Persistent hyperplastic primary vitreous syndrome and features of congenital cataract surgery and aphakia correction
- Authors: Kruglova T.B.1, Egiyan N.S.1
-
Affiliations:
- Helmholtz National Medical Research Center of Eye Diseases
- Issue: Vol 19, No 3 (2024)
- Pages: 139-145
- Section: Original study article
- Published: 07.12.2024
- URL: https://ruspoj.com/1993-1859/article/view/634839
- DOI: https://doi.org/10.17816/rpoj634839
- ID: 634839
Cite item
Abstract
Persistent hyperplastic primary vitreous (PHPV) is a rare, predominantly unilateral congenital eye pathology associated with delayed reverse development of the hyaloid artery and embryonic vascular membrane of the lens and often co-occurs with congenital cataract and microphthalmos.
AIM: To develop optimal differentiated tactics for surgical treatment and correction of aphakia in congenital cataract extraction in children with PHPV.
MATERIAL AND METHODS: Fifty-two children (54 eyes) aged 3–10 months to 1 year and 8 months with unilateral (50 eyes, 92.6%) and bilateral (4 eyes, 7.4%) congenital cataract with PHPV were studied. Grade I microphthalmos was noted in 15 eyes; grade II microphthalmos in 9 eyes; a fibrous cord coming from the optic nerve disk in 49 eyes; a persistent vascular bag of the lens in 12 eyes; posterior synechiae in 9 eyes; a retrolental membrane with vessels and elongated ciliary processes fixed to it, occupying 1/8 to 1/2 of the area of the posterior chamber of the eye in 16 eyes; and a dislocation of the lens in 2 eyes. The children were comprehensively examined by biomicroscopy, ophthalmoscopy, biometrics, tonometry, keratorefractometry, B-scanning, ultrasound biomicroscopy, and color Doppler mapping.
RESULTS: The clinical picture of eyes with congenital cataract in three groups of children, united by the severity of clinical manifestations of PHPV, was analyzed. Differentiated microsurgical tactics for the removal of congenital cataracts and indications for implantation of intraocular lenses are described.
CONCLUSION: The clinical picture of PHPV in children with congenital cataracts is characterized by pronounced polymorphism, indicating the need for a differentiated approach in determining the optimal timing of surgery, surgical tactics, and method of aphakia correction.
Full Text
INTRODUCTION
To date, congenital cataract (CC) remains one of the main causes of blindness and visual impairment, accounting for 17.3% of visual disability among children [1]. CC is a relatively rare, isolated lesion affecting the eyes. In 65.4%–77.3% of children, lens pathology co-occurs with other congenital eye changes, indicating the need for a differentiated approach to surgical tactics, the method of correction of aphakia and significantly affects the functional results of treatment [2–4]. Among congenital pathologies, persistent hyperplastic primary vitreous (PHPV) is the least studied, the frequency of which has increased in recent years.
PHPV is a rare, predominantly unilateral congenital eye pathology associated with delayed reverse development of the hyaloid artery and embryonic vascular membrane of the lens and often combined with CC and microphthalmos [5–7]. Moreover, it is characterized by a heterogeneous clinical picture with changes in the anterior and posterior parts of the eye. Difficulties in surgical treatment of CC in children with PHPV are associated with a pronounced polymorphism of clinical manifestations and a high risk of hemorrhagic and exudative proliferative complications owing to the high volume of surgical intervention: removal of the lens, retrolental membrane, coagulation of vessels of the persistent vascular bag of the lens, and separation of adhesions between ciliary processes and the capsule of the lens and between the anterior and posterior synechiae [8, 9].
The threat of deprivation amblyopia determines the need for early surgical intervention in the first months of a child’s life. Moreover, surgical treatment at an early age is accompanied by serious complications, both during surgery and in the postoperative period, including hemorrhagic complications, secondary glaucoma, corneal opacity, retinal detachment, and phthisis bulbi [10, 11]. This is due to extensive neovascularization of the iris, the presence of active vessels in it with remnants of the still full-blooded embryonic vascular bag of the lens, and extensive vascularization of the hyaloid commissure. Study findings show that by 6–8 months of a child’s life, the number of vessels decreases, they partially desolate, and the commissure becomes thinner.
The optimal method for correcting aphakia in children with VC is intraocular correction, which requires certain anatomical conditions, especially in infants. The lack of a standard method and scope of surgical treatment and correction of aphakia in CC in children with PHPV and the optimal timing of its implementation determined the purpose of this study.
Aim: This study aimed to develop optimal differentiated tactics for surgical treatment and correction of aphakia in the removal of CCs in children with PHPV.
MATERIAL AND METHODS
The results of surgical treatment of 52 children (54 eyes) with unilateral (50 eyes, 92.6%) and bilateral (4 eyes, 7.4%) CCs with PHPV were analyzed. Grade I microphthalmos was observed in 15 eyes and grade II microphthalmos in 9 eyes. A fibrous cord coming from the optic nerve disk (OND) was detected in 49 eyes; a persistent vascular bag of the lens in 12 eyes; posterior synechiae in 9 eyes; a retrolental membrane with vessels and elongated ciliary processes fixed to it, occupying 1/8 to 1/2 the area of the posterior chamber of the eye in 16 eyes; and dislocation of the lens in 2 eyes.
The age of the children at the time of surgery ranged from 3–10 months to 1 year and 8 months. Preoperative examinations were conducted, including biomicroscopy, ophthalmoscopy, biometry, tonometry, keratorefractometry, B-scan, color Doppler mapping, and electroretinography. Ultrasound biomicroscopy was performed to assess the structures of the posterior chamber of the eye. The tactics of surgical treatment were determined by the clinical form of cataract and severity of PHPV. CCs were removed by phacoaspiration or manual aspiration–irrigation and viscoaspiration with reparative interventions according to indications to restore the anterior and posterior chambers of the eye. Attempts were made to keep the posterior capsule of the lens intact. In the presence of fibrous layers on the posterior capsule, they were removed according to the developed technique (patent 2593357 of Russia, published on 08/10/2016; issue no. 22), or posterior capsulorhexis with limited anterior vitrectomy was performed 23–25 G. A posterior chamber hydrophobic intraocular lens (IOL) was implanted when indicated. The calculated strength of the IOL was 27.0–41.0 diopters, and the value of hypocorrection was 6.0–12.0 diopters, depending on the age of the child. Additionally, the strength of the implanted IOL ranged from 14.0 to 30.0 diopters.
RESULTS
Overall, 52 children (54 eyes) with CC with PHPV were observed. Considering the large clinical polymorphism of this pathology, which requires different surgical tactics, optimal timing of surgery, and differentiated approaches to the correction of aphakia, the patients were divided into three groups according to severity of manifestations of PHPV.
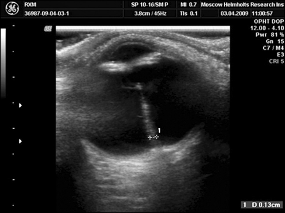
Group 1 (32 eyes) included children with the least pronounced manifestations of PHPV. The anteroposterior axis (APA) of the eye corresponded to the age norm or was slightly reduced by 0.5–0.8 mm (21 eyes). Ultrasound examination (B-scan and Dopplerography) showed a thin strand up to 1.0 mm in diameter in the depleted hyaloid artery, running from the OND to the posterior capsule of the lens or breaking off at different distances from the OND (Fig. 1).
Fig. 1. The weight of the neglected hyaloid artery running from the optic nerve disc to the posterior capsule of the lens. B-scan.
Biomicroscopic examination revealed no changes in the condition of the posterior chamber of the eye and its angle, iris, and ciliary processes. The following forms of CCs were distinguished: full forms on 5 eyes, posterior capsular on 24 eyes, and semi-detached in 3 eyes (Fig. 2).
Fig. 2. The posterior capsule shape of the congenital cataract. Hyaloid arteriosum extending from the posterior capsule to the optic nerve.
Group 2 (15 eyes) consisted of children with more pronounced manifestations of PHPV characterized by an uneven depth of the anterior chamber of the eye and presence of dilated vessels in the iris, often passing through a retrolental fibrous membrane occupying 1/8 to 1/2 of the area of the posterior capsule with elongated ciliary processes fixed to it at various lengths (Fig. 3).
Fig. 3. Anterior variant of the primary persistent hyperplastic vitreous syndrome. The full form of congenital cataract, newly formed vessels in the iris.
The full form of VC was observed in 6 eyes, semi-detached in 7 eyes, and posterior capsular in 2 eyes. In all the children, the APA of the eye reduced by 1.0–1.5 mm. The B-scan showed a wide strand of the hyaloid artery, often defined as prominence in the OND region or occupying the posterior third of the vitreal cavity.
Group 3 (7 eyes) consisted of children with the most pronounced changes in PHPV. The children had a small anterior chamber caused by an anterior displacement of the iridolenticular diaphragm. In these children, the following may be noted: increased intraocular pressure, neovascularization of the iris stroma with large vessels extending from its surface to the membrane, presence of iridocorneal and iridocapsular junctions, and elongated ciliary processes of varying severity (Fig. 4). Fibrous tissue was visualized behind the lens, occupying the entire area of the posterior capsule with elongated ciliary processes fixed to it (Fig. 5). The atypical form of CC with calcifications was observed in 3 eyes and the semi-detached form in 5 eyes.
Fig. 4. Anterior variant of рrimary persistent hyperplastic vitreous syndrome. The semi-absorbed form of congenital cataract, persistent vascular bag of the lens, iridocapsular fusion.
Fig. 5. Anterior variant of рrimary persistent hyperplastic vitreous syndrome. Anterior attachment of elongated ciliary processes, displacement of the lens.
The timing of CC removal in children with PHPV varied and depended on the nature of lens opacity (partial or complete) and clinical picture of PHPV. In the presence of pronounced opacity of the lens, which complicates ophthalmoscopy of the fundus with the risk of developing deprivation amblyopia, surgical treatment of CC was performed at an early date. A contraindication to early surgical treatment of CC in the first months of a child’s life was the presence of vascular activity of the iris. In such cases, surgical treatment of CC was performed at a later date as the vessels of the iris desolate.
Surgery of CCs with PHPV is based on the basic standards of cataract surgery using differentiated tactics, depending on the form and severity of PHPV and lens opacities. Group 1 exhibited the most optimal PHPV variant, which allowed most children to perform phacoaspiration of CC according to the traditional method and allowed creating a reliable capsule bag necessary for long-term fixation of IOLs in the child’s growing eye and perform surgery in the first months of the child’s life. Anterior capsulorhexis was performed with a traditional technique using a cystotome and vannas tweezers through a 1.25 mm incision. The rear capsule was preserved. In the presence of a fibrous film intimately soldered to the posterior capsule of the lens, its removal (separation from the posterior capsule) was performed according to the developed method using viscoelastic. No complications were noted during the operation and in the postoperative period. In the presence of residual minor opacities of the capsule, allowing ophthalmoscopy of the fundus, it was also preserved, and subsequently, after 2–3 months, an yttrium aluminum garnet laser posterior capsulorhexis with a diameter of 3–4 mm under the IOL was performed, maintaining its normal anatomical position, which is especially crucial in infants.
In group 2, along with the traditional method of performing various stages of phacoaspiration, features of performing anterior capsulorhexis were determined. Opacity of the anterior capsule with a diameter of 2.5–4.0 mm was determined in 6 eyes. Therefore, capsulorhexis with a combined method using vannas tweezers and 25 G vitreal scissors was performed. In children with pronounced posterior lenticonus, anterior capsulorhexis was conducted according to the traditional method, but with a smaller diameter of 4.0–4.5 mm, which made it possible to safely implant an IOL into the ciliary sulcus in cases of unintentional opening of the posterior capsule. The lenticular masses were removed by phacoaspiration or manual aspiration–irrigation and viscoaspiration, depending on the clinical form of CC. Then, a central hole with a diameter of 3.0–4.0 mm was formed with vannas scissors in a dense retrolental membrane soldered to the posterior capsule of the lens, and a limited anterior vitrectomy was performed. In the presence of vessels, preliminary coagulation was conducted.
In group 3, along with the abovementioned stages of surgery, reconstructive interventions were performed to dissect iridocorneal and iridocapsular junctions and form the anterior and posterior chambers of the eye. Based on the indications, diathermocoagulation of the vessels of the iris was performed.
In all three groups, most of the children showed no complications during surgery and in the postoperative period. During surgery on 7 eyes (12.9%), children from groups 2 (3 eyes) and 3 (4 eyes) had bleeding from the vessels of the iris, which was stopped by vascular coagulation and air injection into the anterior chamber. In the postoperative period, keratopathy was observed in 9 eyes, with slightly pronounced iritis with a tendency to form iridocapsular adhesions, which was stopped by active anti-inflammatory therapy with subconjunctival injections of dexamethasone and gemaza.
Aphakia was corrected with intraocular lenses and, in isolated cases, contact lenses or glasses. The method of correction of aphakia and of fixation of IOLs depended on the anatomical features of the eye and possibility of forming a capsule sac. IOL implantation was performed in 44 children (81.5%): into the capsule sac (35 children, 79.5%) and into the ciliary sulcus (9 children, 20.5%). The contraindications for intraocular correction were a significant decrease in the volume of the posterior chamber of the eye and capsule sac of the lens with a corneal diameter of 9.0–9.5 mm or less (anterior or complete microphthalmos), a decrease in the eye’s APA from the age norm of more than 3.0 mm, and the presence of elongated processes of the ciliary body occupying more than ½ of the circumference of the posterior chamber of the eye.
The use of differentiated surgical tactics in CC extraction, considering the nature and severity of clinical manifestations of PHPV, reduced the frequency of surgical and postoperative complications, resulted in good anatomical and optical results, and induced optimal conditions for the development of the visual analyzer.
CONCLUSION
The clinical picture of PHPV in children with CCs is characterized by pronounced polymorphism, which indicates the need for a differentiated approach in determining the optimal timing of surgery, surgical tactics, and method of aphakia correction. Indications for implantation of an intraocular lens and the method of its fixation are determined based on the anatomical features of the posterior chamber of the eye in various PHPV variants.
ADDITIONAL INFO
Funding source. This study was not supported by any external sources of funding.
Competing interests. The authors declare that they have no competing interests.
Author contribution. All authors confirm that their authorship complies with the international ICMJE criteria (all authors made a significant contribution to the development of the concept, research and preparation of the article, read and approved the final version before publication). The largest contribution is distributed as follows: T.B. Kruglova, N.S. Egiyan — the concept and design of the study; collecting and processing material, writing text; T.B. Kruglova — literature review, text editing.
About the authors
Tatyana B. Kruglova
Helmholtz National Medical Research Center of Eye Diseases
Email: krugtb@yandex.ru
ORCID iD: 0000-0001-8801-8368
SPIN-code: 5466-6754
MD, Dr. Sci. (Medicine)
Russian Federation, MoscowNaira S. Egiyan
Helmholtz National Medical Research Center of Eye Diseases
Author for correspondence.
Email: nairadom@mail.ru
ORCID iD: 0000-0001-9906-4706
SPIN-code: 4765-4725
MD, Cand. Sci. (Medicine)
Russian Federation, MoscowReferences
- Neroyev VV. Eye care management in Russian Federation. Russian Annals of Ophthalmology. 2014;130(6):8-12. EDN: THPQQB
- Kruglova TB, Katargina LA, Egiyan NS, Arestova NN. Surgical tactics and features of intraocular correction in children with congenital cataracts in the first year of life. Ophthalmosurgery. 2018;1:13–18. EDN: YVQVZN
- Kruglova TB, Katargina LA, Egiyan NS, et al. Remote functional results after congenital cataract extraction with intraocular lens implantation in children of the first year of life. Bulletin of ophthalmology. 2020;136(6):142–146. doi: 10.17116/oftalma202013606142
- Self JE, Taylor R, Solebo AL, et al. Cataract management in children: a review of the literature and current practice across five large UK centres. Eye (Lond). 2020;34(12):2197–2218. doi: 10.1038/s41433-020-1115-6
- Sand MK, Cholidis S, Rimstad K, et al. Long-term outcome of primary intraocular lens implantation in bilateral congenital cataract in infants with a median age of 35 days at surgery: a case series. BMJ Open Ophthalmol. 2021;6(1):e000836. doi: 10.1136/bmjophth-2021-000836
- Trivedi RH, Barnwell E, Wolf B, Wilson ME. A Model to predict postoperative axial length in children undergoing bilateral cataract surgery with primary intraocular lens implantation. Am J Ophthalmol. 2019;206:228–234. doi: 10.1016/j.ajo.2019.04.018
- Sudovskaya TV. Syndrome of primary persistent hyperplastic vitreous body in children: features of diagnosis, clinical presentation and surgical treatment. Russian Ophthalmological Journal. 2010;1:29–36. EDN: QCLJDX
- Katargina LA, Kruglova TB, Kononov LB, Egiyan NS. Extraction of congenital cataracts with IOL implantation in complicated forms of the lens. Practical Medicine. Ophthalmology. 2020;4(2):28–30. EDN: PCHGAJ
- Kuznetsova YD, Astasheva IB, Khatsenko IE, Zvereva AN. Tactics of management and surgical treatment of the posterior form of grade III and IV primary persistent hyperplastic vitreous syndrome in children. Modern technologies in ophthalmology. 2022;(1(41)):344–349. doi: 10.25276/2312-4911-2022-1-344-349
- Tereshchenko AV, Bely YA, Trifanenkova IG, Demyanchenko SK. Features of the clinical picture and surgery of congenital cataract in combination with primary persistent hyperplastic vitreous syndrome. Cataract and refractive surgery. 2013;13(2):10–14. EDN: RCTXCB
- Grenga R, Komaiha C, Bianchi G, et al. Persistenza del Vitreo Primitivo Iperplastico: presentazione di un caso clinico e breve revisione della letteratura [Persistent hyperplastic primary vitreous: case report and literature review]. Clin Ter. 2013;164(6):e497–503. Italian. doi: 10.7417/CT.2013.1644
Supplementary files








