков.
Острота зрения пациентов с комбинированной гамартомой варьирует от 1,0 до светоощущения, что зависит от локализации опухоли [4–7, 10]. Так, в серии случаев, описанных A.Р. Schachat и соавт. [4], острота зрения в 45% глаз была 0,5 и выше, в то же время в 40% — 0,1 и ниже. По данным R.L. Font и соавт. [7], острота зрения 0,5 и выше отмечена в 28% случаев, 0,1 и ниже — также в 28%. В настоящем исследовании при макулярной и перипапиллярной локализации гамартомы острота зрения варьировала от 0,02 до 0,3, при этом в 5 из 14 глаз (35,7%) была 0,1 и ниже. В случаях парамакулярной и периферической локализации — 1,0.
Комбинированная гамартома — стационарное [3, 10] или медленно растущее [7] образование. Однако даже при отсутствии признаков роста возможно развитие осложнений. Наиболее частым является рост и/или тракция ЭРМ, что может приводить к нарастанию изменений сетчатки (образованию радиальных ретинальных складок, макулярному ретиношизису и хроническому макулярному отёку, тракционной отслойке сетчатки), а также к снижению зрения (в 24–37% случаев) [4, 6]. Редкими осложнениями являются формирование ХНВ (в 3% случаев) [4], экссудация липидов интраретинально (в 7–13% случаев) [3, 4, 6], преретинальная неоваскуляризация и витреальные кровоизлияния [19–21], формирование макулярного разрыва [6], кальцификация опухоли [22]. В нашем исследовании выраженный тракционный синдром отмечен в 11 из 16 глаз (68,7%), в 1 глазу (6,25%) наблюдали формирование ХНВ.
Дифференциальную диагностику комбинированной гамартомы сетчатки и РПЭ следует проводить со следующими патологическими изменениями глазного дна, включая идиопатическую ЭРМ, астроцитому, осложнения воспалительных процессов с формированием ЭРМ (токсокарозный, токсоплазмозный хориоретинит, периферический увеит и др.), посттравматические изменения, синдром «вьюнка», простую врождённую гамартому РПЭ, ретинопатию недоношенных, семейную экссудативную витреоретинопатию, а также с угрожающими опухолевыми заболеваниями, такими как меланома хориоидеи и ретинобластома.
У наших пациентов только в половине случаев правильный диагноз установлен при первом обращении к офтальмологу, при этом срок от появления жалоб до постановки окончательного диагноза варьировал от 2 мес. до 10 лет. Сложности своевременной диагностики комбинированной гамартомы сетчатки и РПЭ отмечали и А.А. Яровой и соавт. [10]: у всех 8 пациентов диагноз при направлении был ошибочным. Изменения сетчатки по месту жительства расценивали как её объёмное образование неизвестной этиологии (n=3), ретинобластома (n=2), последствие перенесённого внутриутробного хориоретинита (n=1), пигментный невус хориоидеи (n=1) и меланома хориоидеи (n=1). По данным зарубежных авторов, диагностическая точность также остаётся низкой: в серии из 60 случаев правильный диагноз при первичном обращении установлен только в 3% случаев [4], в более позднем исследовании — в 25% [6].
В литературе описаны случаи энуклеации глаз с комбинированной гамартомой сетчатки и РПЭ, ошибочно расценённой как меланома хориодеи [23–25]. Однако все они относятся к периоду, когда патологию ещё не выделили в отдельную нозологическую форму. В 1989 году R.L. Font и соавт. [7] сообщили о ещё одном случае энуклеации в связи с подозрением на юкстапапиллярную меланому с признаками прогрессирующего роста. Для установления правильного диагноза важен тщательный сбор анамнеза, а при подозрении на системный характер патологии — комплексная оценка соматического статуса с привлечением врачей других специальностей (педиатров/терапевтов, неврологов, дерматологов и др.). Наряду с характерной офтальмоскопической картиной, ключевым методом диагностики является ОКТ, позволяющая выявить типичные структурные изменения сетчатки и оценить осложнения, наиболее частым из которых является прогрессирование тракционного синдрома.
Ограничения исследования
Основным ограничением настоящего исследования является малый объём выборки, обусловленный редкостью (орфанным характером) заболевания. Низкая распространённость патологии существенно затрудняет формирование статистически значимой выборки и проведение статистического анализа.
Заключение
Комбинированная гамартома сетчатки и РПЭ — крайне редкая, чаще монолатеральная аномалия развития сетчатки, которая является причиной значимого снижения остроты зрения в случаях центральной локализации на глазном дне. Заболевание имеет характерную офтальмоскопическую картину и признаки, выявляемые по данным ОКТ, знание которых позволяет правильно поставить диагноз и выбрать правильную тактику ведения таких пациентов.
Дополнительная информация
Вклад авторов. Л.А. Катаргина — концепция и дизайн исследования, научное редактирование текста рукописи; Е.В. Денисова — анализ литературных данных, написание и редактирование текста рукописи; Н.А. Осипова — анализ данных, статистическая обработка, написание текста рукописи; В.Р. Гетадарян — редактирование текста рукописи. Все авторы одобрили рукопись (версию для публикации), а также согласились нести ответственность за все аспекты работы, гарантируя надлежащее рассмотрение и решение вопросов, связанных с точностью и добросовестностью любой её части.
Этическая экспертиза. Проведение исследования одобрено локальным этическим комитетом ФГБУ «НМИЦ ГБ им. Гельмгольца» Минздрава России (протокол № 52/2 от 04.03.2021). Законные представители всех участников исследования до включения в исследование подписали форму информированного согласия, утверждённую в составе протокола исследования этическим комитетом.
Согласие на публикацию. Авторы получили письменное информированное добровольное согласие законных представителей пациентов на публикацию персональных данных, в том числе фотографий, в научном журнале Российская педиатрическая офтальмология, включая его электронную версию.
Источники финансирования. Отсутствуют.
Раскрытие интересов. Авторы заявляют об отсутствии отношений, деятельности и интересов за последние три года, связанных с третьими лицами (коммерческими и некоммерческими), интересы которых могут быть затронуты содержанием статьи.
Оригинальность. При создании настоящей работы авторы не использовали ранее опубликованные сведения (текст, иллюстрации, данные).
Доступ к данным. Редакционная политика в отношении совместного использования данных к настоящей работе не применима.
Генеративный искусственный интеллект. При создании настоящей статьи технологии генеративного искусственного интеллекта не использовали.
Рассмотрение и рецензирование. Настоящая работа подана в журнал в инициативном порядке и рассмотрена по обычной процедуре. В рецензировании участвовали один внешний рецензент, член редакционной коллегии и научный редактор издания.
Additional information
Author contributions: L.A. Katargina: conceptualization, study design, writing—review & editing; E.V. Denisova: literature review, writing—original draft, writing—review & editing; N.A. Osipova: data curation, statistical processing, writing—original draft; V.R. Getadaryan: writing—review & editing. All the authors approved the version of the manuscript to be published and agreed to be accountable for all aspects of the work, ensuring that questions related to the accuracy or integrity of any part of the work are appropriately investigated and resolved.
Ethics approval: The study was approved by the local Ethics Committee of the Helmholtz National Medical Research Center for Eye Diseases, Ministry of Health of Russia (Minutes No. 52/2, dated March 4, 2021). The legal guardians of all participants signed an informed consent form approved by the Ethics Committee as part of the study protocol before enrollment.
Consent for publication: Written informed consent was obtained from the patient’s legal representatives for the publication of personal data, including photographs, in the Russian Pediatric Ophthalmology journal and its online version.
Funding sources: No funding.
Disclosure of interests: The authors have no relationships, activities, or interests for the last three years related to for-profit or not-for-profit third parties whose interests may be affected by the content of the article.
Statement of originality: No previously published material (text, images, or data) was used in this work.
Data availability statement: The editorial policy for shared data use is not applicable to this article.
Generative AI: No generative artificial intelligence technologies were used to prepare this paper.
Provenance and peer review: This paper was submitted unsolicited and reviewed following the standard procedure. The peer review process involved an external reviewer, a member of the editorial board, and the in-house scientific editor.
About the authors
Lyudmila A. Katargina
National Medical Research Center of Eye Diseases named after Helmholtz
Email: katargina@igb.ru
ORCID iD: 0000-0002-4857-0374
MD, Dr. Sci. (Medicine), Professor
Russian Federation, MoscowEkaterina V. Denisova
National Medical Research Center of Eye Diseases named after Helmholtz
Email: deale_2006@inbox.ru
ORCID iD: 0000-0003-3735-6249
SPIN-code: 4111-4330
MD, Cand. Sci. (Medicine)
Russian Federation, MoscowNataliya A. Osipova
National Medical Research Center of Eye Diseases named after Helmholtz
Author for correspondence.
Email: natashamma@mail.ru
ORCID iD: 0000-0002-3151-6910
SPIN-code: 5872-6819
MD, Cand. Sci. (Medicine)
Russian Federation, MoscowVostan R. Getadaryan
National Medical Research Center of Eye Diseases named after Helmholtz
Email: oftalmolog77@gmail.com
ORCID iD: 0000-0002-3250-4065
SPIN-code: 4045-0569
MD, Cand. Sci. (Medicine)
Russian Federation, MoscowReferences
- Batsakis JG. Nomenclature of Developmental Tumors. Annals of Otology, Rhinology & Laryngology. 1984;93(1):98–99. doi: 10.1177/000348948409300122
- Mirzayev I, Gündüz AK. Hamartomas of the Retina and Optic Disc. Turkish Journal of Ophthalmology. 2022;52(6):421–431. doi: 10.4274/tjo.galenos.2022.25979 EDN: XKJGQV
- Gass JD. An Unusual Hamartoma of the Pigment Epithelium and Retina Simulating Choroidal Melanoma and Retinoblastoma. Trans Am Ophthalmol Soc. 1973;71:171–183. Available from: https://pmc.ncbi.nlm.nih.gov/articles/PMC1310489/
- Schachat AP, Shields JA, Fine SL, et al. Combined Hamartomas of the Retina and Retinal Pigment Epithelium. Ophthalmology. 1984;91(12):1609–1615. doi: 10.1016/S0161-6420(84)34094-5
- Ledesma-Gil G, Essilfie J, Gupta R, et al. Presumed Natural History of Combined Hamartoma of the Retina and Retinal Pigment Epithelium. Ophthalmology Retina. 2021;5(11):1156–1163. doi: 10.1016/j.oret.2021.01.011 EDN: DSKCVX
- Shields CL, Thangappan A, Hartzell K, et al. Combined Hamartoma of the Retina and Retinal Pigment Epithelium in 77 Consecutive Patients. Ophthalmology. 2008;115(12):2246–2252.e3. doi: 10.1016/j.ophtha.2008.08.008
- Font RL, Moura RA, Shetlar DJ, et al. Combined Hamartoma of Sensory Retina and Retinal Pigment Epithelium. Retina. 1989;9(4):302–311. doi: 10.1097/00006982-198909040-00011
- Zhang X, Yang Y, Wen Y, et al. Description and Surgical Management of Epiretinal Membrane due to Combined Hamartoma of the Retina and Retinal Pigment Epithelium. Advances in Ophthalmology Practice and Research. 2023;3(1):9–14. doi: 10.1016/j.aopr.2022.09.001 EDN: IOPDVJ
- Gupta R, Fung AT, Lupidi M, et al. Peripapillary Versus Macular Combined Hamartoma of the Retina and Retinal Pigment Epithelium: Imaging Characteristics. American Journal of Ophthalmology. 2019;200:263–269. doi: 10.1016/j.ajo.2019.01.016
- Яровой А.А., Котова Е.С., Левашов И.А. Комбинированные гамартомы сетчатки и ретинального пигментного эпителия (клинические случаи) // Медицинский вестник Башкортостана. 2020. Т. 15, № 4. С. 47–51. | Yarovoy AA, Kotova ES, Levashov IA. Combined Hamartomas of the Retina and Retinal Pigment Epithelium: Clinical Cases. Bashkortostan Medical Journal. 2020;15(4):47–51. EDN: EHGPUO
- Arepalli S, Pellegrini M, Ferenczy SR, Shields CL. Combined Hamartoma of the Retina and Retinal Pigment Epithelium. Retina. 2014;34(11):2202–2207. doi: 10.1097/IAE.0000000000000220
- Kumar V, Chawla R, Tripathy K. Omega Sign: A Distinct Optical Coherence Tomography Finding in Macular Combined Hamartoma of Retina and Retinal Pigment Epithelium. Ophthalmic Surgery, Lasers and Imaging Retina. 2017;48(2):122–125. doi: 10.3928/23258160-20170130-05
- Arrigo A, Corbelli E, Aragona E, et al. Optical Coherence Tomography and Optical Coherence Tomography Angiography Evaluation of Combined Hamartoma of the Retina and Retinal Pigment Epithelium. Retina. 2019;39(5):1009–1015. doi: 10.1097/IAE.0000000000002053
- Shields CL. Optical Coherence Tomographic Findings of Combined Hamartoma of the Retina and Retinal Pigment Epithelium in 11 Patients. Archives of Ophthalmology. 2005;123(12):1746. doi: 10.1001/archopht.123.12.1746
- Chawla R, Kumar V, Tripathy K, et al. Сombined Hamartoma of the Retina and Retinal Pigment Epithelium: An Optical Coherence Tomography-Based Reappraisal. Am J Ophthalmol. 2017;181:88–96. doi: 10.1016/j.ajo.2017.06.020
- Gupta R, Pappuru RR, Fung KAT, et al. Filigree Vascular Pattern in Combined Hamartoma of Retina and Retinal Pigment Epithelium on OCT Angiography. Ophthalmology Retina. 2019;3(10):879–887. doi: 10.1016/j.oret.2019.04.024
- Bruè C, et al. Epiretinal Membrane Surgery for Combined Hamartoma of the Retina and Retinal Pigment Epithelium: Role of Multimodal Analysis. Clinical Ophthalmology. 2013;2013:179. doi: 10.2147/OPTH.S39909
- Dedania VS, Ozgonul C, Zacks DN, Besirli CG. Novel Classıfıcatıon System for Combıned Hamartoma of the Retına and Retınal Pıgment Epıthelıum. Retina. 2018;38(1):12–19. doi: 10.1097/IAE.0000000000001499
- Tsai TY, Chen KJ, Chao AN. Seven-year Follow-up of a Pediatric Patient With Combined Hamartoma of Retina and Retinal Pigment Epithelium Complicating With Preretinal Neovascularization and Vitreous Hemorrhage Treated With Intravitreal Injections of Bevacizumab. Taiwan Journal of Ophthalmology. 2022;13(4):556–559. doi: 10.4103/2211-5056.364566 EDN: WWLDHA
- Kahn D, Goldberg M, Jednock N. Combined Retinal-Retina Pigment Epithelial Hamartoma Presenting as a Vitreous Hemorrhage. Retina. 1984;4(1):40–43. doi: 10.1097/00006982-198400410-00006
- Moschos M, Ladas ID, Zafirakis PK, et al. Recurrent Vitreous Hemorrhages due to Combined Pigment Epithelial and Retinal Hamartoma: Natural Course and Indocyanine Green Angiographic Findings. Ophthalmologica. 2000;215(1):66–69. doi: 10.1159/000050829
- Cebulla CM, Flynn HW. Calcification of Combined Hamartoma of the Retina and Retinal Pigment Epithelium Over 15 years. Graefe’s Archive for Clinical and Experimental Ophthalmology. 2012;251(5):1455–1456. doi: 10.1007/s00417-012-2174-6
- Vogel MH, Zimmerman LE, Gass JDM. Proliferation of the Juxtapapillary Retinal Pigment Epithelium Simulating Malignant Melanoma. Documenta Ophthalmologica. 1969;26(1):461–481. doi: 10.1007/bf00944004 EDN: MVCOEU
- Theobald GD, Floyd G, Kirk HQ. Hyperplasia of the Retinal Pigment Epithelium. American Journal of Ophthalmology. 1958;45(4):235–240. doi: 10.1016/0002-9394(58)90248-4
- Machemer R. Die primäre retinale Pigmentepithelhyperplasie. Albrecht v. Graefes Arch. Ophthal. 1964;167(3):284–295. (In German) doi: 10.1007/BF00689782
Supplementary files










